案例分享

Case
基於保護患者隱私,公開其治療經驗時皆以化名顯示
經當事人同意刊登,僅供醫療教育參考,實際效果因人而異
基於保護患者隱私,
公開其治療經驗時皆以化名顯示

經當事人同意刊登,
僅供醫療教育參考,實際效果因人而異

依項目篩選

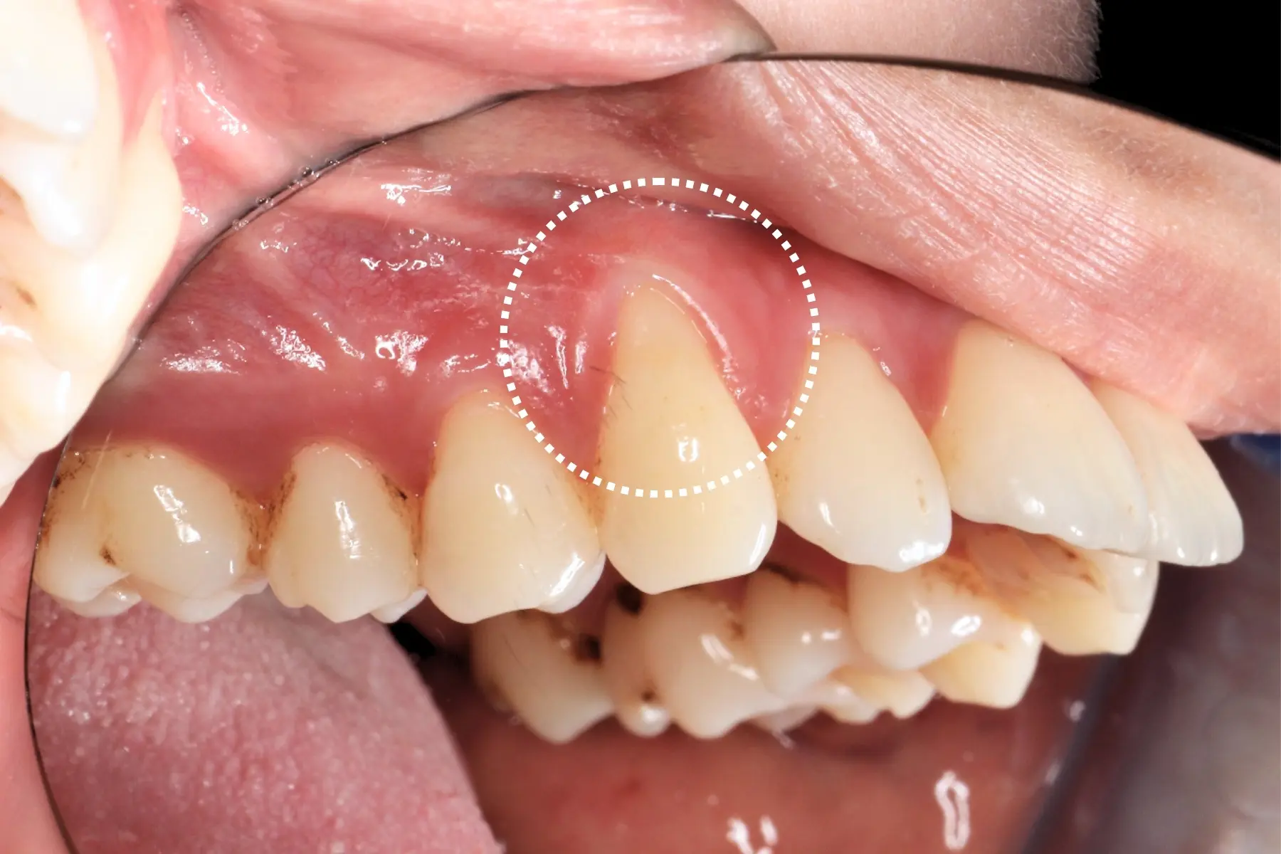
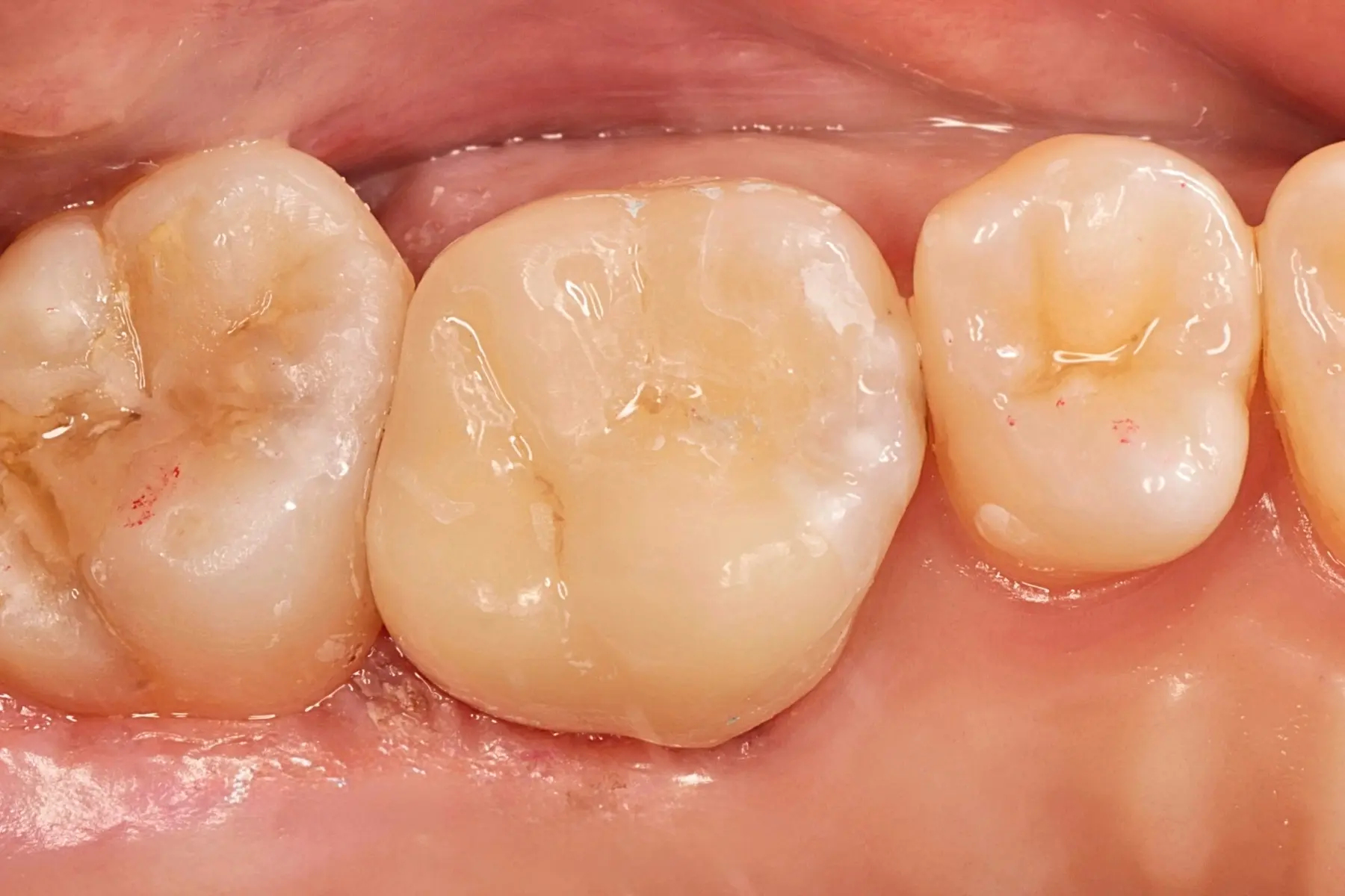
  • 術前 43
    術後 41

