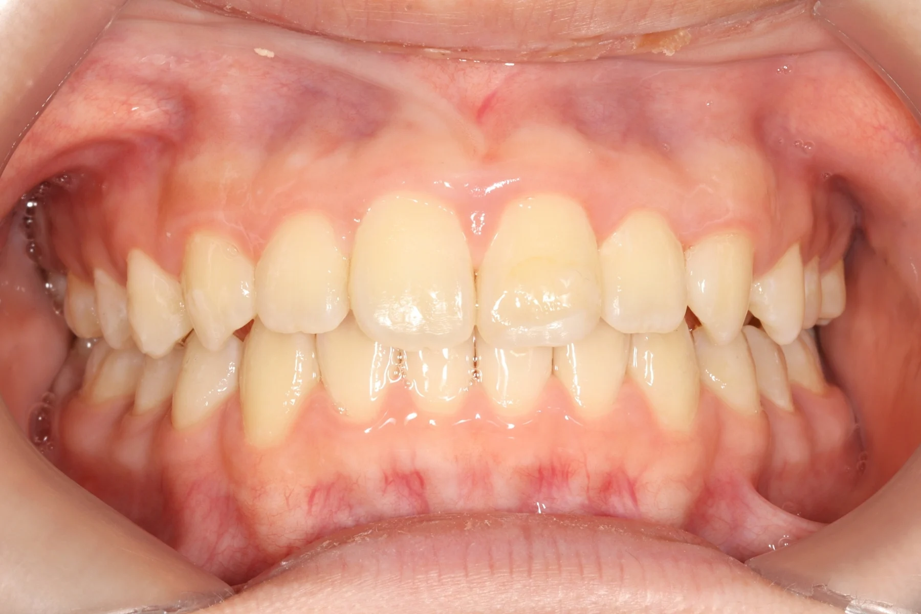
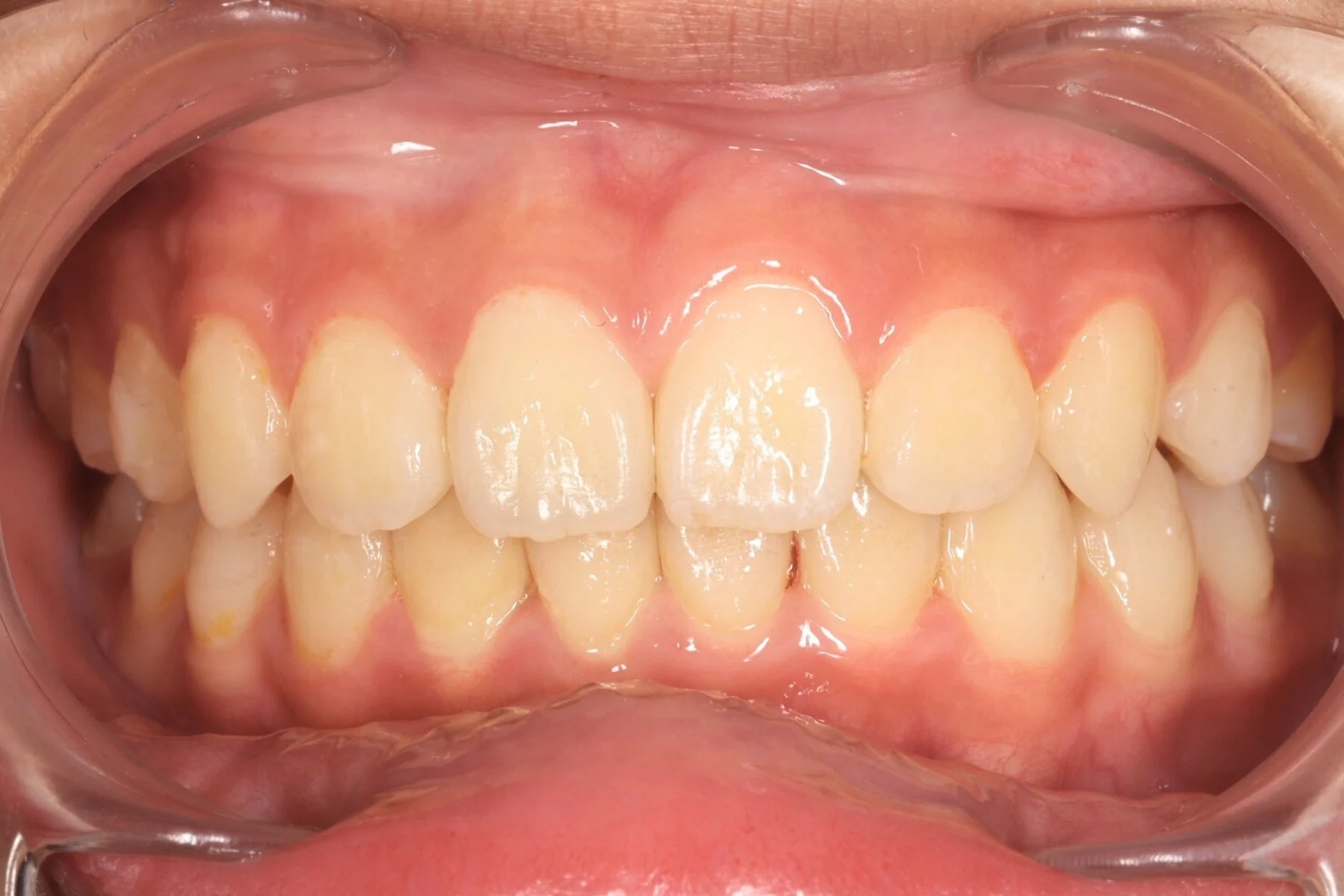
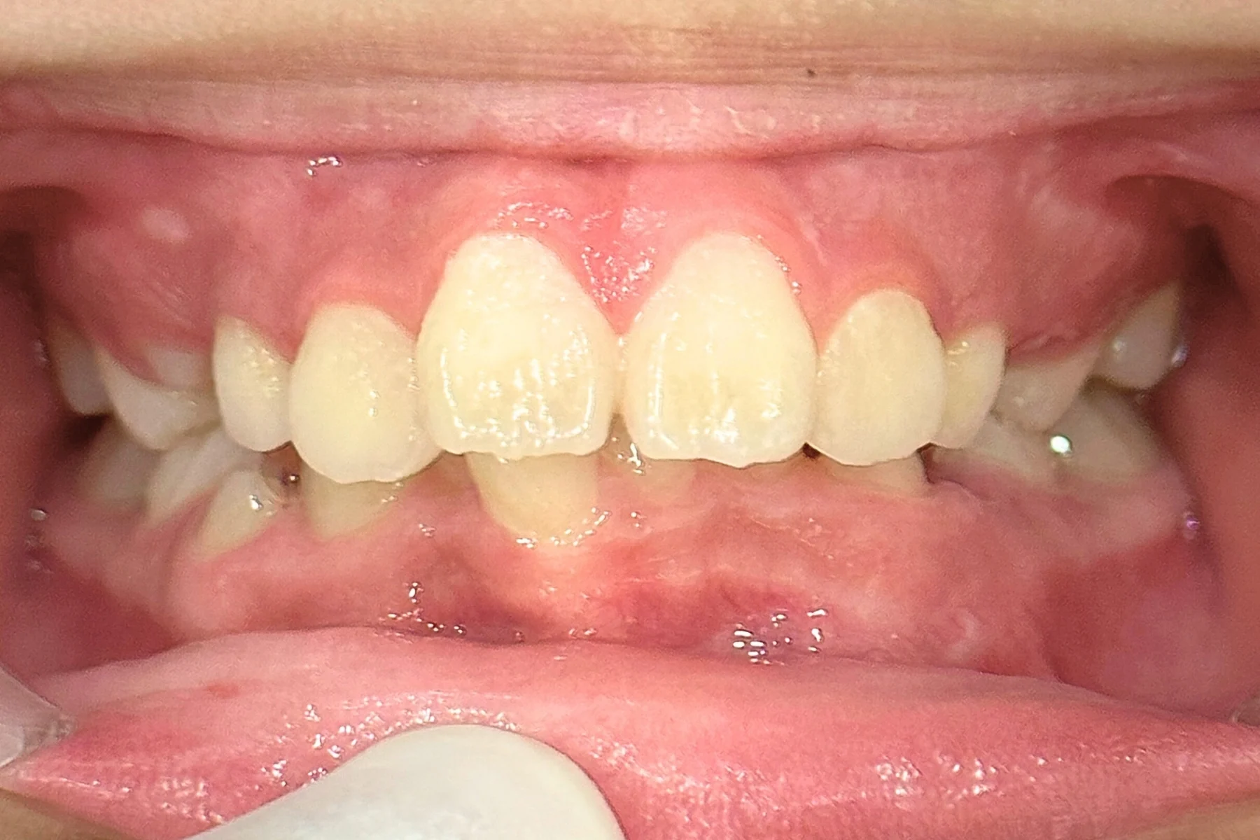
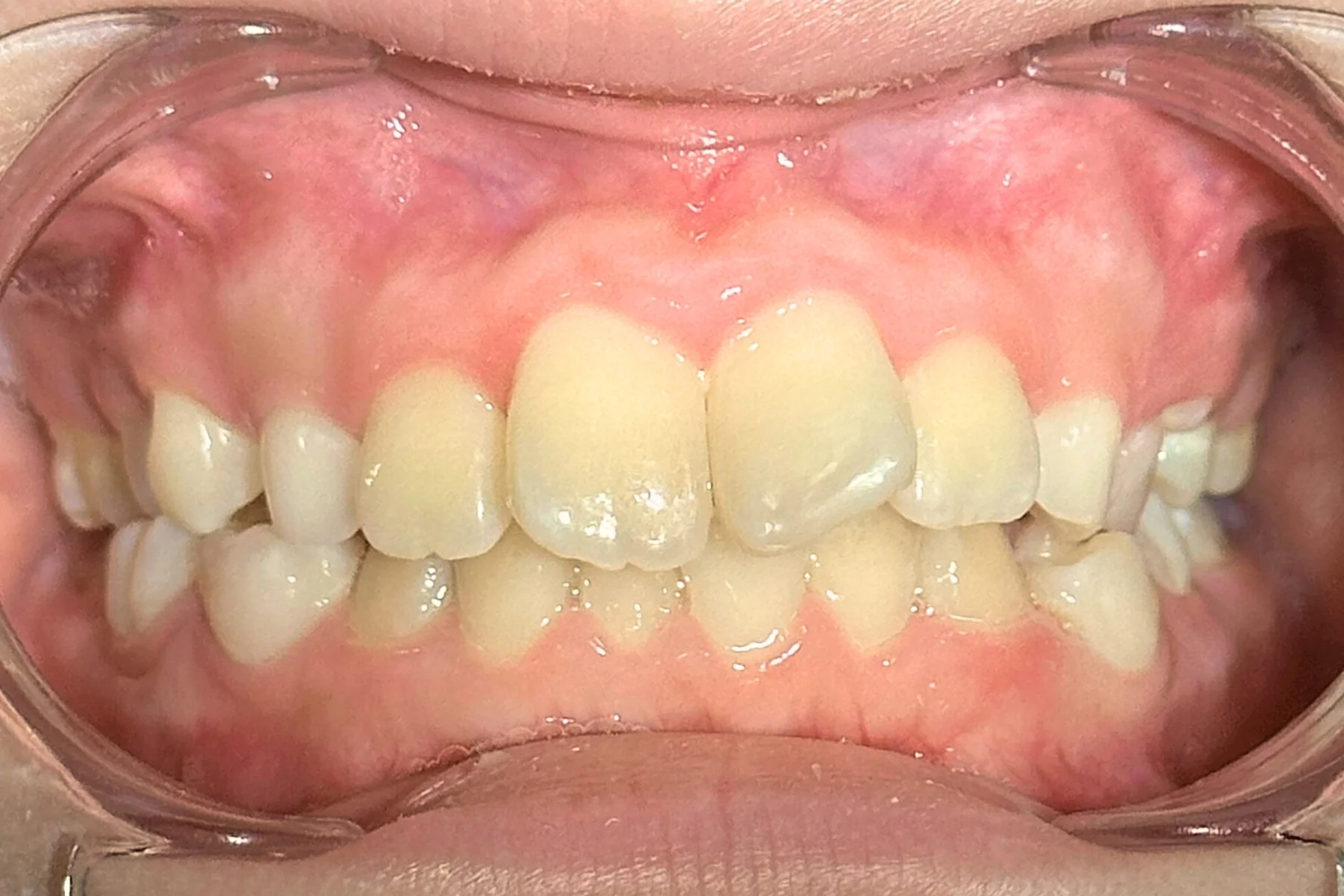
Invisalign® First 兒童隱適美 什麼是兒童隱適美? 兒童隱適美的特點 治療流程 適合對象 常見問題 相關院所 相關案例 精選案例 相關文章 01 什麼是兒童隱適美? 隱適美是隱形矯正、透明牙套的一種,隱適美矯正是一種使用較為創新的方式,能溫和、有效地移動牙齒,並透過專利smart track材質及SmartForce技術,搭配900萬個微笑大數據,製作專屬一系列的可摘式牙套。 兒童隱適美是一種專為兒童所設計的Invisalign®First矯正方案,適合6-12歲混合齒列階段的孩子,合併功能性矯正把牙齒排整齊的隱形矯正,讓孩子擁有除了傳統金屬矯正之外的矯正方式。 通常在混合齒列期間會是孩子的黃金矯正時期,此時做隱適美矯正的好處是能著重在齒槽骨的正確引導發育。