
Dentist
余子豪
全口照護醫師
看診項目
牙周病治療/牙周雷射治療/數位植牙/全科牙醫
學經歷
國立陽明大學牙醫系學士
前臺北榮民總醫院醫醫師
亞洲齒列再生研究學會Advance植牙補綴專科訓練
微光私塾牙周雷射微創治療技術訓練
中華審美牙醫學會會員醫師
臺灣齒列再生研究學會會員醫師
臺灣牙醫顯微美學治療學會會員醫師
台灣數位植牙美學學會植牙專科醫師
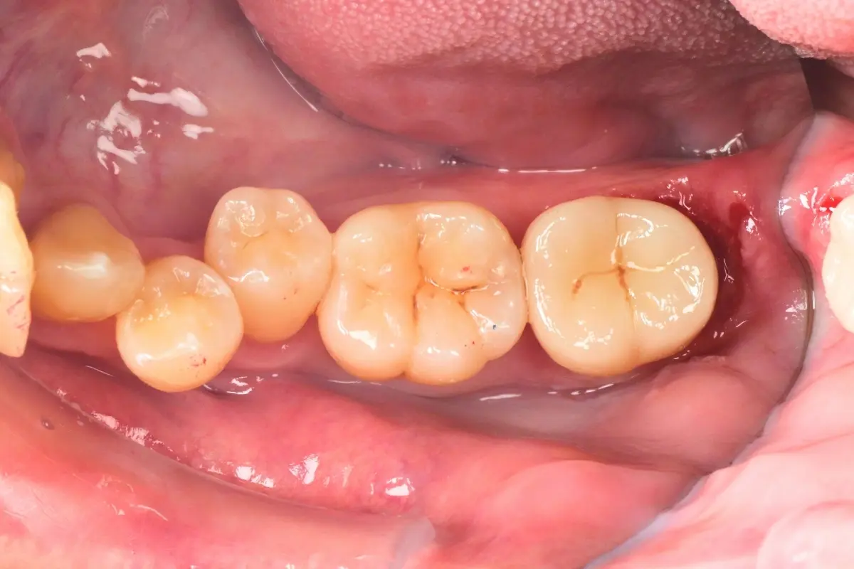