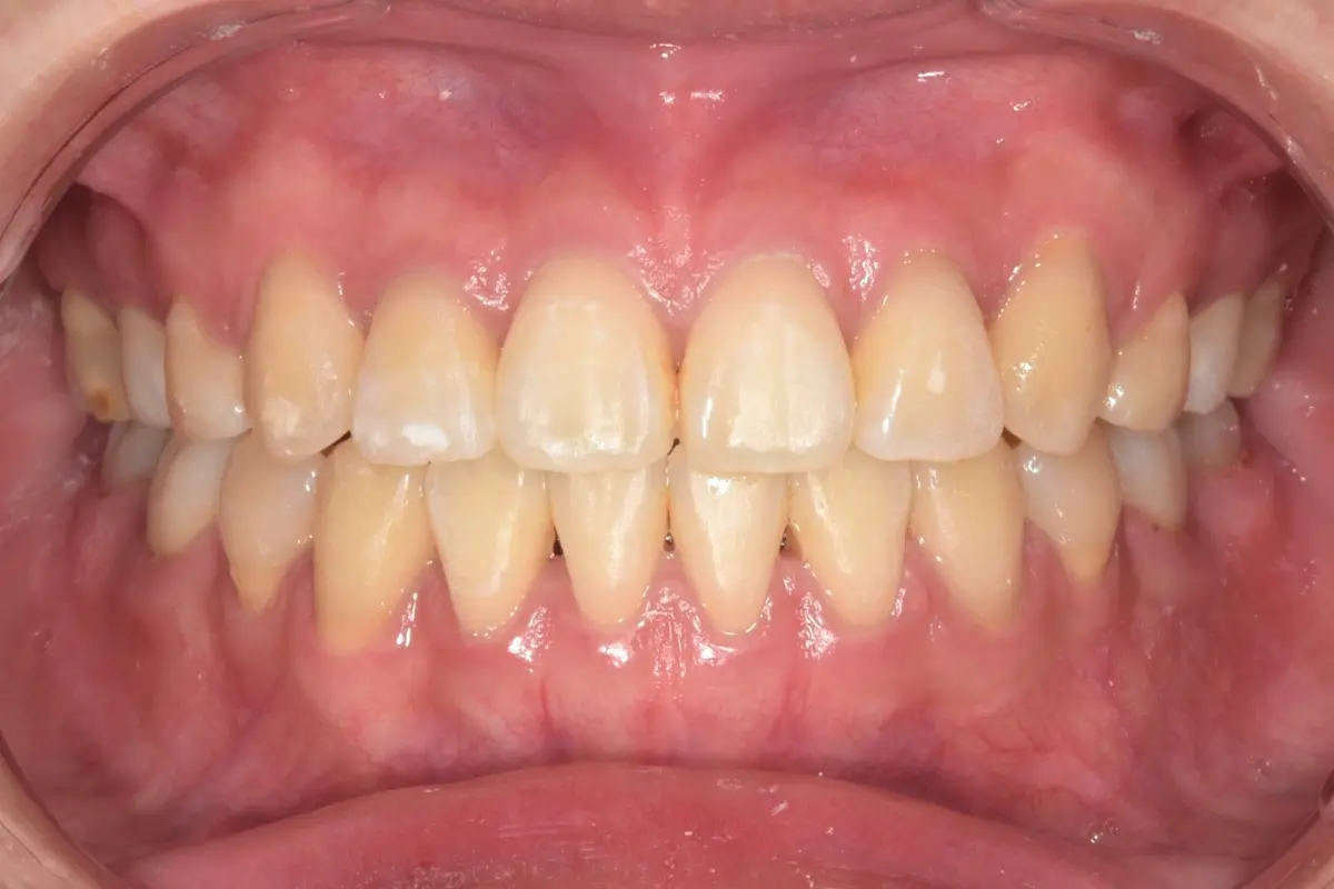
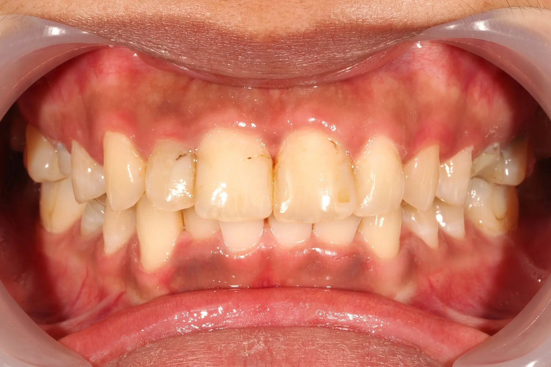
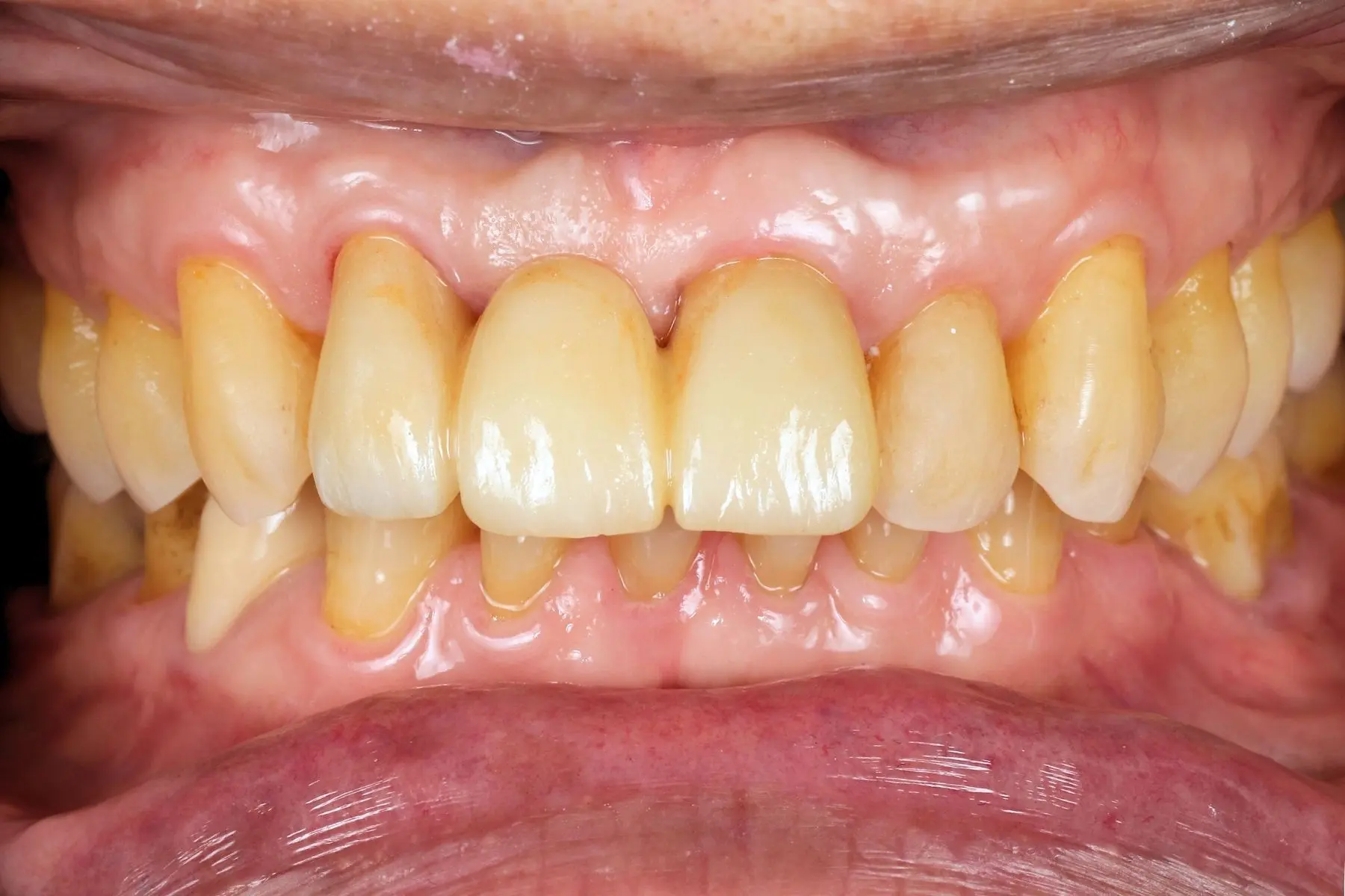
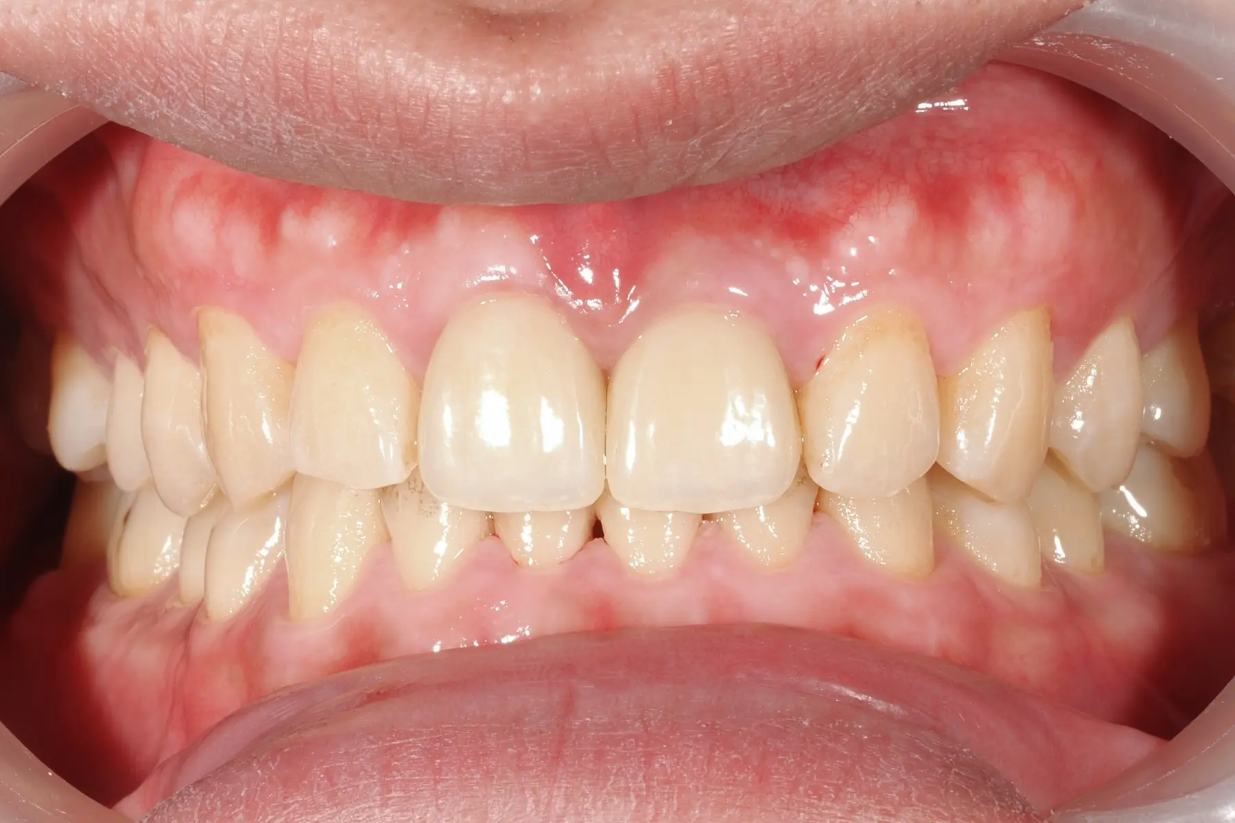
    仿生美學樹脂