小下巴、戽斗、齒列不正、深咬、暴牙等問題皆可以透過兒童隱適美引導發育,進而達到有效的改善。 02 兒童隱適美的特點 1.可預測性高 隱適美能夠透過Clinic Check Pro來模擬出最終的治療成果,搭配醫師的設計,能確保每一步都遵循最佳順序及時機。 2.不影響口腔清潔 因為隱適美能夠自由拆卸,清潔上較傳統矯正來的簡易,只需像平時一樣清潔牙齒即可。 3.矯正過程舒適度高 隱適美的專利技術讓患者在矯正期間舒適度提升,不會像傳統矯正器有刮破嘴的問題。 4.治療效果佳 把握孩子的黃金時期做治療,能有效引導後續生長,也能夠一併降低日後矯正的困難機率。 5.減少回診頻率 傳統矯正回診頻率大約3-4週,隱適美則可延長至6-8週,避免影響孩子課業及活動的安排。 6.美觀度高 外觀為透明無色,故不易被他人察覺,避免孩子感到不自在而影響人際關係。 03 治療流程 Step 1.初診評估 拍攝正顱、側顱以及全口X光片,並由專業醫施擬定專屬治療計畫。 Step 2.資料收集 拍攝矯正前的口腔內部照片,並進行數位口內掃描打造數位的治療計畫。 Step 3.