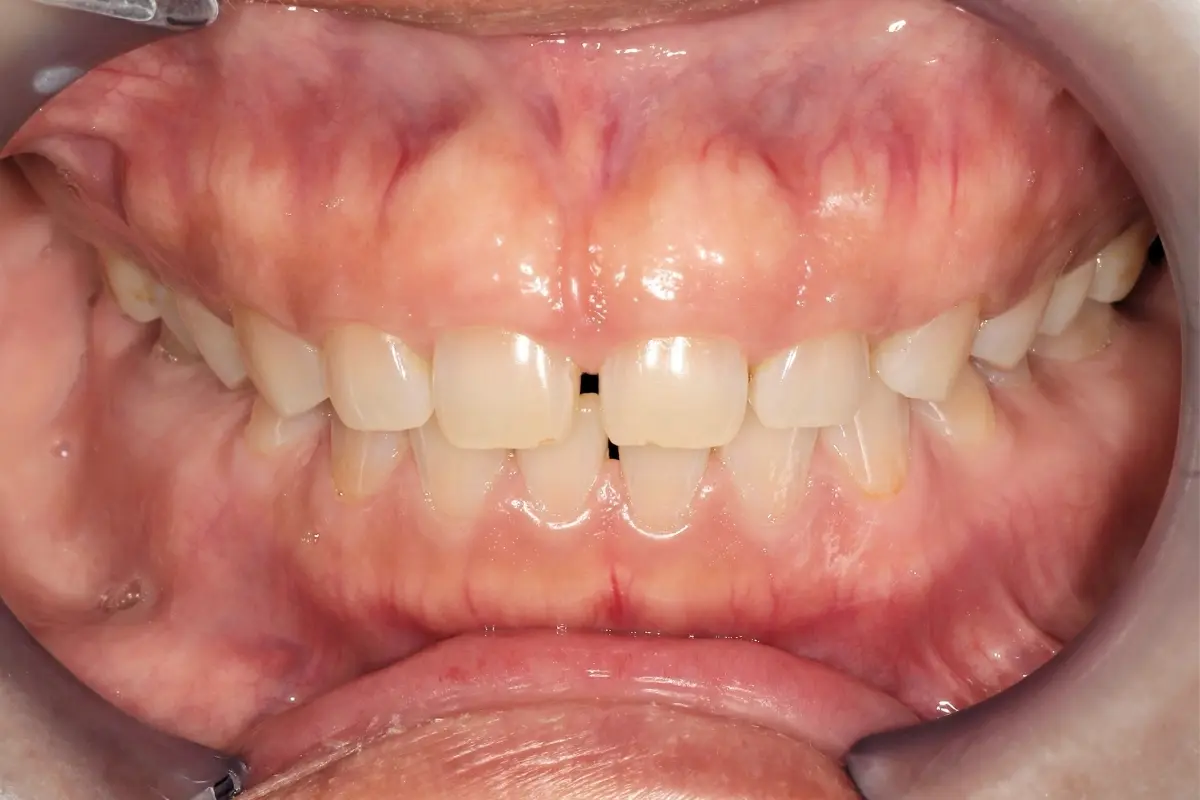
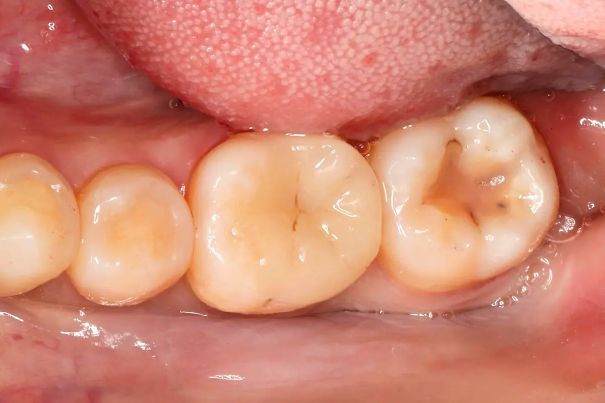
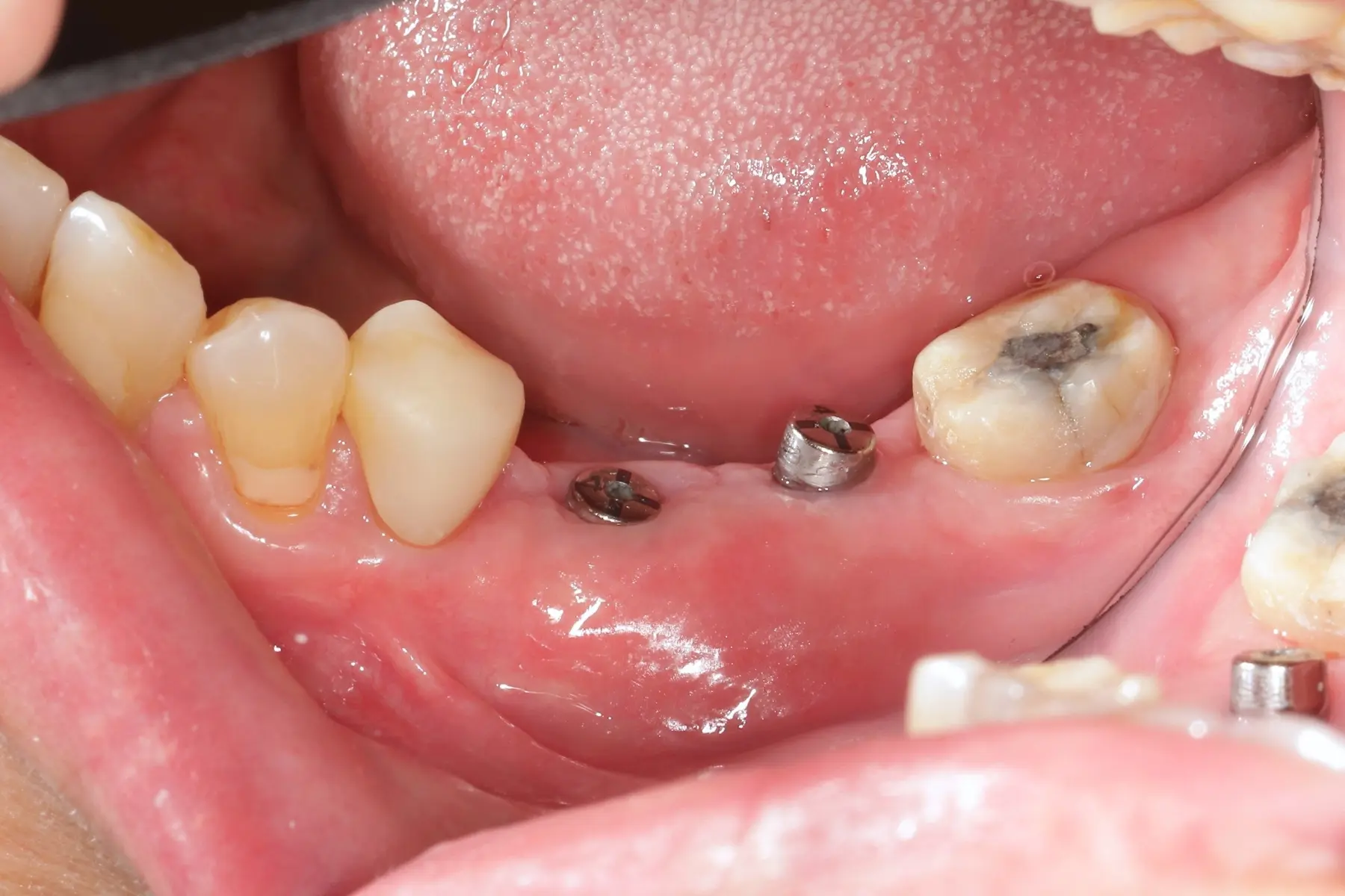