    主治醫師
    • 陳暐文
    治療時間
    單次療程
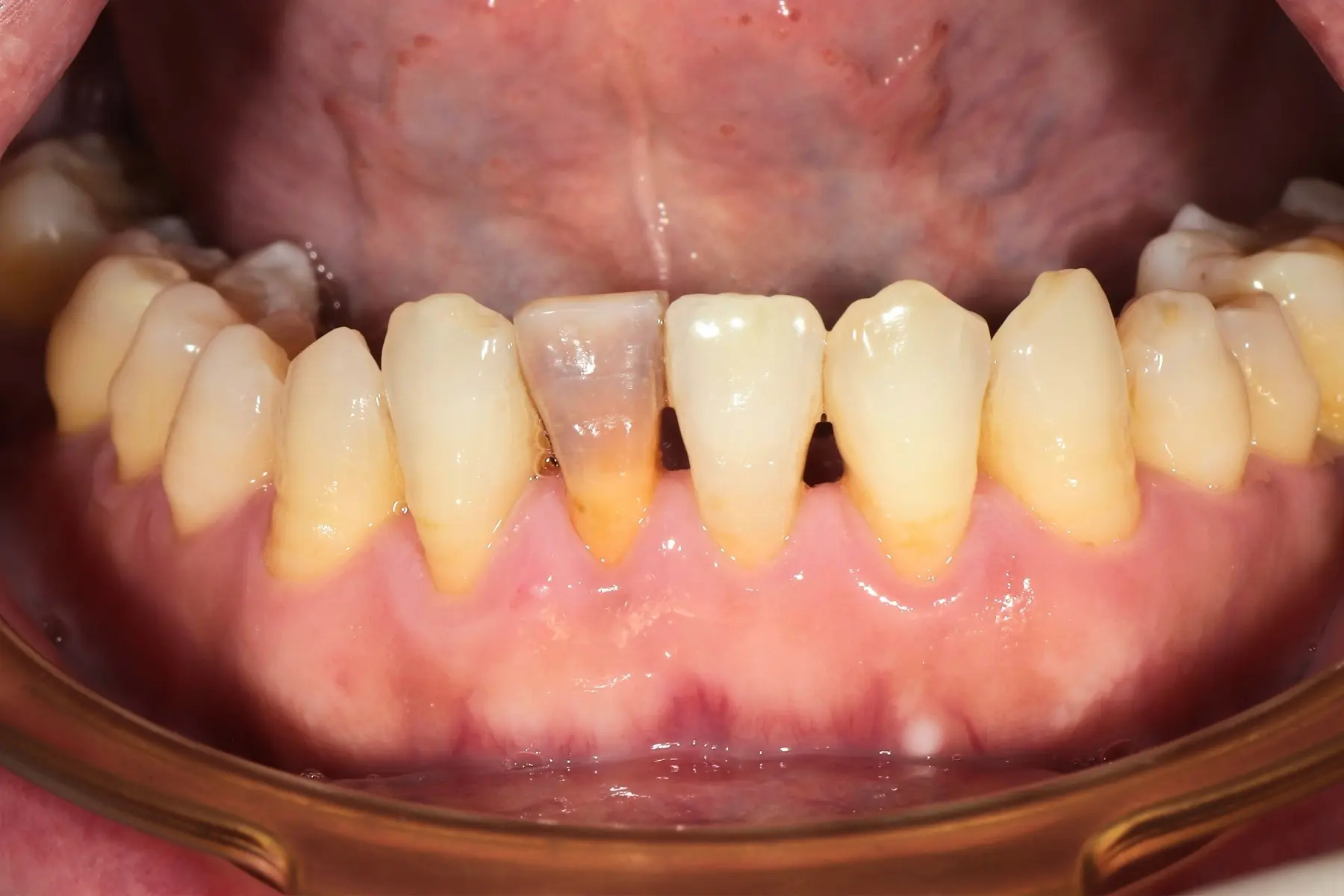
    主訴
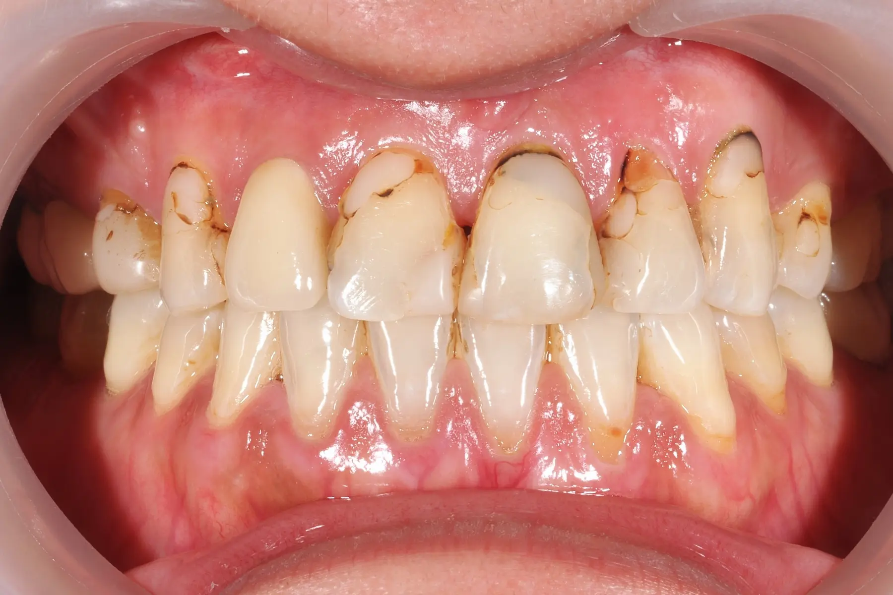
    矯正完成下排前牙出現黑三角
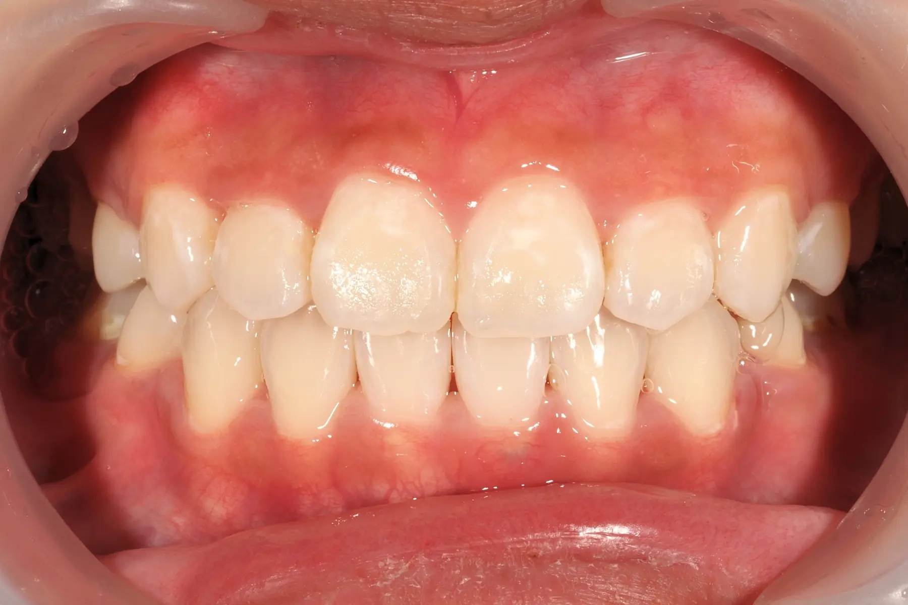
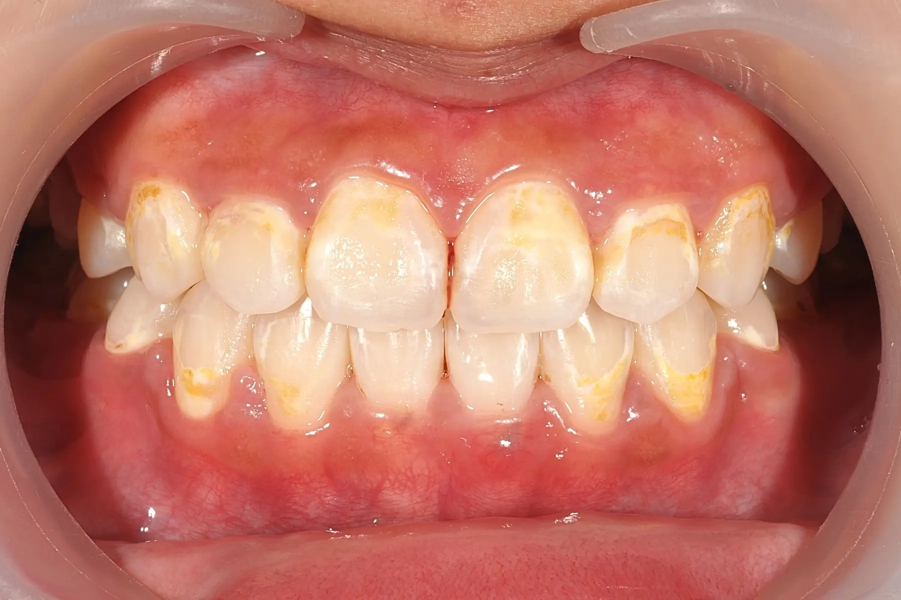
  • 術前 44
    術後 42

