Dentist

陳暐文

全口照護醫師
Doctor Line

看診項目

全科牙醫

學經歷

國立陽明大學牙醫系學士
前臺北榮民總醫院醫師
台灣數位植牙美學學會專科醫師
台灣牙醫顯微美學治療學會醫師

CASE

Title Line 1

案例分享

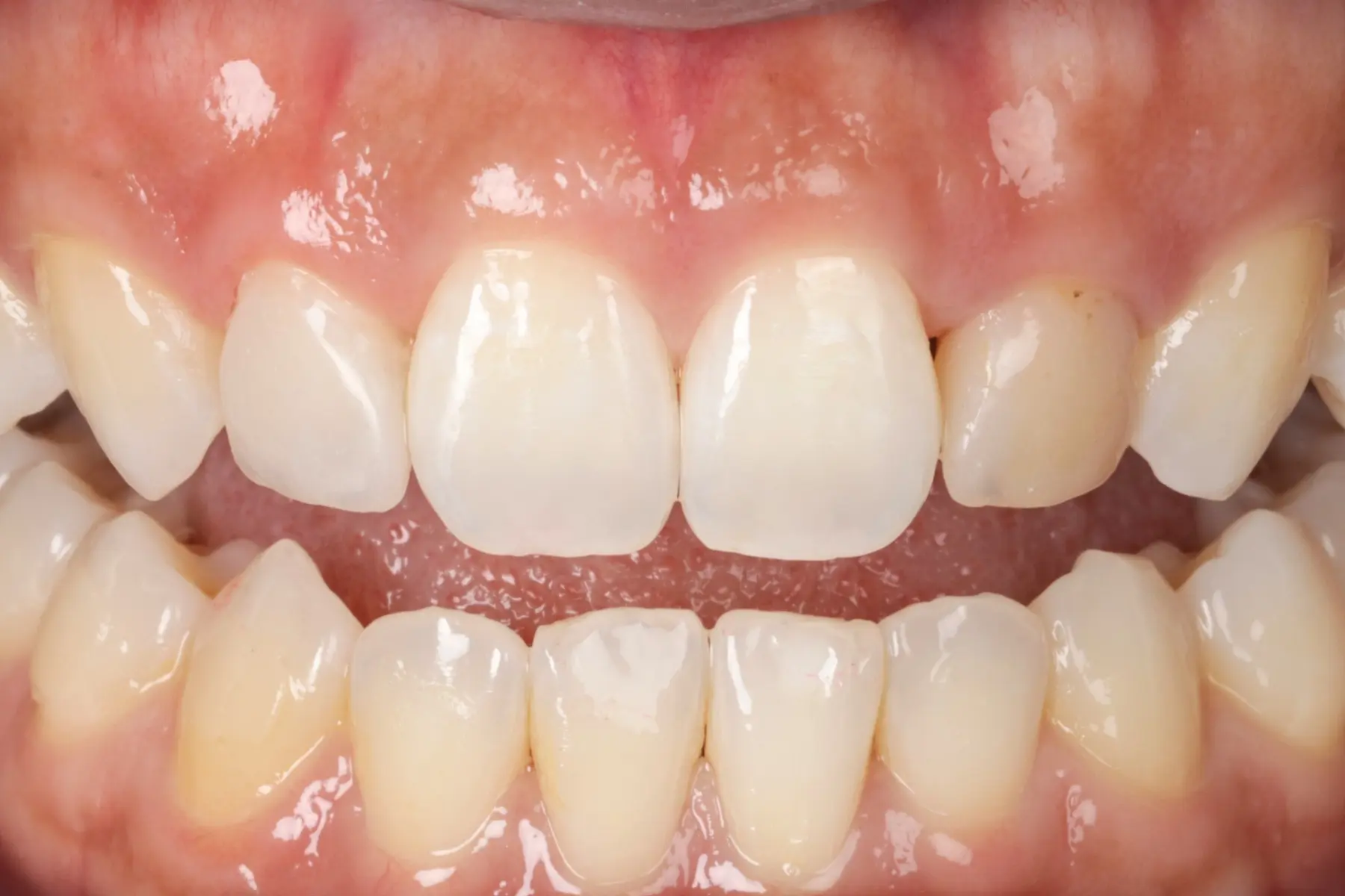
  • 術前 45
    術後 43