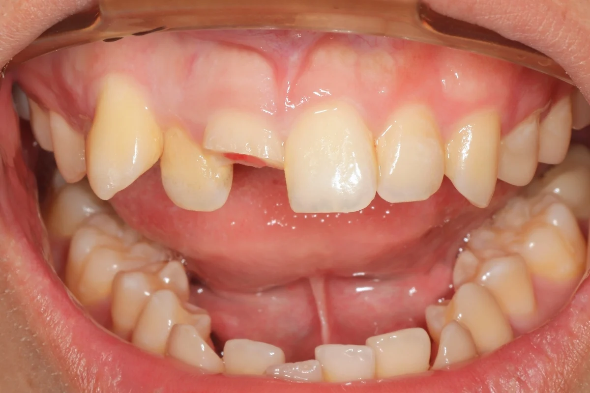
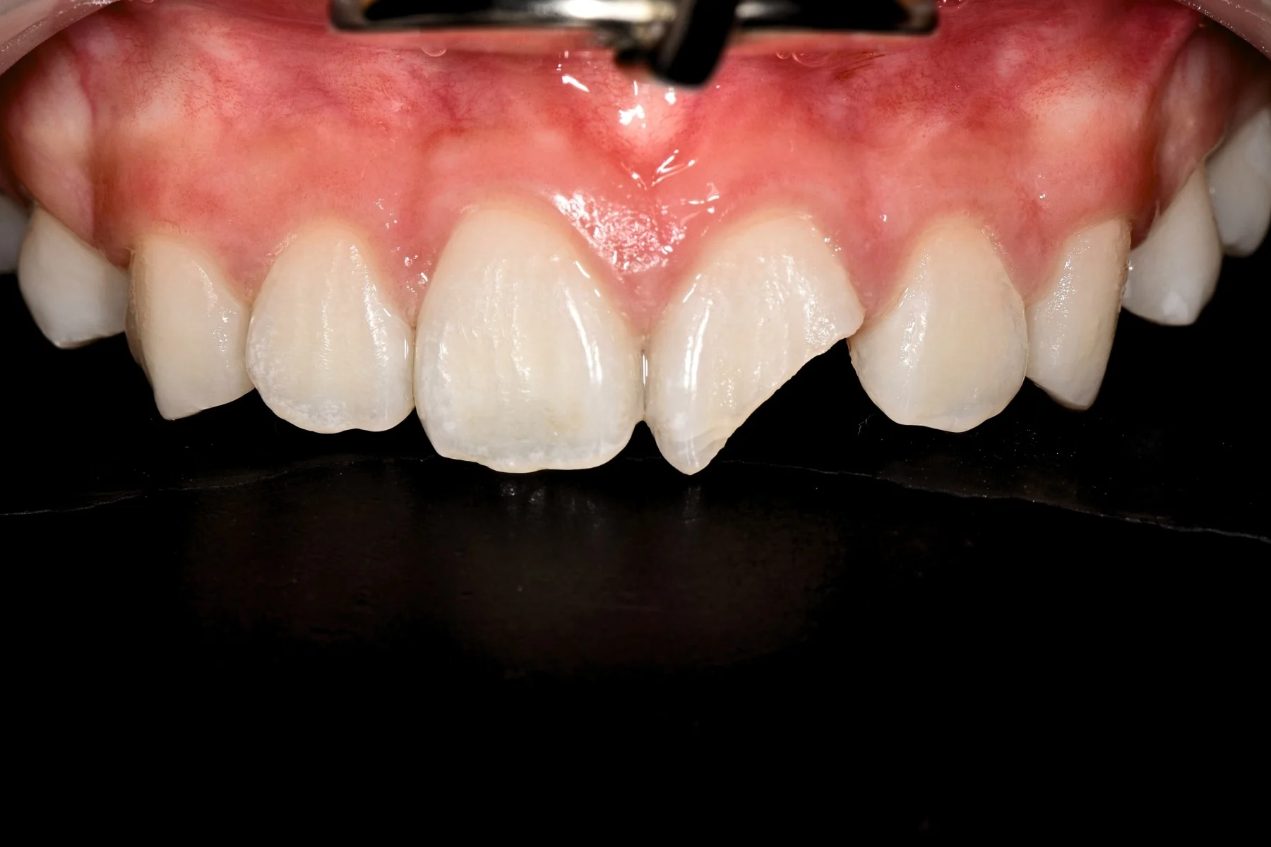
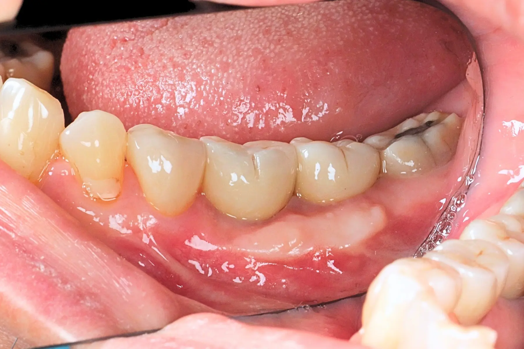
