前牙美學修復
Biomimetic All-Ceramic Crowns
Detail Title Line

仿生全瓷牙

什麼是仿生全瓷牙?
Menu Arrow
治療原理與特色?
Menu Arrow
治療流程?
Menu Arrow
適合對象?
Menu Arrow
注意事項?
Menu Arrow
Menu Arrow
常見問題
Menu Arrow
相關院所
Menu Arrow
相關案例
Menu Arrow
精選案例
Menu Arrow
相關文章
Menu Arrow
01
Detail Content Line

什麼是仿生全瓷牙?

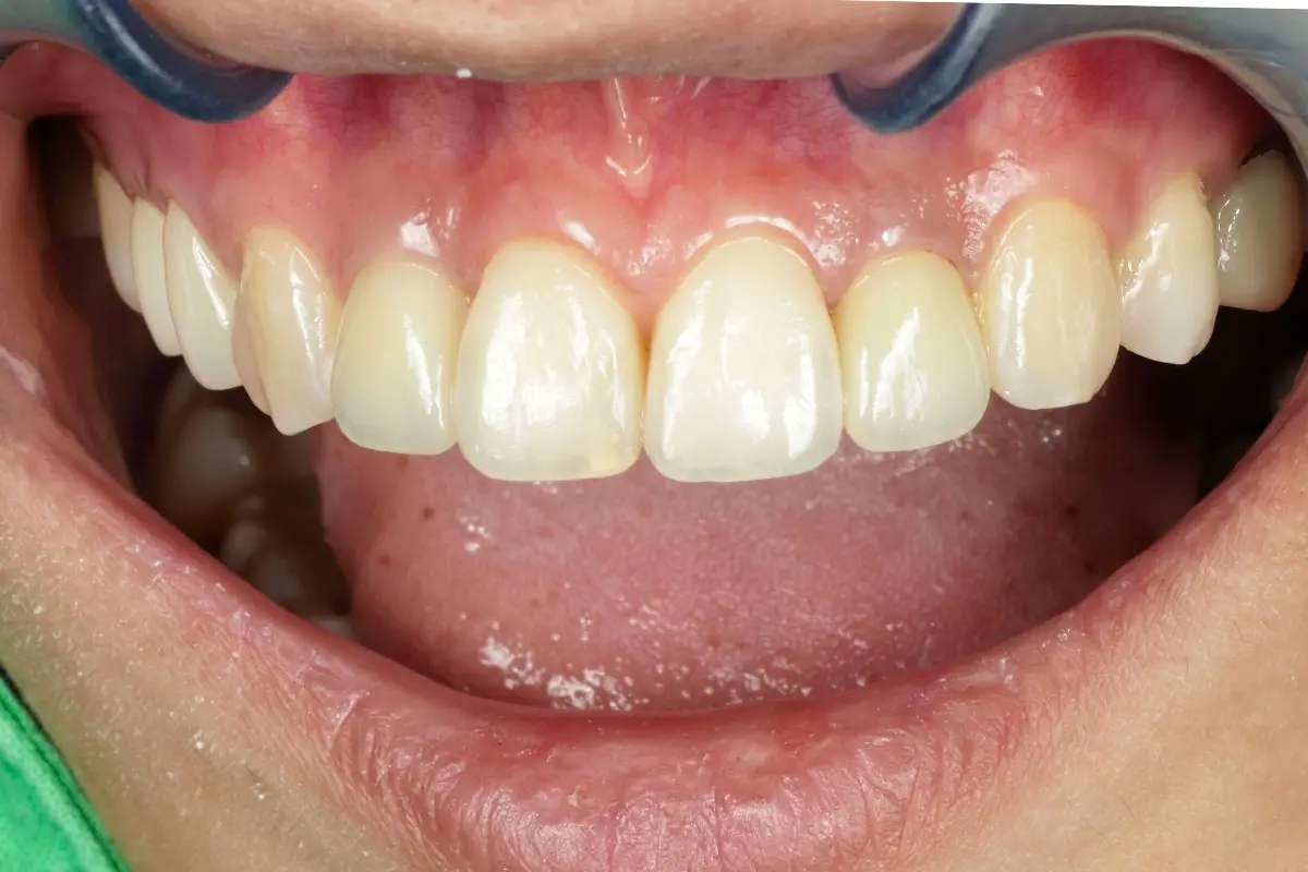
仿生全瓷牙是一種以一體成形的陶瓷製作而成的假牙,完全不含金屬內層。其光澤與外型都能依照每位患者的牙齒條件精細設計,能夠使其看起來跟真牙幾乎一模一樣,不會有顏色「死白」或「一眼就看出是假的」的情況,是兼具功能性與美觀性的修復選擇。

治療項目 仿生全瓷牙1

02
Detail Content Line

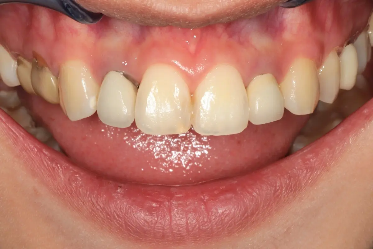
治療原理與特色?