    前牙美學/仿生美學樹脂

    主治醫師
    • 陳暐文
    治療時間
    單次療程
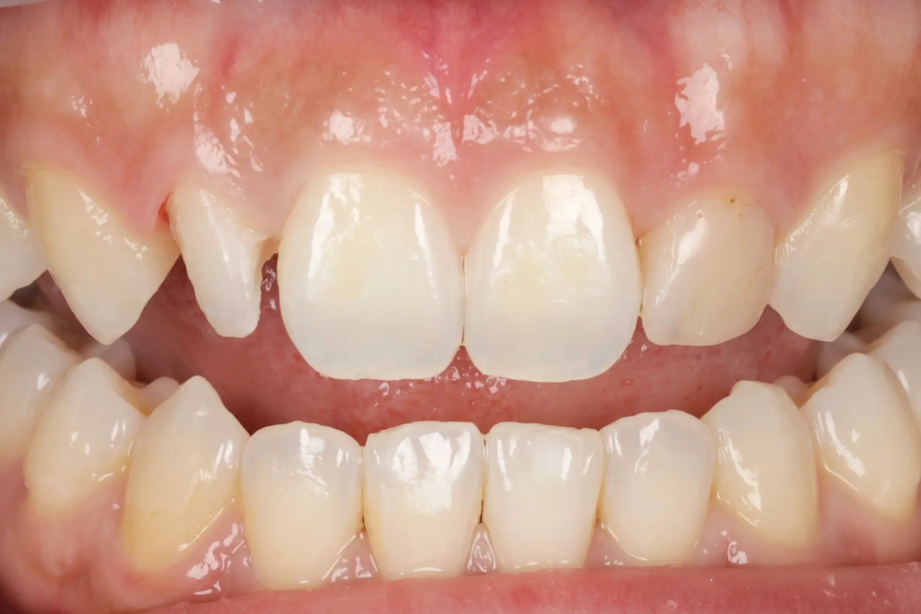
    主訴
    舊有填補物出現變色,導致牙齒看起來髒髒的
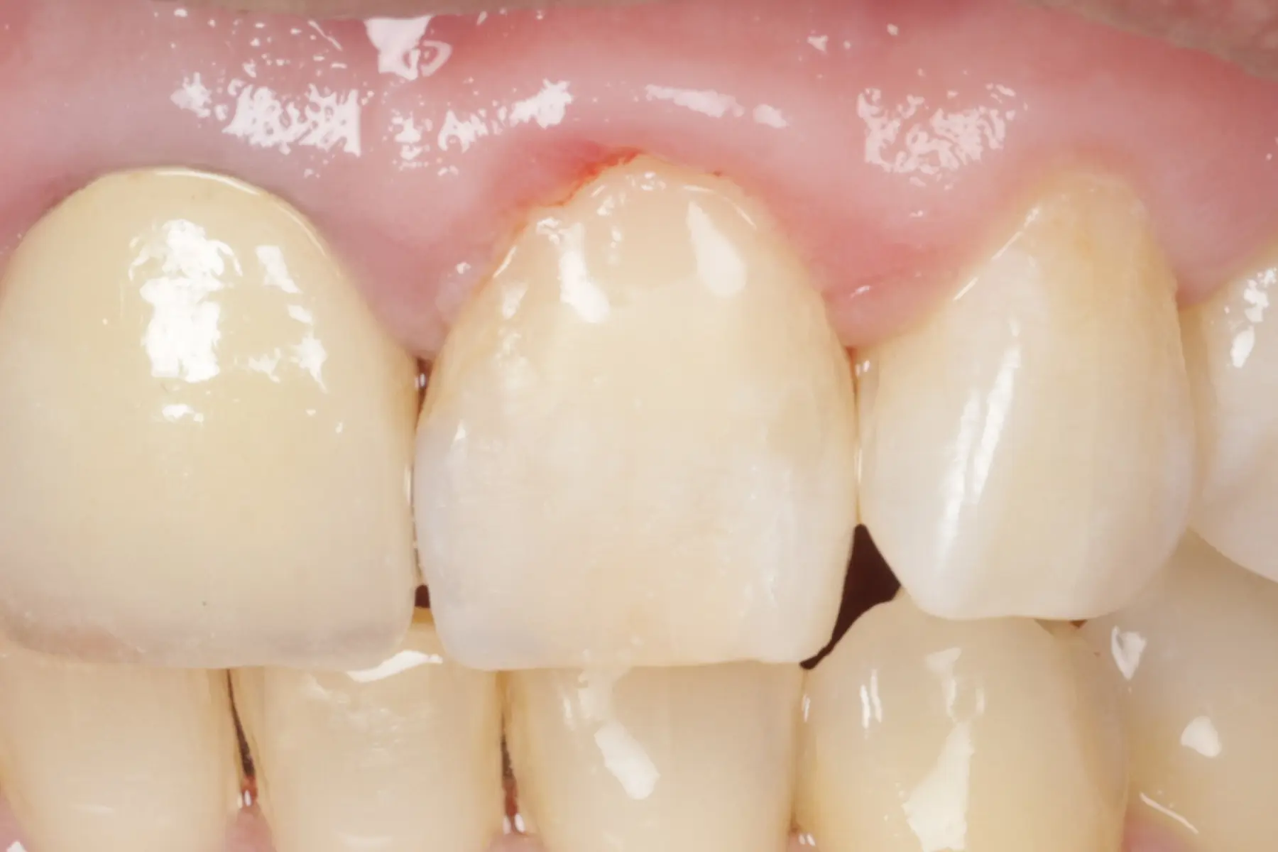
  • 術前 44
    術後 42