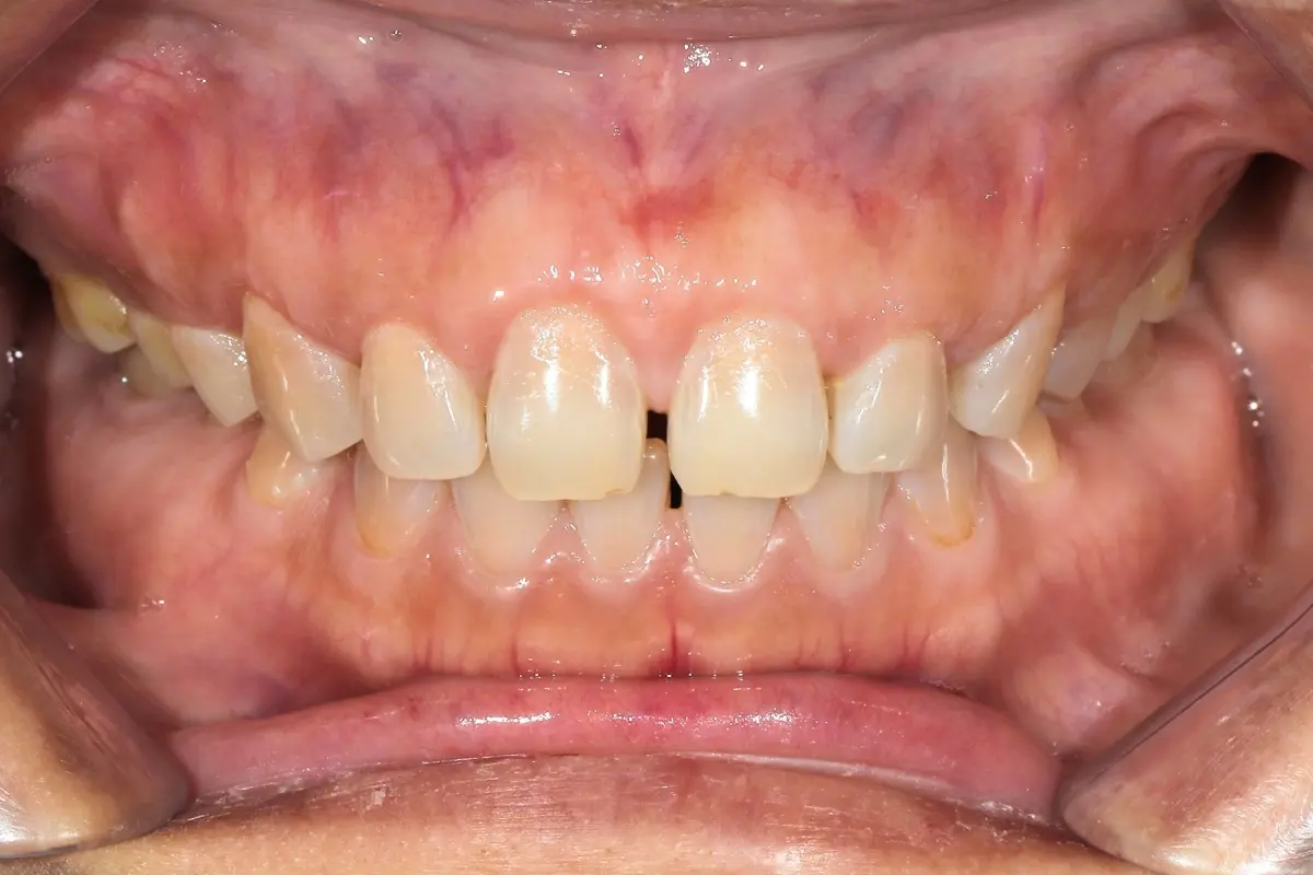
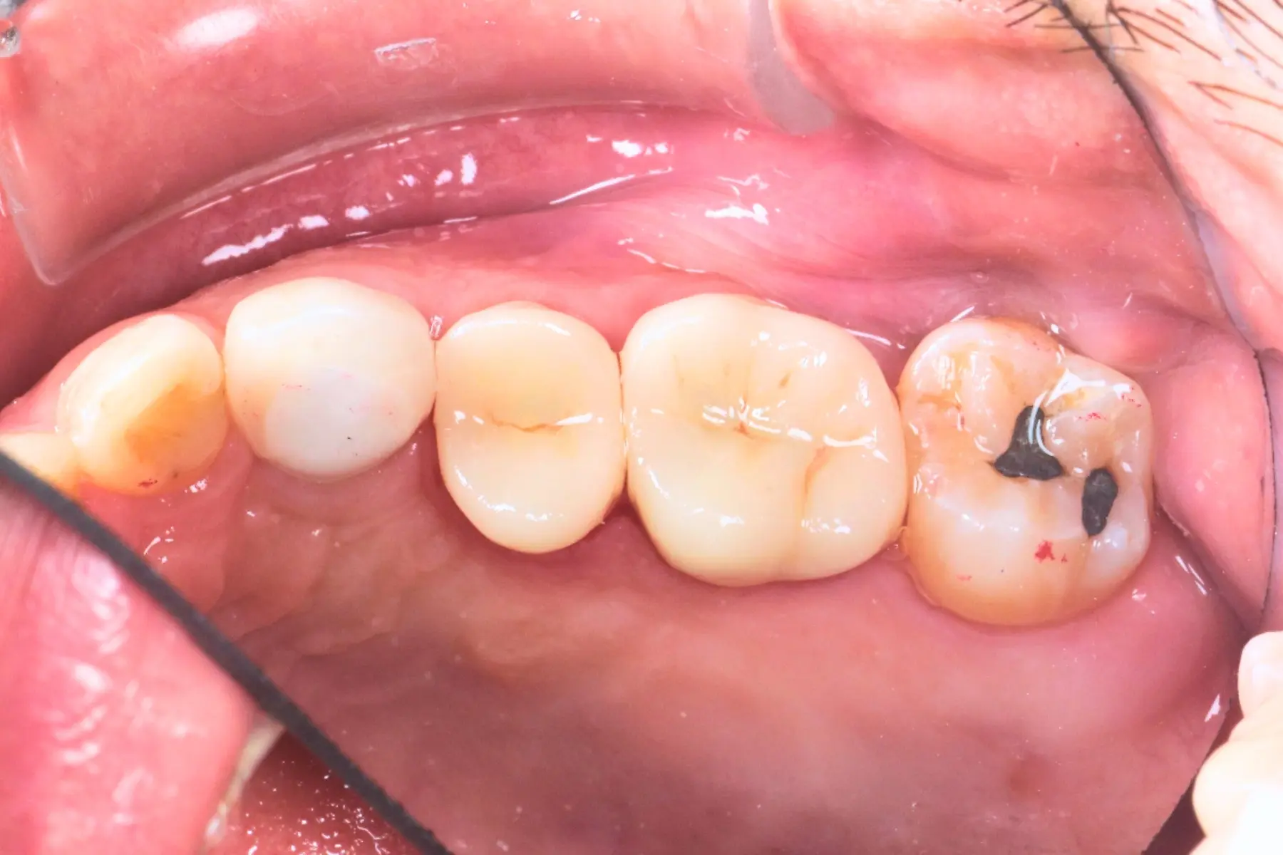