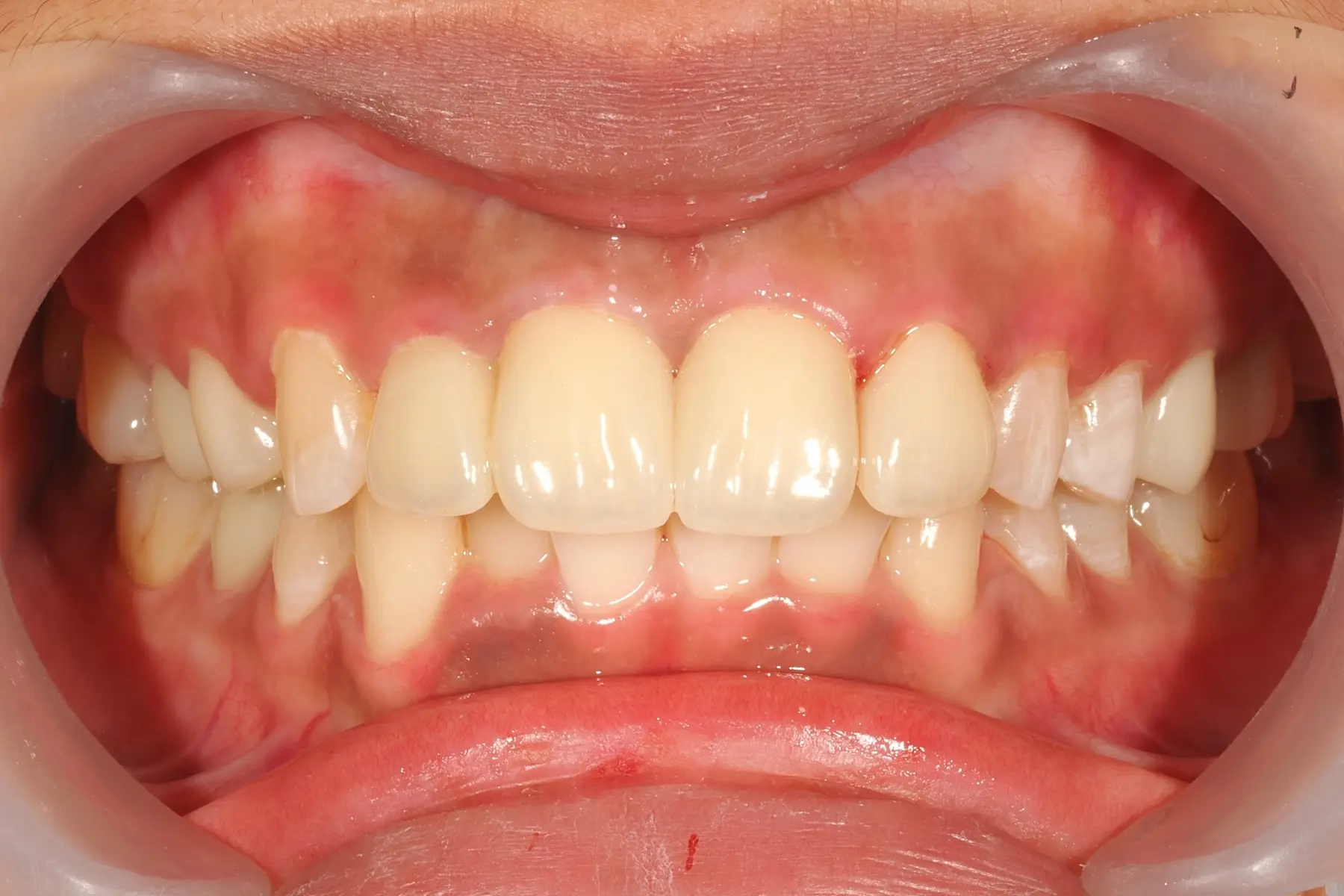
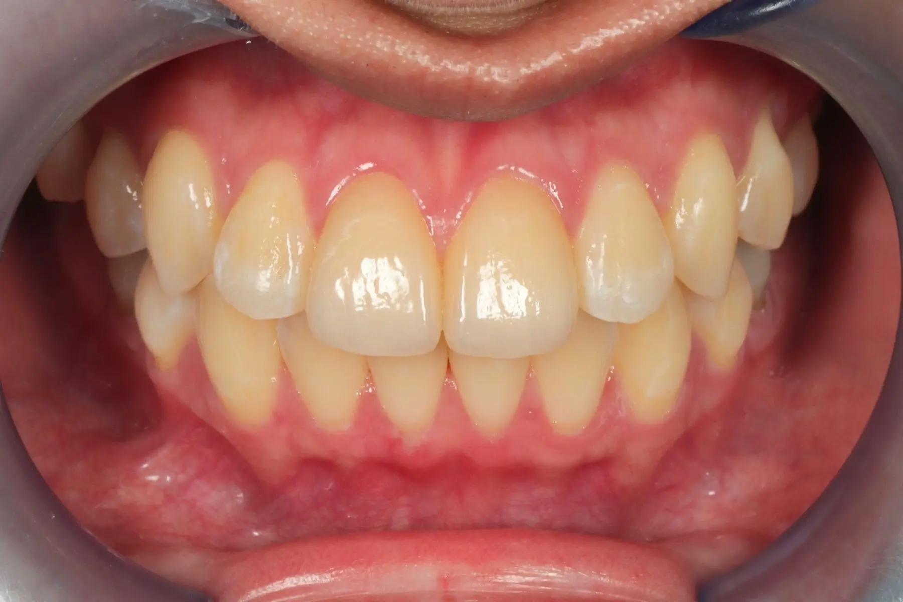
    仿生美學樹脂