    前牙美學/仿生美學樹脂

    主治醫師
    • 陳暐文
    治療時間
    單次療程
    主訴
    上排側門牙天生形狀細小、尖銳,導致牙齒之間有明顯的縫隙
  • 術前 43
    術後 41

    仿生美學樹脂

    主治醫師
    • 陳暐文
    治療時間
    單次療程
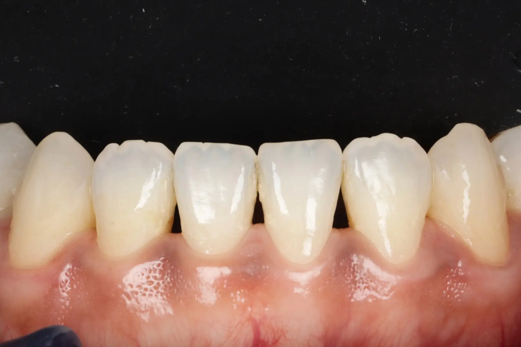
    主訴
    矯正完成下排前牙出現黑三角
  • 術前 44
    術後 42

    仿生美學樹脂

    主治醫師
    • 陳暐文
    治療時間
    單次療程
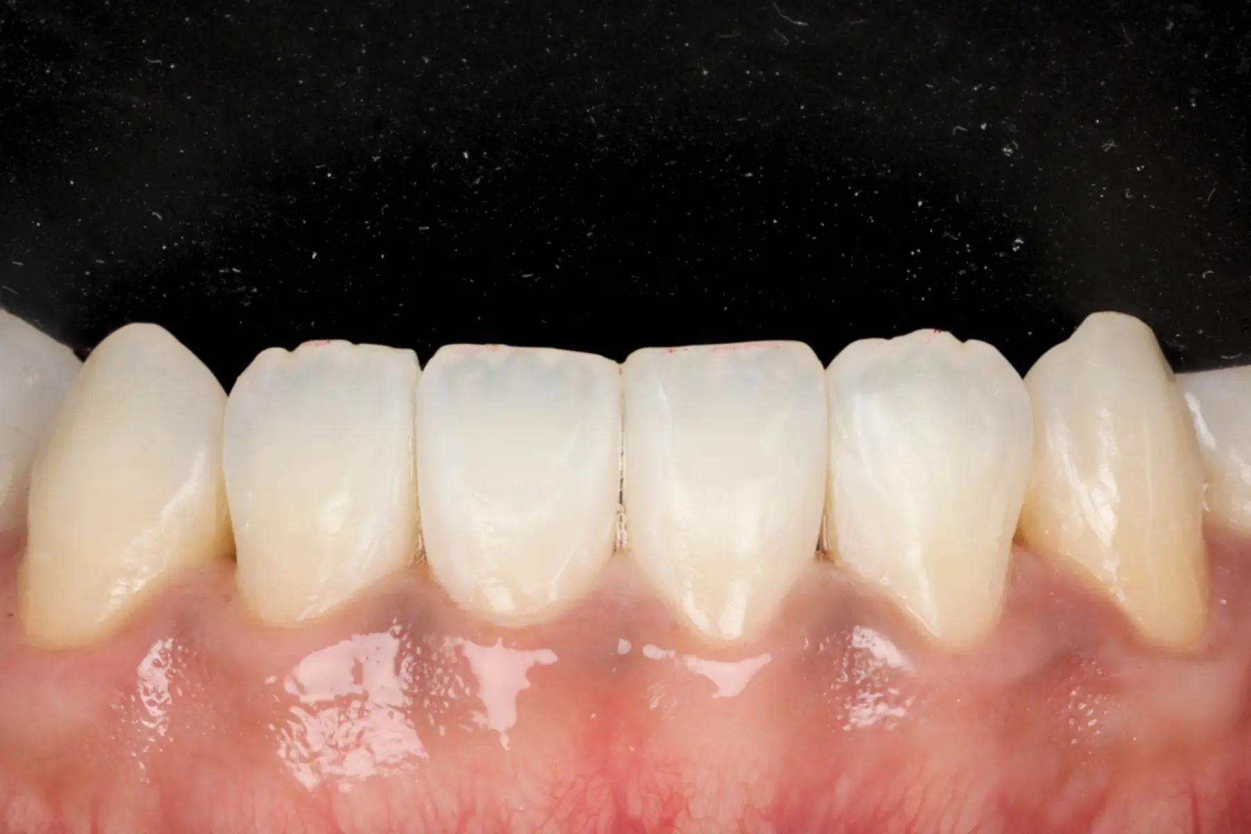
    主訴
    門牙有縫、牙齒形狀偏方,笑起來不夠自然
  • 術前 41
    術後 39

