Dentist

楊明憲

全口照護醫師
Doctor Line

看診項目

全科牙醫

學經歷

高雄醫學大學牙醫系學士
前高雄醫學大學附設中和紀念醫院醫師
前高雄市立大同醫院牙科部醫師
陶瓷嵌體課程認證醫師
數位自體齒移植課程認證醫師
中華審美牙醫學會會員醫師
中華民國顎咬合學會牙周治療課程認證醫師

CASE

Title Line 1

案例分享

  • 術前 43
    術後 41

    牙橋

    主治醫師
    • 楊明憲
    治療時間
    約1年4個月
    主訴
    吃東西左邊後牙會痛
  • 術前 42
    術後 41

    仿生全瓷牙

    主治醫師
    • 楊明憲
    治療時間
    約6個月
    主訴
    洗牙檢查時,發現多顆牙齒都出現問題
  • 術前 43
    術後 42

    仿生全瓷牙

    主治醫師
    • 楊明憲
    治療時間
    約3個月
    主訴
    門牙崩掉,想要評估看如何修復
  • 術前 42
    術後 41

    仿生全瓷牙

    主治醫師
    • 楊明憲
    治療時間
    約3個月
    主訴
    吃到較硬的食物後,原本的門牙牙套脫落
  • 術前 40
    術後 38

    前牙美學/滲透型樹脂修復

    主治醫師
    • 楊明憲
    治療時間
    約1個月
    主訴
    前牙黃黃的不好看、想要評估滲透型樹脂修復
  • 術前 39
    術後 37

    前牙美學/陶瓷貼片+全瓷冠

    主治醫師
    • 楊明憲
    治療時間
    約7個月
    主訴
    覺得門牙不好看,以及後牙有做過抽神經,想評估後牙做牙套
  • 術前 38
    術後 36

    前牙美學/陶瓷貼片+全瓷冠

    主治醫師
    • 楊明憲
    治療時間
    約6個月
    主訴
    覺得門牙假牙黑黑的不好看,想要更換假牙
  • 術前 35
    術後 34

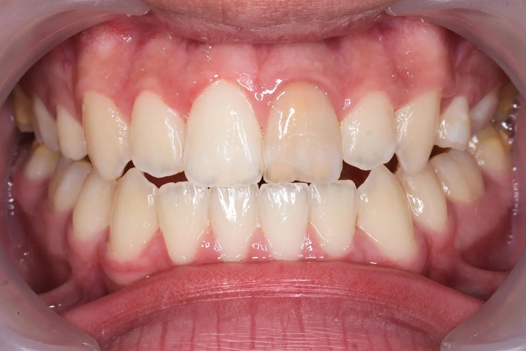
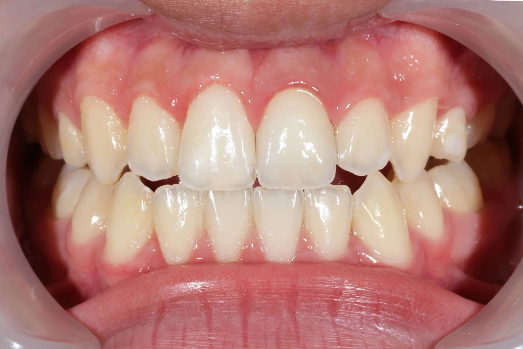
    前牙美學/仿生全瓷牙

    主治醫師
    • 楊明憲
    治療時間
    約2個月
    主訴
    覺得左上門牙顏色偏黃,希望改善外觀
  • 術前 34
    術後 33

    3D齒雕

    主治醫師
    • 楊明憲
    治療時間
    約2個月
    主訴
    左下牙齒痛,想檢查牙齒狀況
  • 術前 33
    術後 32

    3D齒雕

    主治醫師
    • 楊明憲
    治療時間
    約4個月
    主訴
    洗牙檢查時,醫師發現口腔狀況不佳
  • 仿生全瓷牙_術前
    仿生全瓷牙_術後

    前牙美學/仿生全瓷牙

    主治醫師
    • 楊明憲
    治療時間
    約2個月
    主訴
    門牙假牙外觀不自然、不密合,影響清潔與美觀
  • 噴砂美白_術前
    噴砂美白_術後

    牙齒美白/噴砂美白

    主治醫師
    • 楊明憲
    治療時間
    單次療程
    主訴
    牙齒表面有抽菸、嚼檳榔造成的外部染色,影響外觀與自信
點此載入更多

Column

Title Line 1

精選文章

FEATURED

Title Line 1

精選案例

Bd Go
Bd Go Mobile
Footer House
Logo

About

關於我們

Branch

體系分院

Treatment

診療項目

Case

案例分享

Team

樂的團隊

Clinic Hours

門診時間

Contact us

聯絡我們