    主治醫師
    • 陳暐文
    治療時間
    單次療程
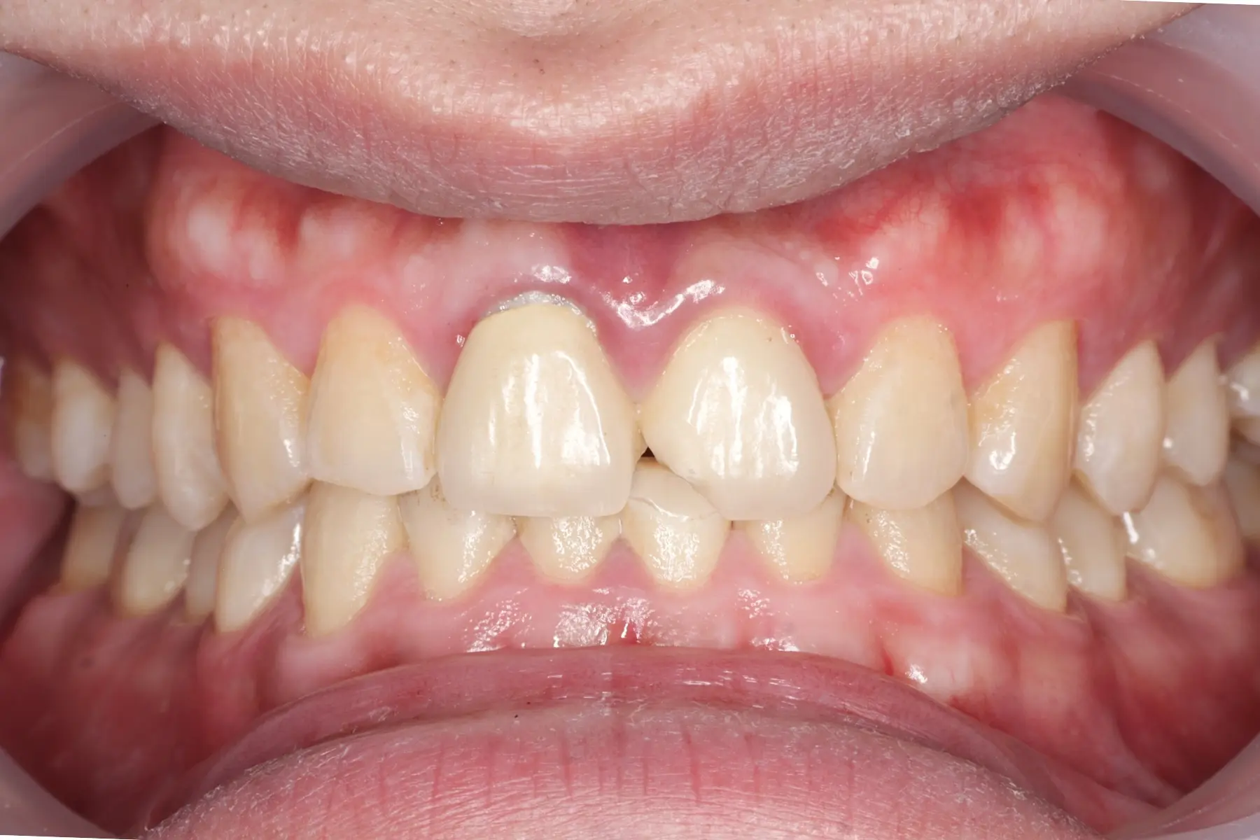
    主訴
    門牙有縫、牙齒形狀偏方,笑起來不夠自然
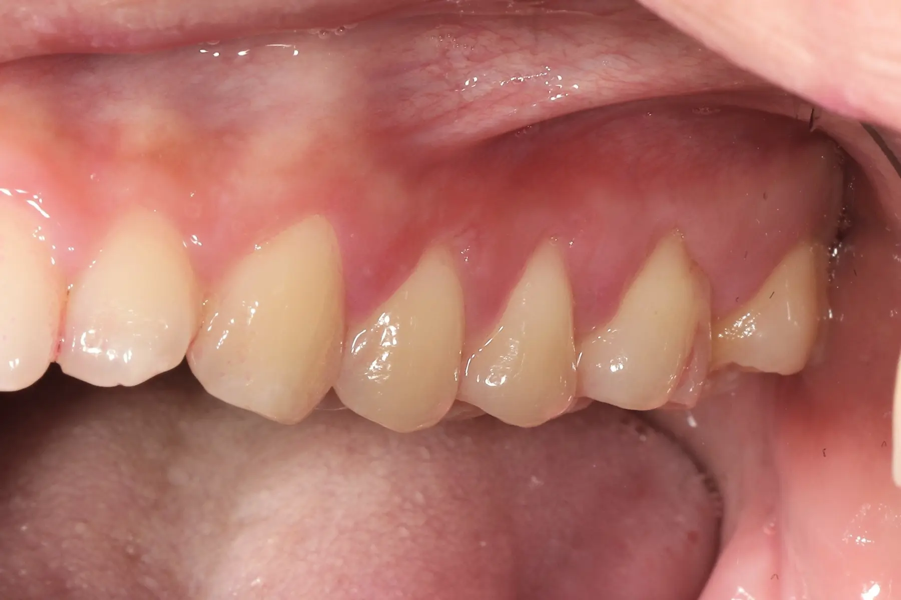
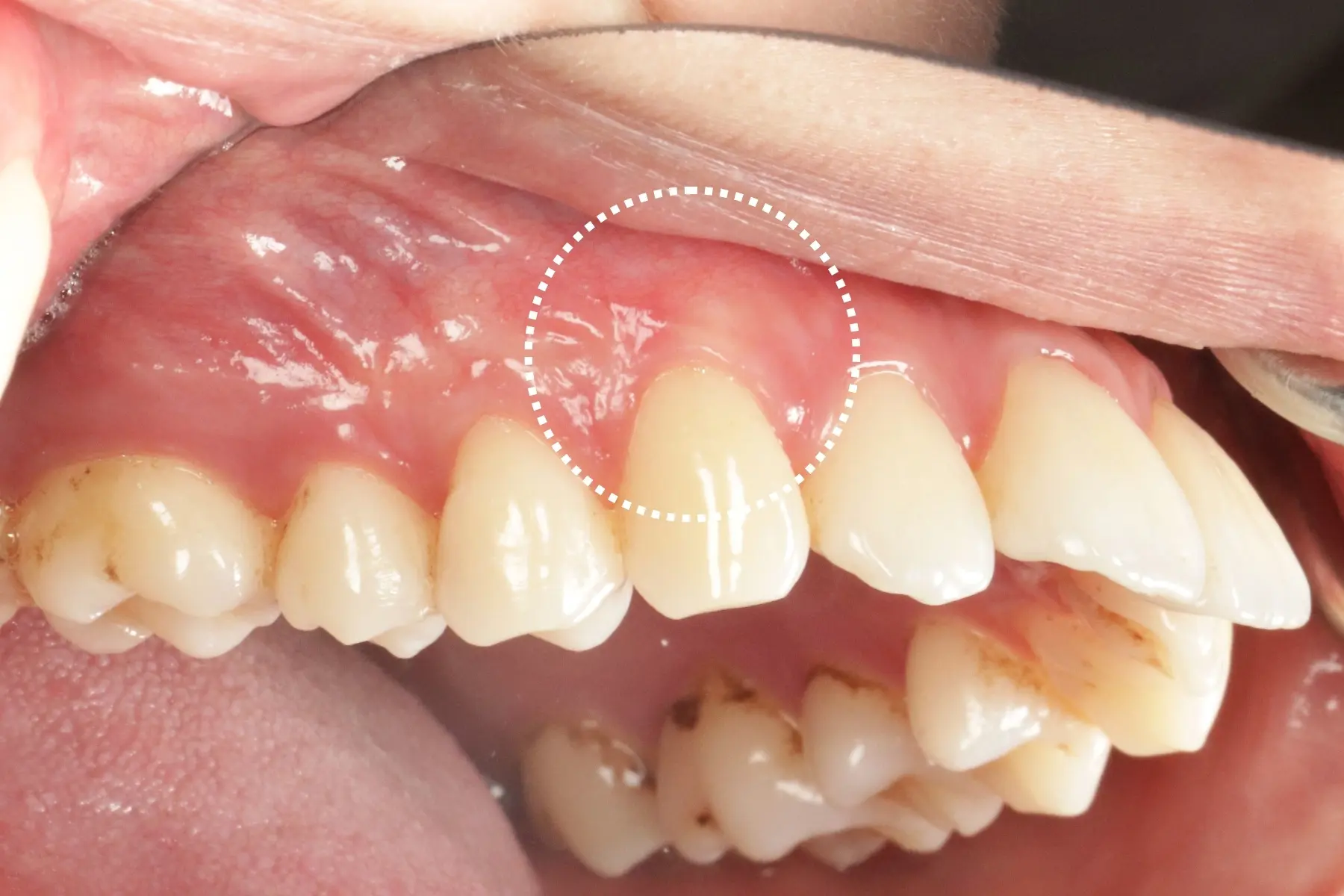
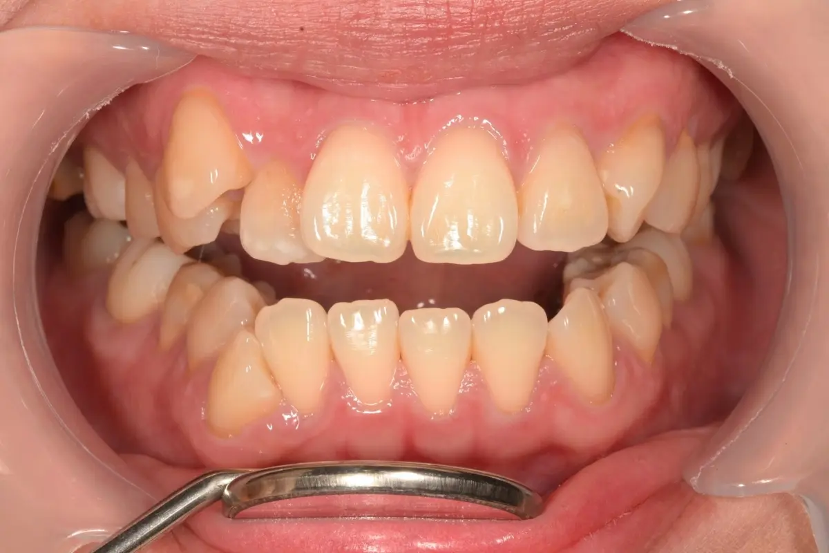
  • 術前 43
    術後 41