1.色澤自然擬真:具有與真牙相近的色澤與透光性,顏色自然,提升美觀效果。
2.相容性高:全瓷冠為陶瓷一體成型製作,內部不含金屬成分,具有良好的相容性、不易過敏。

治療項目 仿生全瓷牙2

03
Detail Content Line

治療流程?

1.初診評估:醫師評估牙齒狀況,確認是否適合製作仿生全瓷冠,並說明預期效果與治療計劃。
2.牙齒修磨與印模:將牙齒修磨與印模,同時進行牙齒比色,確保與鄰牙色澤自然融合。
3.裝置臨時假牙:製作臨時假牙,維持外觀與功能的同時等待正式假牙完成。
4.裝戴正式牙冠:裝上仿生全瓷牙冠,恢復牙齒的結構、功能與美觀。
5.回診追蹤:定期回診,由醫師檢查全口口腔狀況。

治療項目 仿生全瓷牙3

04
Detail Content Line

適合對象?

1.嚴重蛀牙、牙齒斷裂、根管治療後的牙齒:當牙齒出現嚴重蛀牙、斷裂,或已接受根管治療時,牙齒通常會變得敏感且結構脆弱。這些情況下,建議製作全瓷冠牙套保護,不僅能加強牙齒的強度與穩定性,有效預防牙齒裂開或斷裂,還能兼顧美觀與功能。

2.傳統假牙造成牙齦發炎、發黑:部分民眾對金屬材質敏感,長期使用可能會導致牙齦發炎或邊緣變黑,影響美觀。仿生全瓷牙使用全陶瓷材質,相容性佳,不易引起排斥或過敏的現象。因此不會造成美觀問題,讓牙齦維持原本的自然狀態。

3.對金屬材質過敏者:部分民眾對金屬材質敏感,可能引起口腔不適或過敏反應。仿生全瓷牙使用全陶瓷材質,相容性佳,不易引起排斥或過敏的現象。

4.齒色暗沉、形狀不佳:若牙齒天生顏色偏黃或門牙過短、形狀不對稱,仿生全瓷牙能客製化專屬的牙齒美學比例。

治療項目 仿生全瓷牙4

05
Detail Content Line

注意事項?

1.良好清潔習慣:雖然是假牙覆蓋,但下方的真牙仍可能蛀牙。每天用牙刷、牙線或牙間刷徹底清潔,尤其是牙冠邊緣處。

2.避免咬食硬物:雖然全瓷冠材質堅固,但仍需避免咬硬物,防止牙套破裂或脫落,延長全瓷牙冠使用壽命。

3.異常情況立即回診:若發現假牙鬆動、破裂或牙齦紅腫疼痛等情況,請盡快回診所處理。

治療項目 仿生全瓷牙5

06
Detail Content Line

常見問題

相關院所

  • Map Icon 5

    樂沛牙醫診所

  • Map Icon 3

    樂陽牙醫診所

  • Map Icon 1

    又青牙醫診所

  • Map Icon 2

    樂心牙醫診所

相關案例

  • 術前 41
    術後 39

    仿生全瓷牙

    主治醫師
    • 鍾國耀
    治療時間
    三次療程
    主訴
    右下後牙使用牙線時容易卡住,牙線反覆斷裂
  • 術前 45
    術後 43

    仿生全瓷牙

    主治醫師
    • 鍾國耀
    治療時間
    6次療程
    主訴
    左上牙齒痛,進一步造成臉部腫脹
  • 術前 43
    術後 42

    仿生全瓷牙

    主治醫師
    • 陳暐文
    治療時間
    約 5 個月
    主訴
    多年前製作的門牙假牙外觀不自然,希望重新處理
  • 術前 42
    術後 41

    仿生全瓷牙

    主治醫師
    • 陳暐文
    治療時間
    約 1.5 個月
    主訴
    門牙曾接受根管治療,尚未裝戴假牙,想評估全瓷冠修復
  • 術前 42
    術後 41

    仿生全瓷牙

    主治醫師
    • 楊明憲
    治療時間
    約6個月
    主訴
    洗牙檢查時,發現多顆牙齒都出現問題
  • 術前 43
    術後 42

    仿生全瓷牙

    主治醫師
    • 楊明憲
    治療時間
    約3個月
    主訴
    門牙崩掉,想要評估看如何修復
Bd Go
Bd Go Mobile
Footer House
Logo

About

關於我們

Branch

體系分院

Treatment

診療項目

Case

案例分享

Team

樂的團隊

Clinic Hours

門診時間

Contact us

聯絡我們