Dentist

鍾國耀

全口照護醫師
Doctor Line

看診項目

全口假牙/假牙贗復/全瓷冠

學經歷

國立陽明交通大學牙醫系學士

台德牙醫教育研究中心認證醫師

臺北榮民總醫院牙周病科訓練醫師

CASE

Title Line 1

案例分享

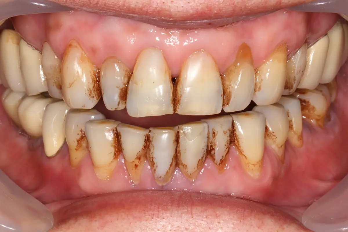
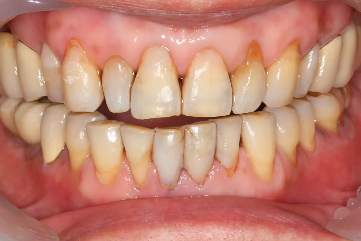
  • 術前 41
    術後 39

    噴砂美白

    主治醫師
    • 鍾國耀
    治療時間
    單次療程
    主訴
    牙齒表面有長期的菸垢與咖啡染色,影響牙齒外觀
  • 術前 41
    術後 39

    仿生全瓷牙

    主治醫師
    • 鍾國耀
    治療時間
    三次療程
    主訴
    右下後牙使用牙線時容易卡住,牙線反覆斷裂
  • 術前 45
    術後 43

    仿生全瓷牙

    主治醫師
    • 鍾國耀
    治療時間
    6次療程
    主訴
    左上牙齒痛,進一步造成臉部腫脹
  • 術前 44
    術後 42

    牙橋

    主治醫師
    • 鍾國耀
    治療時間
    5次療程
    主訴
    右下牙橋脫落、牙齦腫痛影響睡眠
  • 術前 42
    術後 40

    牙周治療

    主治醫師
    • 鍾國耀
    治療時間
    三次療程
    主訴
    牙齦紅腫出血、牙縫容易塞食物
  • 術前 42
    術後 40

    牙周治療

    主治醫師
    • 鍾國耀
    治療時間
    三次療程
    主訴
    右上前牙牙齦反覆腫脹化膿
  • 術前 44
    術後 43

    3D齒雕

    主治醫師
    • 鍾國耀
    治療時間
    3次療程
    主訴
    左下牙齒痛,想檢查牙齒狀況
  • 術前 43
    術後 42

    3D齒雕

    主治醫師
    • 鍾國耀
    治療時間
    2次療程
    主訴
    左下牙齒咬合不適,想檢查牙齒狀況
點此載入更多

Column

Title Line 1

精選文章

FEATURED

Title Line 1

精選案例

Video

Title Line 1

精選影音

Bd Go
Bd Go Mobile
Footer House
Logo

About

關於我們

Branch

體系分院

Treatment

診療項目

Case

案例分享

Team

樂的團隊

Clinic Hours

門診時間

Contact us

聯絡我們