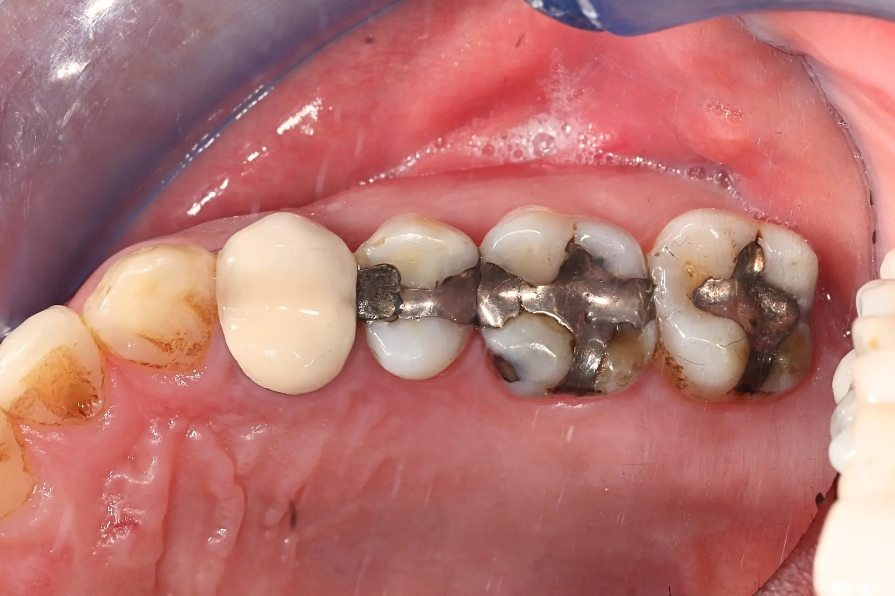
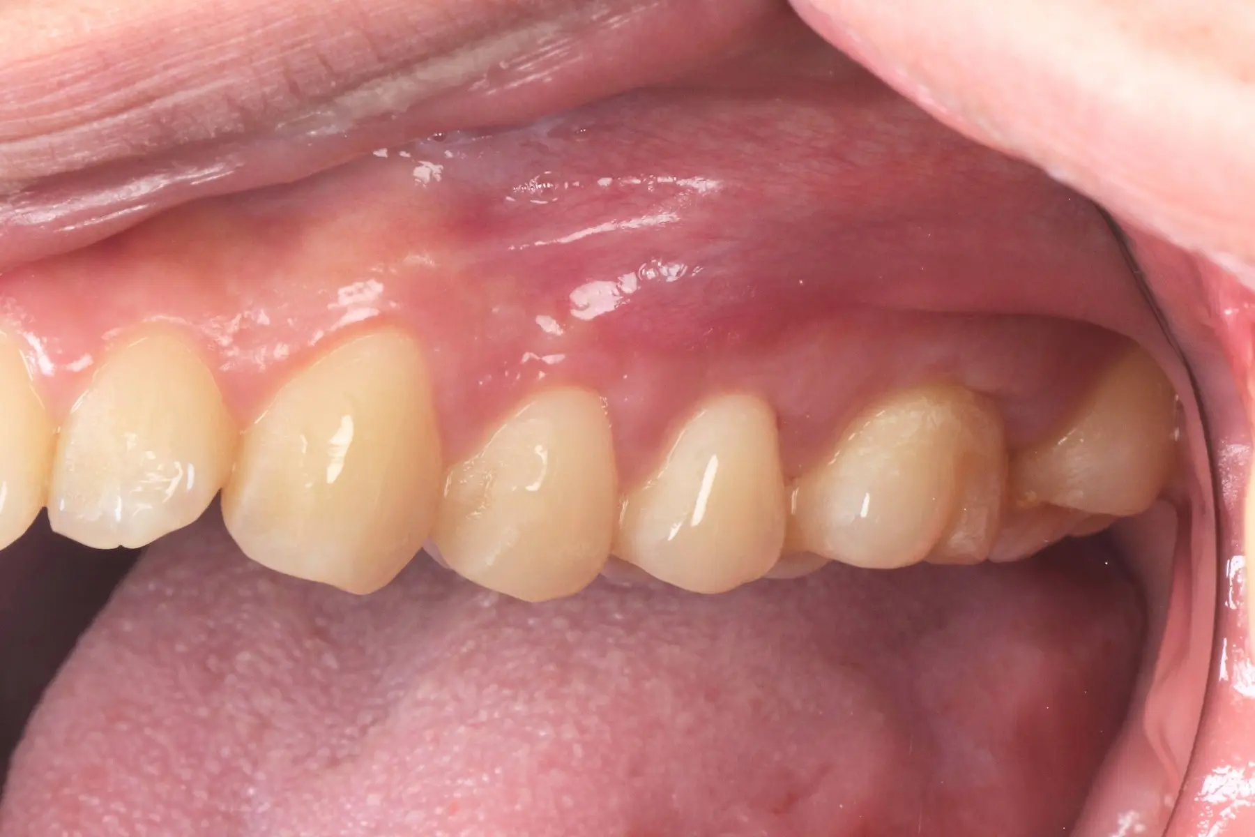
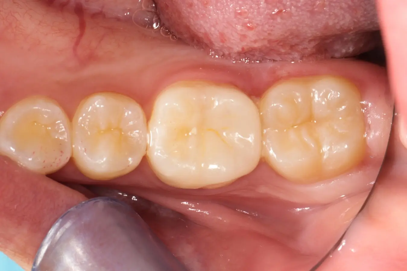
    牙橋

    主治醫師
    • 楊明憲
    治療時間
    約1年4個月
    主訴
    吃東西左邊後牙會痛
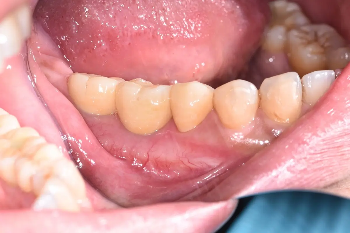
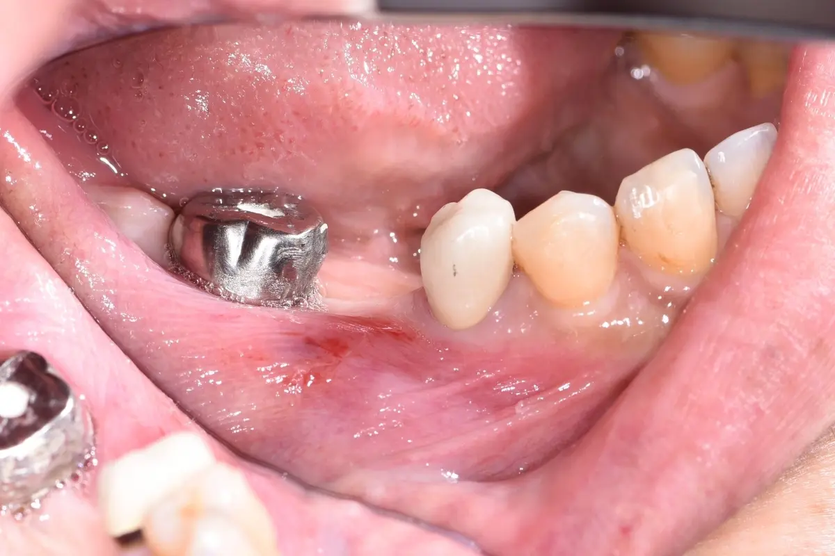
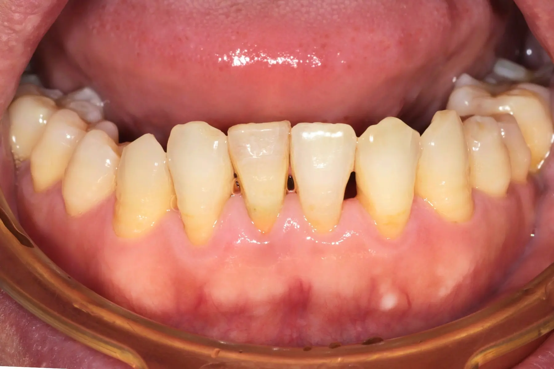
  • 術前 42
    術後 40