    仿生美學樹脂

    主治醫師
    • 陳暐文
    治療時間
    單次療程
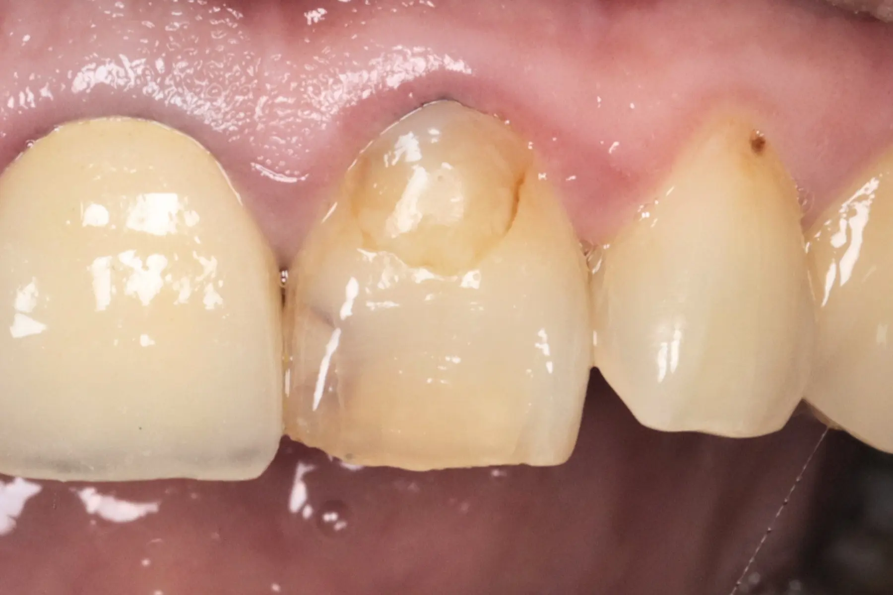
    主訴
    左上門牙因撞擊出現缺角,希望修復自然外觀、不想看出補過痕跡
  • 術前 41
    術後 39

    仿生美學樹脂

    主治醫師
    • 陳暐文
    治療時間
    單次療程
    主訴
    左上門牙因意外撞擊缺角,影響外觀,希望在不磨損自然牙的情況下修復外觀
  • 術前 43
    術後 42

    仿生全瓷牙

    主治醫師
    • 陳暐文
    治療時間
    約 5 個月
    主訴
    多年前製作的門牙假牙外觀不自然,希望重新處理
  • 術前 42
    術後 41

    仿生全瓷牙

    主治醫師
    • 陳暐文
    治療時間
    約 1.5 個月
    主訴
    門牙曾接受根管治療,尚未裝戴假牙,想評估全瓷冠修復
  • 術前 41
    術後 39

    3D齒雕

    主治醫師
    • 陳暐文
    治療時間
    約1個月
    主訴
    左下牙齒補的地方掉落
點此載入更多

Column

Title Line 1

精選文章

FEATURED

Title Line 1

精選案例

Bd Go
Bd Go Mobile
Footer House
Logo

About

關於我們

Branch

體系分院

Treatment

診療項目

Case

案例分享

Team

樂的團隊

Clinic Hours

門診時間

Contact us

聯絡我們