Dentist

徐紹鈞

全口照護醫師
Doctor Line

看診項目

全科牙醫

學經歷

國立陽明交通大學牙醫學系學士
高雄榮民總醫院醫師
臺北榮民總醫院醫師

CASE

Title Line 1

案例分享

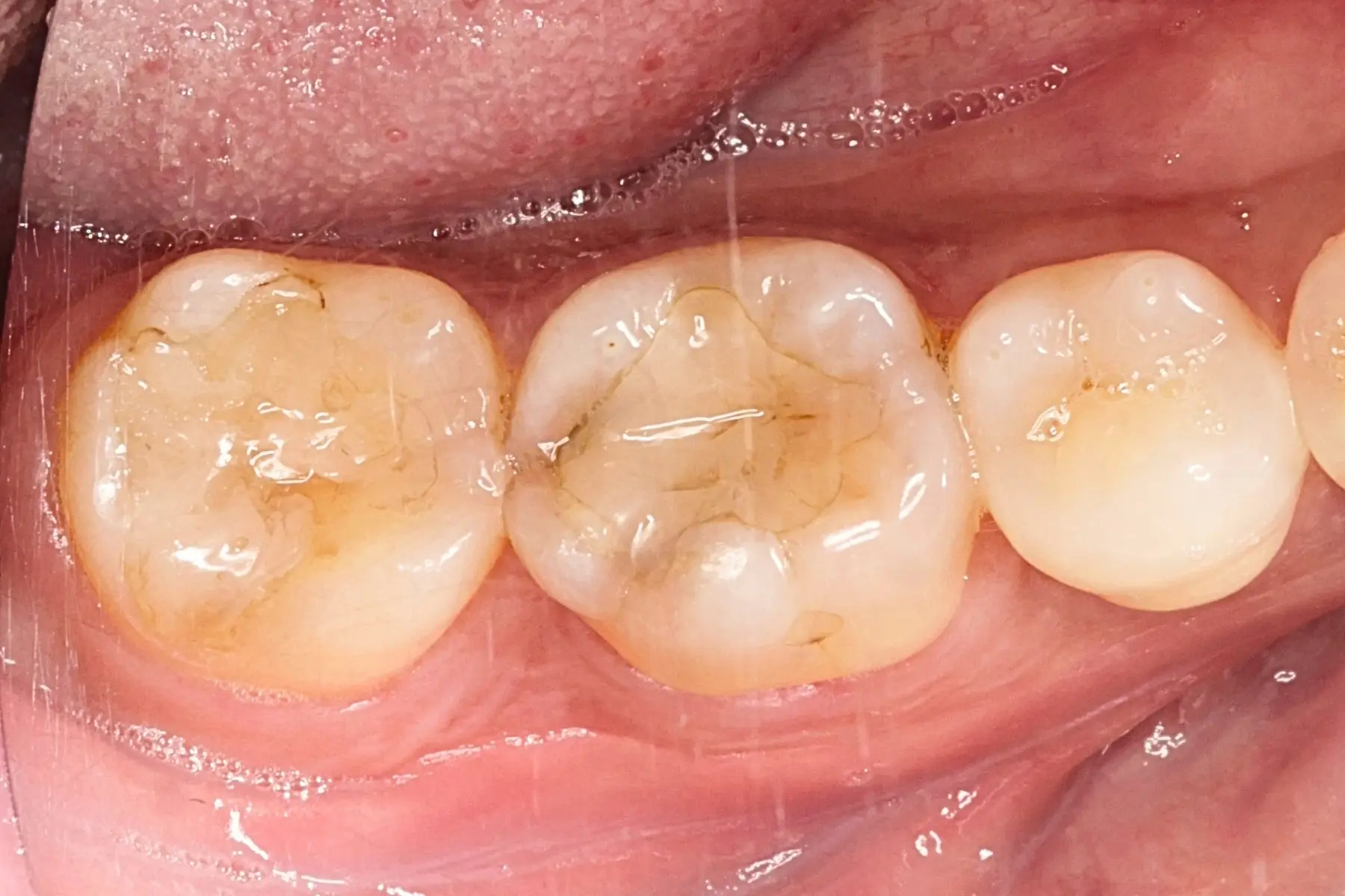
  • 術前 43
    術後 41

    3D齒雕

    主治醫師
    • 徐紹鈞
    治療時間
    約1個月
    主訴
    左下第二大臼齒不小心咬到骨頭缺角
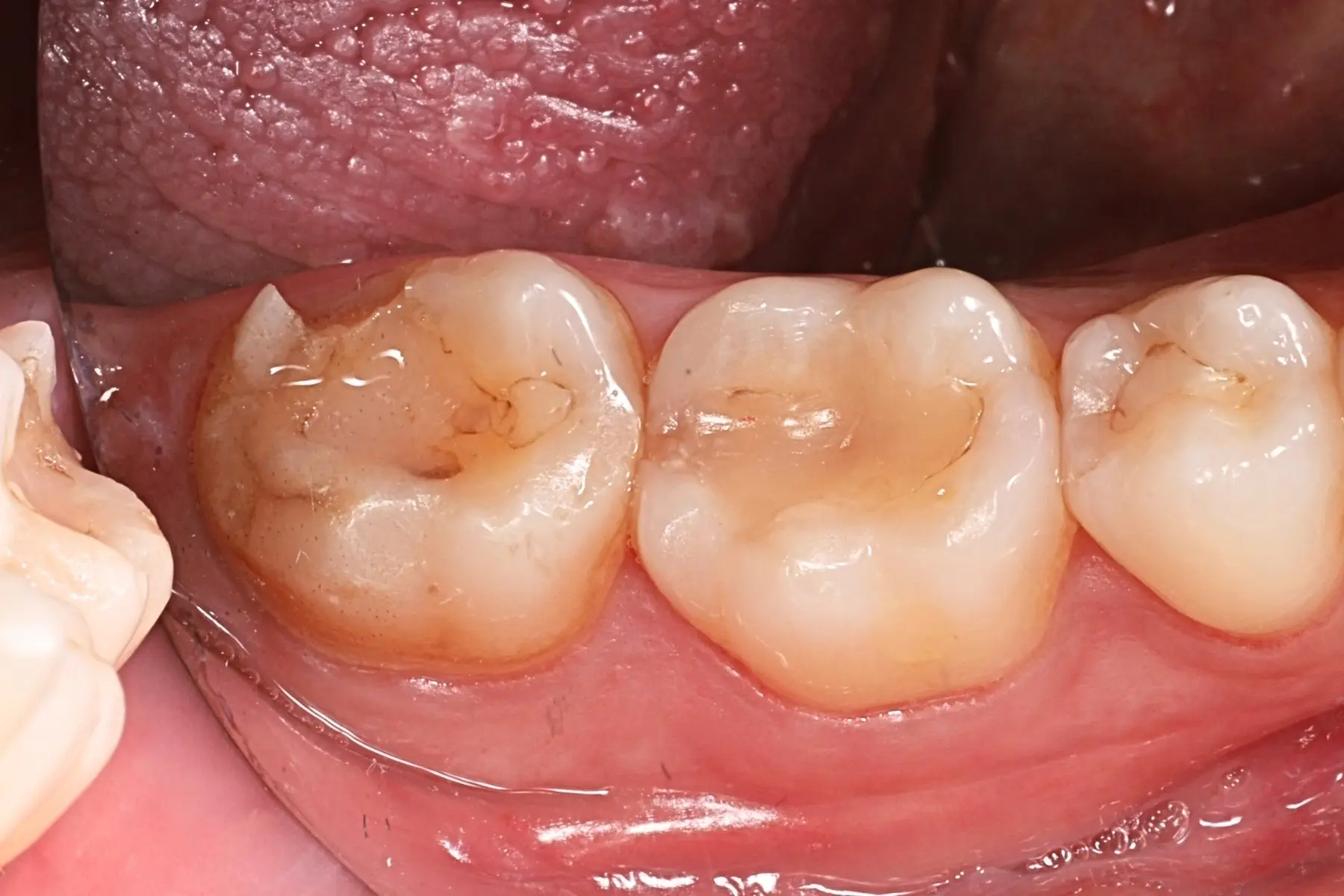
  • 術前 42
    術後 40

    3D齒雕

    主治醫師
    • 徐紹鈞
    治療時間
    約1個月
    主訴
    右上第一大臼齒牙崩會刮牙肉
點此載入更多

Column

Title Line 1

精選文章

FEATURED

Title Line 1

精選案例

Bd Go
Bd Go Mobile
Footer House
Logo

About

關於我們

Branch

體系分院

Treatment

診療項目

Case

案例分享

Team

樂的團隊

Clinic Hours

門診時間

Contact us

聯絡我們