Dentist

郭曉蔓

全口照護醫師
Doctor Line

看診項目

全科牙醫

學經歷

國立陽明大學牙醫學系學士
前臺北榮民總醫院 口腔醫學部 住院醫師
ICON滲透型樹脂原廠認證醫師

CASE

Title Line 1

案例分享

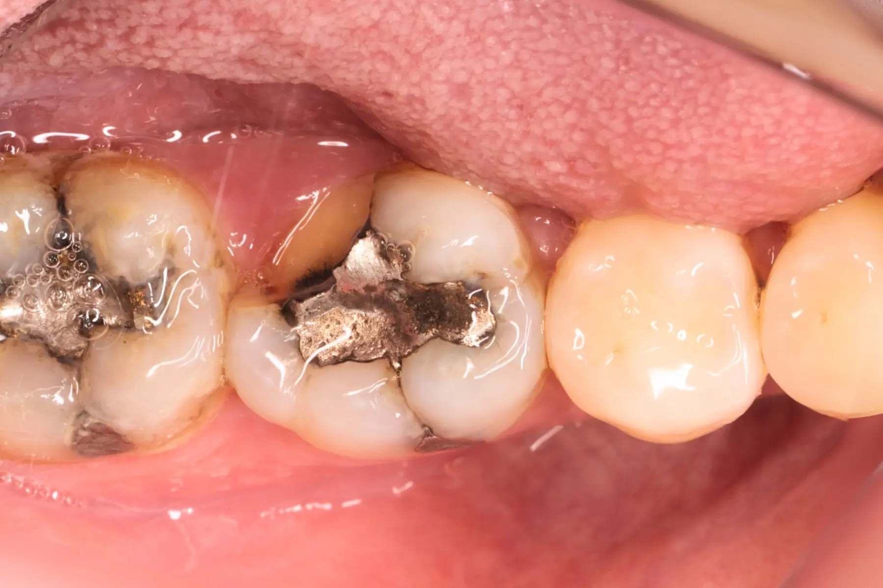
  • 術前 28
    術後 27

    3D齒雕

    主治醫師
    • 郭曉蔓
    治療時間
    約2個月
    主訴
    右上牙齒咬到骨頭後出現劇痛與冷熱敏感
  • 術前 27
    術後 26

    3D齒雕

    主治醫師
    • 郭曉蔓
    治療時間
    約2個月(含1個月觀察期)
    主訴
    左上臼齒崩裂,喝熱水或冷水會明顯酸痛
  • 術前 9
    術後 9

    3D齒雕

    主治醫師
    • 郭曉蔓
    治療時間
    約2個月
    主訴
    左下第一大臼齒咬合時會有痠痛敏感的感覺
  • 術前 11
    術後 11

    3D齒雕

    主治醫師
    • 郭曉蔓
    治療時間
    約2個月
    主訴
    左下第一大臼齒崩裂導致敏感不適
  • 噴砂美白_術前
    噴砂美白_術後

    牙齒美白/噴砂美白

    主治醫師
    • 郭曉蔓
    治療時間
    單次療程
    主訴
    牙齒表面有明顯菸垢與檳榔染色,影響外觀,期望改善外觀並作為戒菸的契機
  • 仿生全瓷牙_術前
    仿生全瓷牙_術後

    前牙美學/仿生全瓷牙

    主治醫師
    • 郭曉蔓
    治療時間
    左上正中門牙約3個月,左下側門牙約1個月
    主訴
    門牙黑黑的,影響外觀,希望能改善。
點此載入更多

Column

Title Line 1

精選文章

FEATURED

Title Line 1

精選案例

Bd Go
Bd Go Mobile
Footer House
Logo

About

關於我們

Branch

體系分院

Treatment

診療項目

Case

案例分享

Team

樂的團隊

Clinic Hours

門診時間

Contact us

聯絡我們