確認治療計畫 透過電腦檢視模擬成果及所需時間,並與患者確認治療計畫。 Step 4.開始矯正療程 經醫師與患者討論治療計畫並同意後,則會開始製作專屬矯正器並送至診所,之後遵循醫囑配戴矯正器。 Step 5.定期回診追蹤 每次回診時醫師都會確認矯正進度,並取得下一個階段的矯正器。 6.矯正完成定期檢查 結束矯正療程後須持續佩戴維持器,並且定期回診檢查以避免牙齒再次移位。 04 適合對象 1.反咬、開咬、深咬 錯誤的咬合可能會造成孩子咀嚼不順、清潔不佳、咬合無法對齊或是其他美觀問題。 2.齒列不正、齒列擁擠 齒列擁擠的孩子在清潔上難度較高,若沒有清潔徹底則蛀牙的機會也將提高。 05 06 常見問題 Q1.兒童隱適美療程需要多長時間? 兒童隱適美通常較成人矯正更有效率,但矯正時間因人而異,一般需要12至18個月的時間,也可能一簡單或困難程度,時間有所差異,具體建議由矯正專科醫師實際評估所需時間。 Q2.兒童隱適美會不會影響兒童的飲食習慣? 兒童隱適美並不會影響兒童的飲食習慣,孩子們可以在進食前將牙套取下正常進食,只需在進食後正確清潔完牙齒,將牙套配戴回即可。 Q3.兒童隱適美是否會影響兒童的說話? 