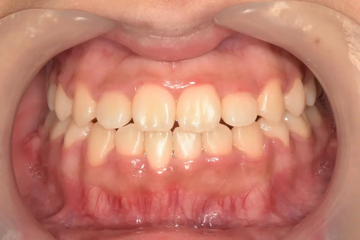
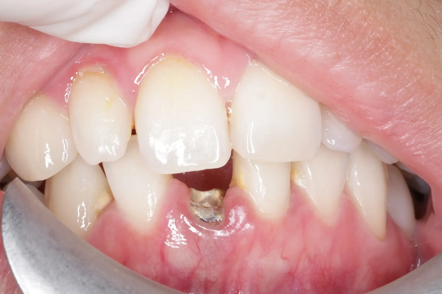
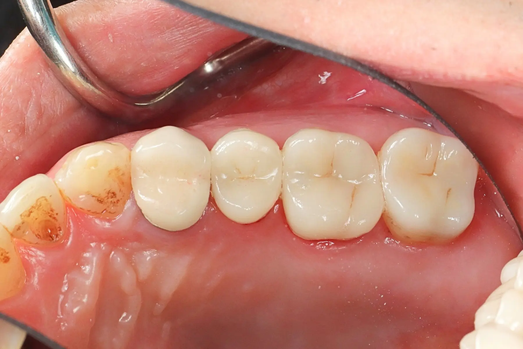
    牙周治療

    主治醫師
    • 鍾國耀
    治療時間
    三次療程
    主訴
    牙齦紅腫出血、牙縫容易塞食物
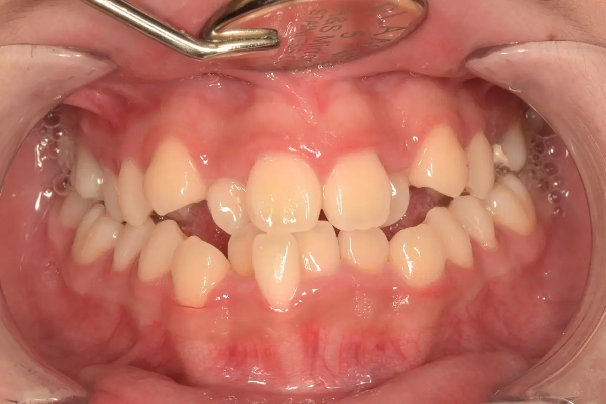
  • 術前 42
    術後 40