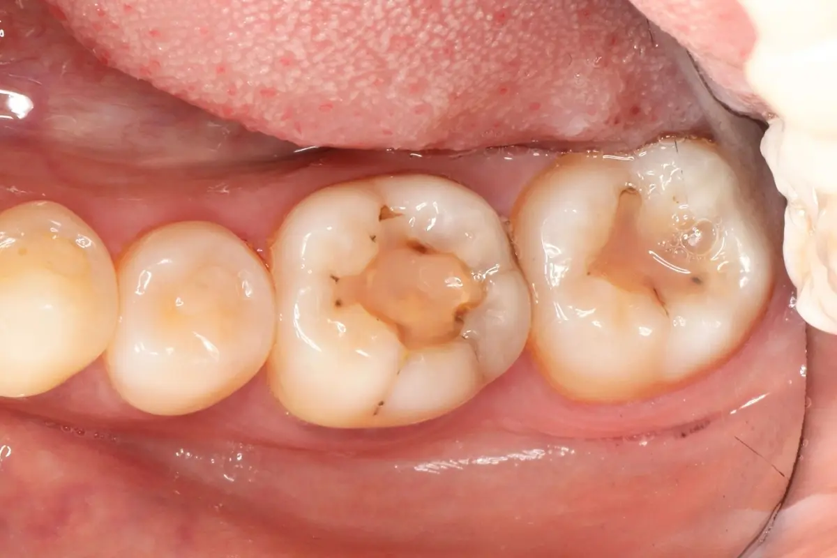
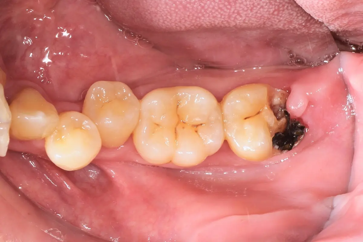
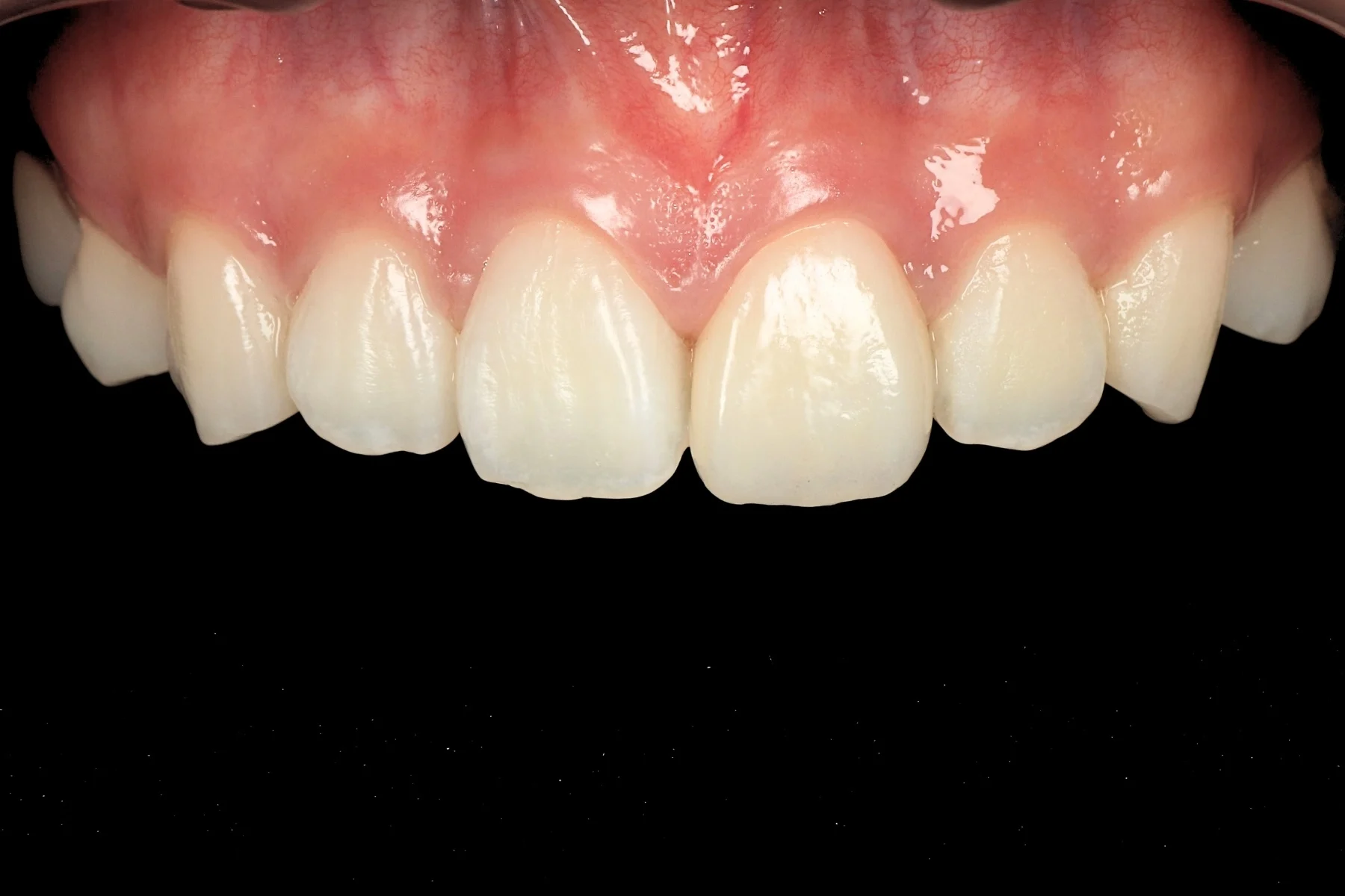
