Dentist

林明志

植牙手術專任醫師
Doctor Line

看診項目

人工植牙/一日長城全口重建/牙科手術/全科牙醫

學經歷

國立陽明大學牙醫系學士
全方位矯正訓練
北醫牙周植牙專科訓練
前臺北榮民總醫院醫師
亞洲齒列再生研究學會Advance植牙補綴專科訓練
台灣數位植牙美學學會植牙專科醫師
中華植體美學醫學會會員醫師

CASE

Title Line 1

案例分享

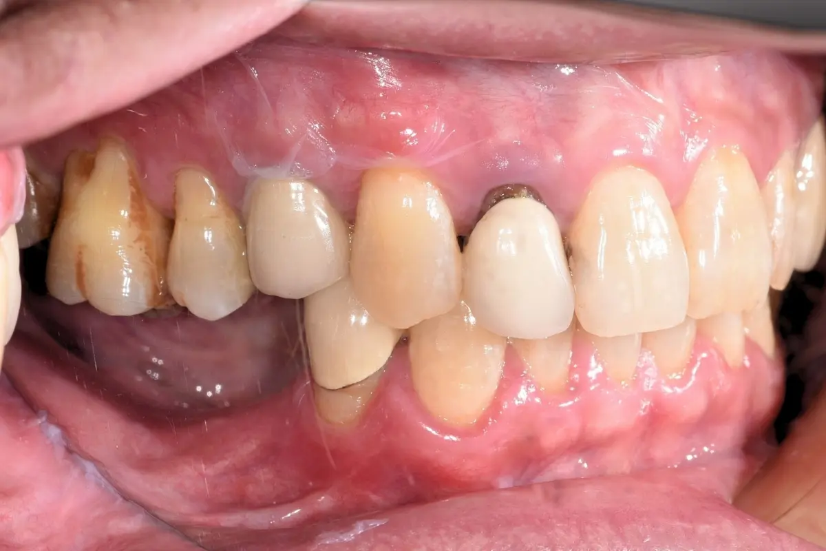
  • 術前 24
    術後 23

    人工植牙

    主治醫師
    • 林明志
    治療時間
    約1年
    主訴
    左下牙齒疼痛且咬合功能影響日常飲食
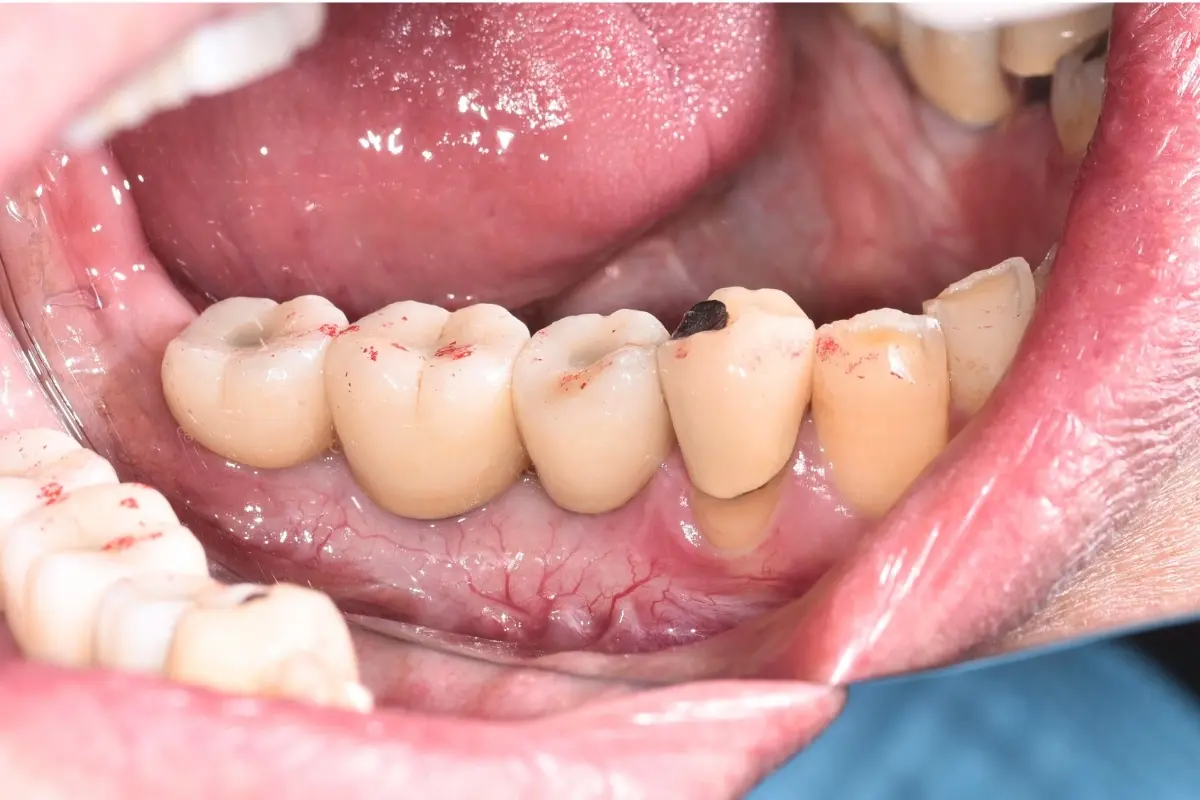
  • 術前 21
    術後 20

    人工植牙

    主治醫師
    • 林明志
    治療時間
    約1年5個月
    主訴
    後牙長期缺牙,進食不便
  • 術前 18
    術後 17

    牙根覆蓋術

    主治醫師
    • 林明志
    治療時間
    單次療程
    主訴
    前牙牙齦萎縮露出牙根,想評估牙齦增補手術
  • 術前 12
    術後 12

    人工植牙

    主治醫師
    • 林明志
    治療時間
    約一年
    主訴
    左上假牙外側反覆長膿胞,想尋求治療方法
  • 自體牙移植術前
    自體牙移植術後

    口腔外科/自體牙移植

    主治醫師
    • 林明志
    治療時間
    單次療程
    主訴
    矯正治療前發現牙齒嚴重蛀牙,無法保留
點此載入更多

FEATURED

Title Line 1

精選案例

Video

Title Line 1

精選影音

Bd Go
Bd Go Mobile
Footer House
Logo

About

關於我們

Branch

體系分院

Treatment

診療項目

Case

案例分享

Team

樂的團隊

Clinic Hours

門診時間

Contact us

聯絡我們