隱適美配戴初期可能會有一些說話不適應,但隨著時間的推移,兒童會適應新的矯正器,說話能力會逐漸恢復正常。 相關院所 樂芙兒童牙醫 樂陽牙醫診所 樂心牙醫診所 相關案例 兒童牙科/兒童隱適美 主治醫師 李峻嘉 治療時間 約1年2個月 主訴 上排前牙嚴重錯咬,咬在內側,影響咬合功能與口腔健康 兒童牙科/兒童隱適美 主治醫師 李峻嘉 治療時間 約1年6個月 主訴 暴牙、牙齒排列不整 兒童牙科/兒童隱適美 主治醫師 李峻嘉 治療時間 1年5個月 主訴 家長擔心小孩牙齒凌亂 兒童牙科/兒童隱適美 主治醫師 李峻嘉 治療時間 1年4個月 主訴 口呼吸、牙齒凌亂 兒童牙科/兒童隱適美 主治醫師 李峻嘉 治療時間 約14個月 主訴 下排牙齒排列凌亂、咬合不正 精選案例 「兒童隱適美」案例分享 10歲兒童的矯正之旅 2025-07-17 相關文章 害怕看牙這裡有撇步? 有什麼方法能減緩孩子看牙時的恐懼? 2025-09-05 兒童早期矯正怎麼選?關於早期矯正的關鍵解答 2025-09-05 早期矯正-金屬矯正器與MRC肌肉功能訓練器(myobrace)教學分享 2025-09-05