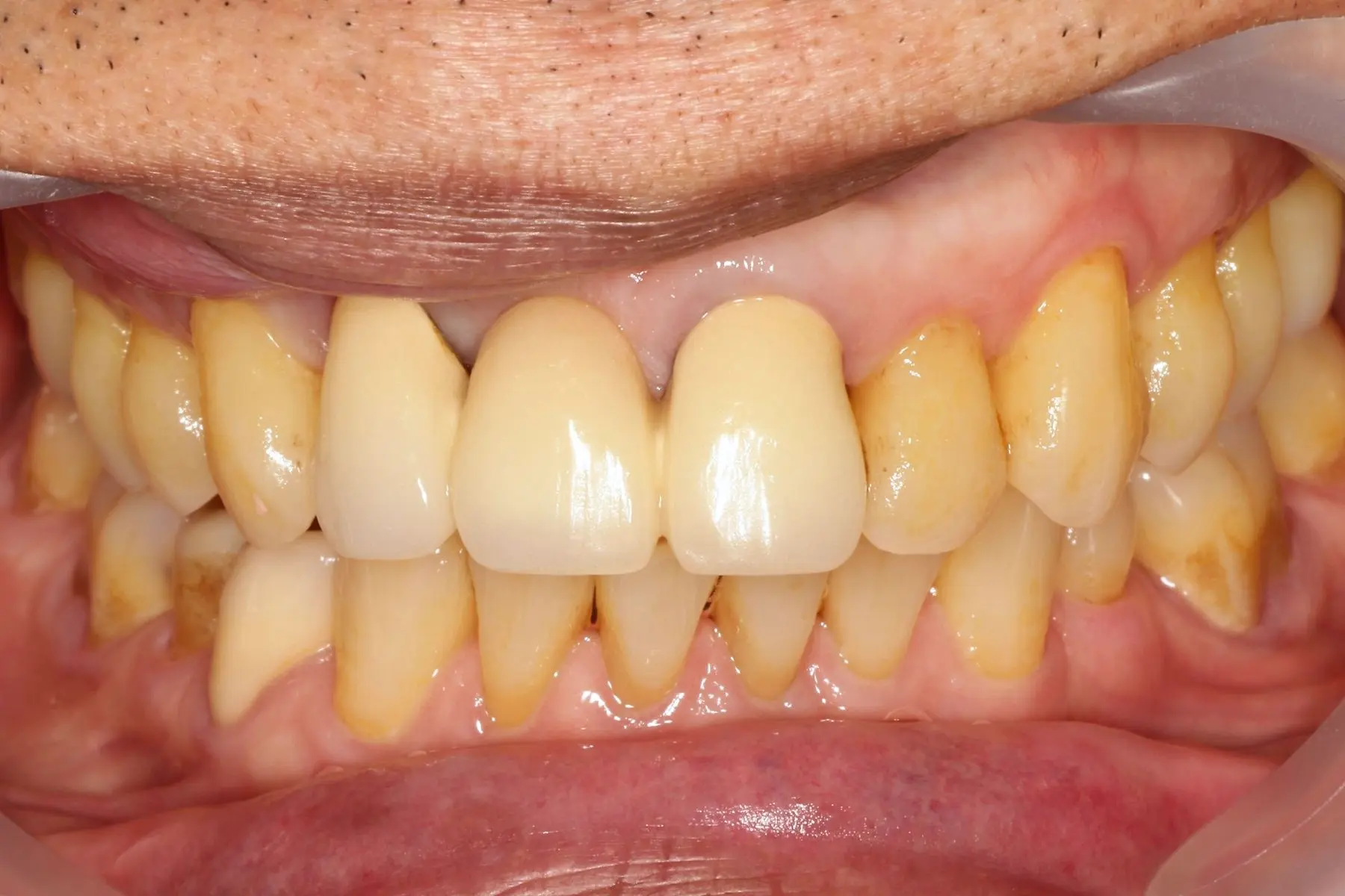
    牙周治療

    主治醫師
    • 鍾國耀
    治療時間
    三次療程
    主訴
    右上前牙牙齦反覆腫脹化膿
  • 術前 41
    術後 39

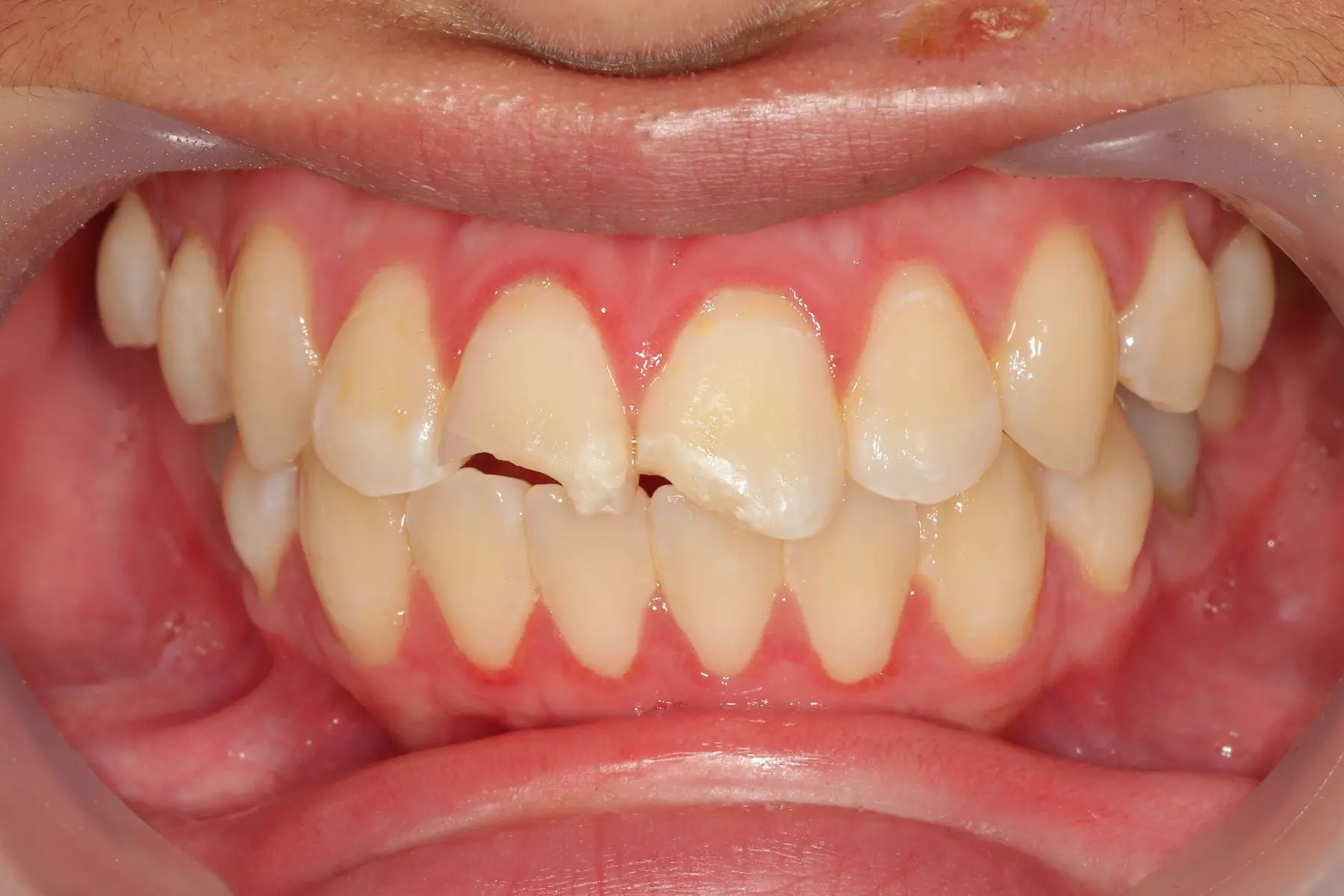
    仿生美學樹脂

    主治醫師
    • 陳暐文
    治療時間
    單次療程
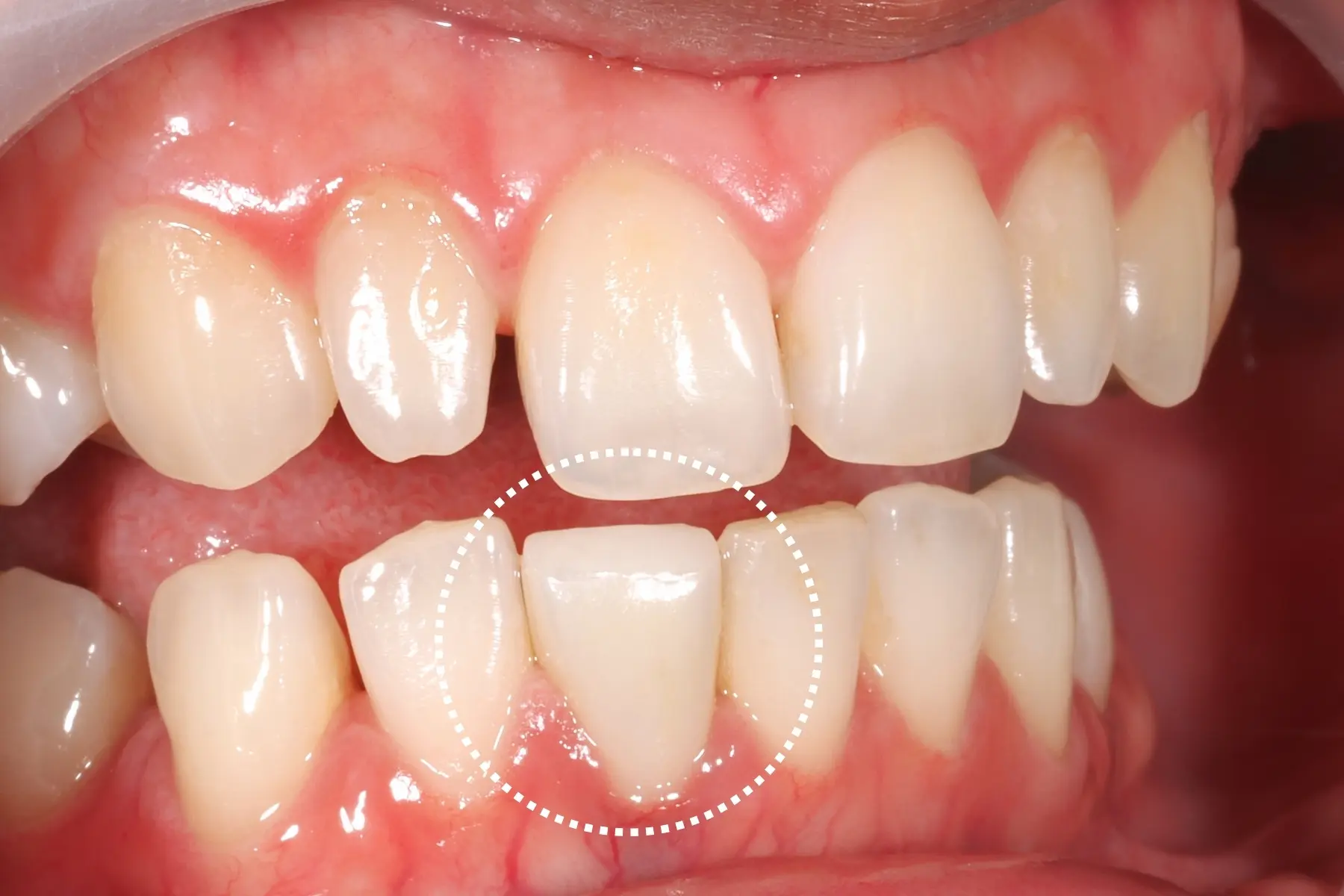
    主訴
    左上門牙因撞擊出現缺角,希望修復自然外觀、不想看出補過痕跡
  • 術前 41
    術後 39

    仿生美學樹脂

    主治醫師
    • 陳暐文
    治療時間
    單次療程
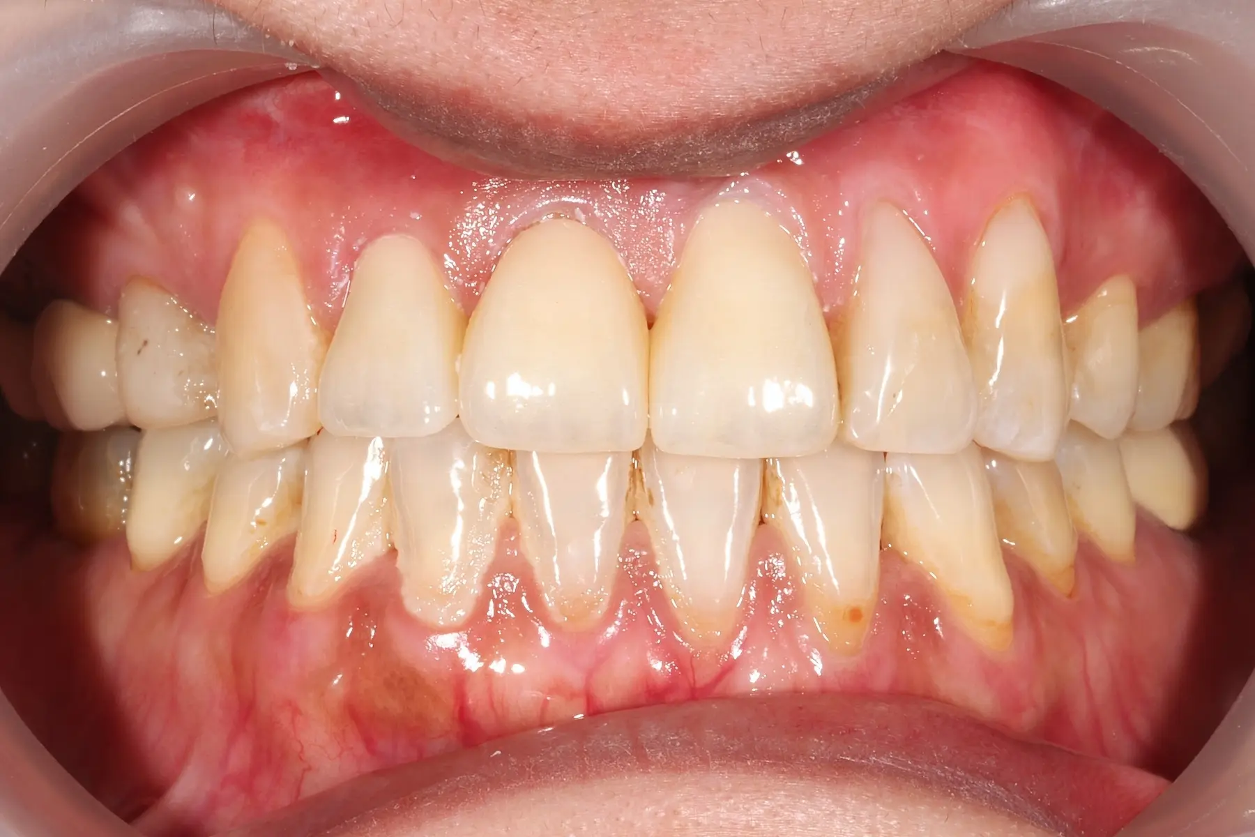
    主訴
    左上門牙因意外撞擊缺角,影響外觀,希望在不磨損自然牙的情況下修復外觀
  • 術前 43
    術後 42

    仿生全瓷牙

    主治醫師
    • 陳暐文
    治療時間
    約 5 個月
    主訴
    多年前製作的門牙假牙外觀不自然,希望重新處理
  • 術前 42
    術後 41

    仿生全瓷冠

    主治醫師
    • 陳暐文
    治療時間
    約 1.5 個月
    主訴
    門牙曾接受根管治療,尚未裝戴假牙,想評估全瓷冠修復
點此查看更多案例
Bd Go
Bd Go Mobile
Footer House
Logo

About

關於我們

Branch

體系分院

Treatment

診療項目

Case

案例分享

Team

樂的團隊

Clinic Hours

門診時間

Contact us

聯絡我們