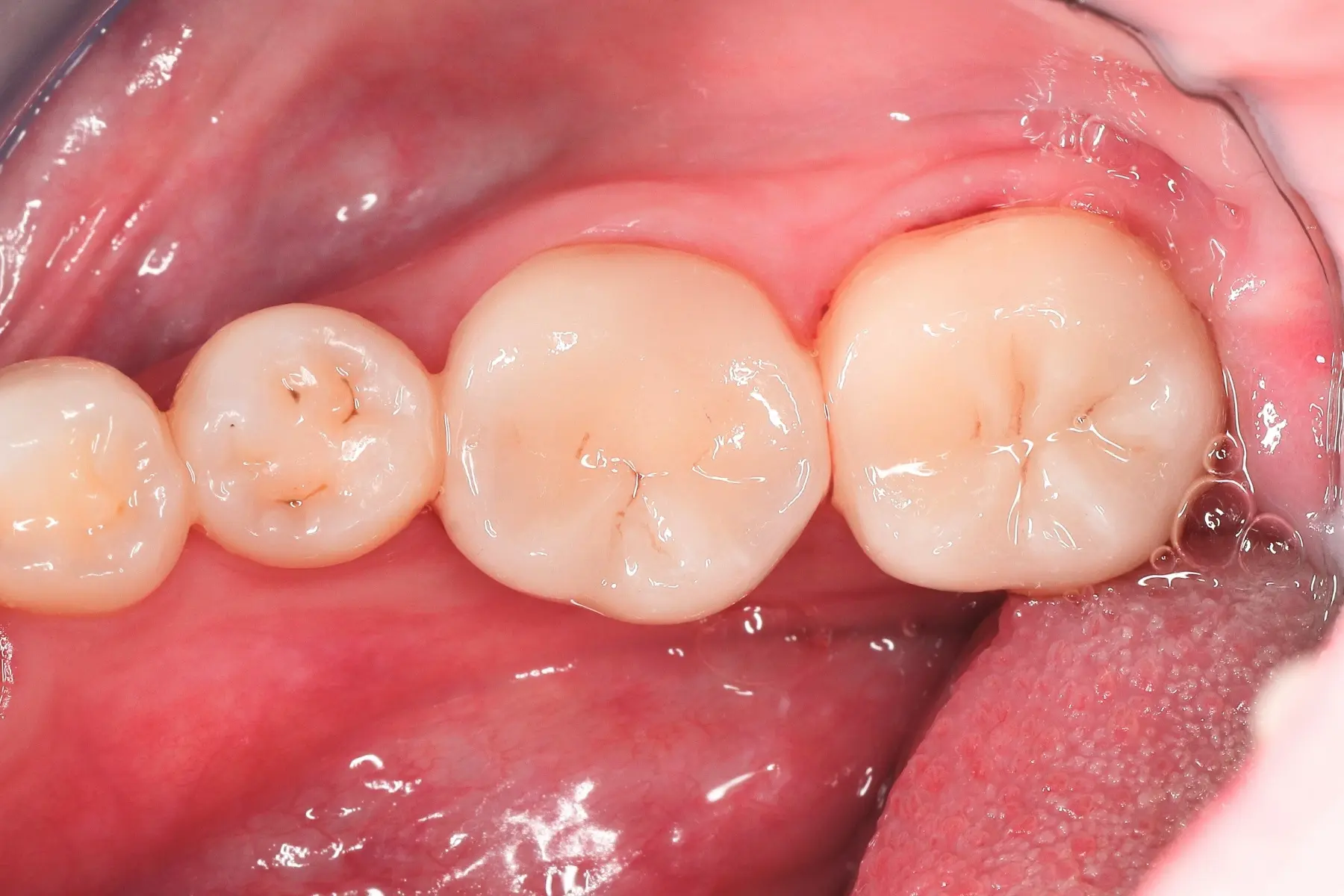
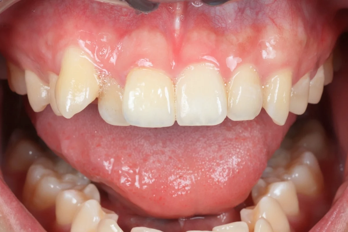
CASE
案例分享
點此載入更多

國立陽明大學牙醫系學士
前臺北榮民總醫院醫醫師
亞洲齒列再生研究學會Advance植牙補綴專科訓練
微光私塾牙周雷射微創治療技術訓練
中華審美牙醫學會會員醫師
臺灣齒列再生研究學會會員醫師
臺灣牙醫顯微美學治療學會會員醫師
台灣數位植牙美學學會植牙專科醫師