前牙美學/仿生美學樹脂+噴砂美白

Y小姐是位學校老師,平時工作需要與許多人接觸,笑容對她來說是一種禮貌。不過這幾年她越來越不喜歡露齒笑,因為上排門牙的「黑三角」縫隙以及喜歡喝茶和咖啡的習慣,總讓她感覺牙齒黃黃的、不夠乾淨,並且縫隙更容易堆積色素,讓原本就明顯的黑縫變得更顯眼。上網搜尋之後,她來到診所諮詢,期望找到更根本的解決方式。

患者基本側寫

姓名| Y小姐
年齡| 40
主訴 露齒笑時有不好看的黑三角縫,容易有茶垢沉澱,讓縫隙更明顯
治療需求 希望改善門牙間黑三角縫隙以及牙齒上的色素沈澱

治療內容

主治醫師|
  • 陳昕
診療項目|
  • 仿生美學樹脂
  • 牙齒美白
治療時間| 約兩週
治療步驟

1. 初診評估:醫師詳細檢查牙齦狀態與黑三角成因,並拍攝術前照進行治療討論。
2. 色素處理與關縫:先使用噴砂美白處理牙縫色素,再以特殊隔片與仿生美學樹脂細緻填補黑三角進行關縫。
3. 回診追蹤:一週後回診,確認牙齒外觀與色澤,並拍攝術後照記錄改善成果。

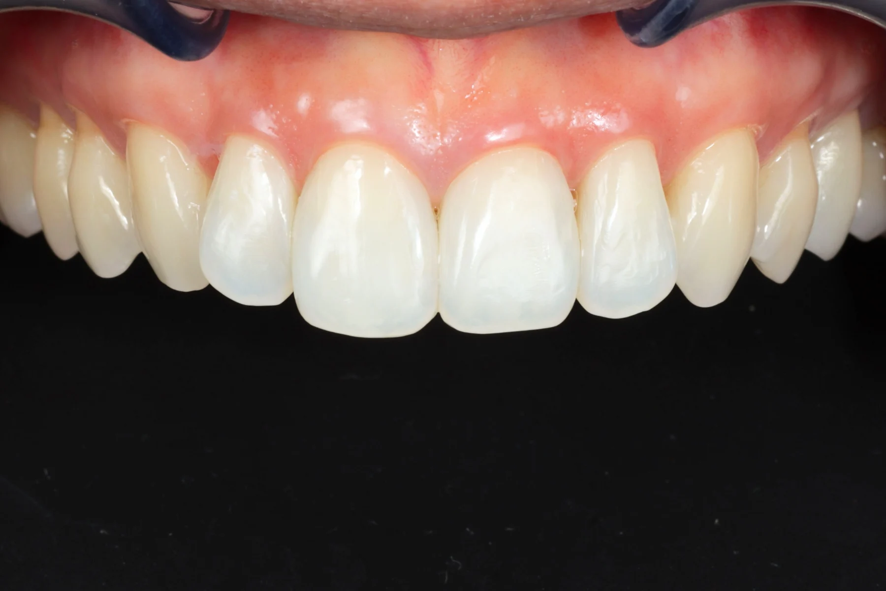
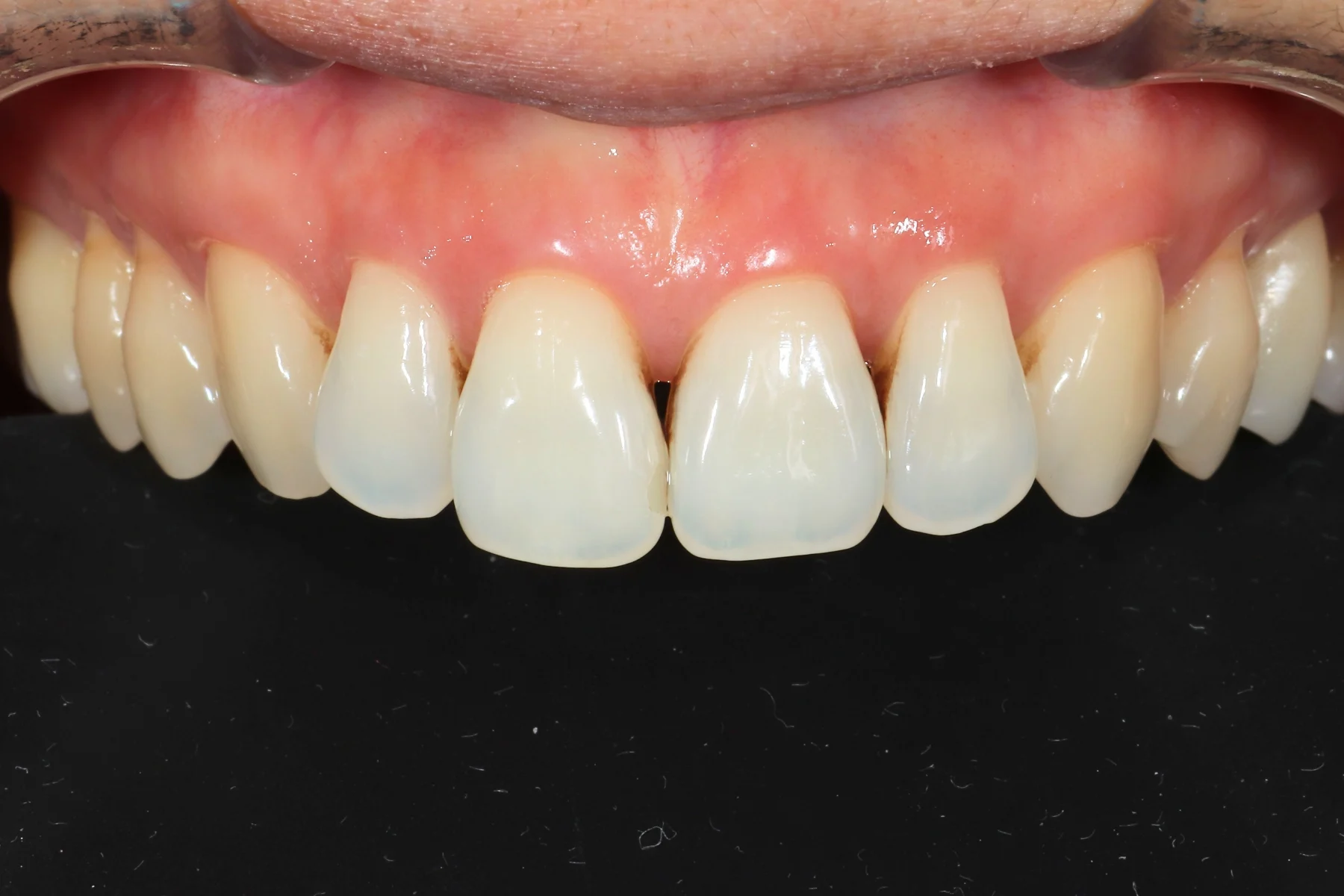
術前術後對比

仿生美學樹脂+噴砂美白_術前
仿生美學樹脂+噴砂美白_術後

患者治療心得

Y小姐表示,真的太神奇了,原本黃黃的牙齒,透過噴砂美白加上把黑三角補起來,直接重回亮白的牙齒!平常我愛喝咖啡,那些縫隙超容易卡色素,每次拍照笑起來都好沒自信。這次治療不僅讓黑三角不見了,連牙齒形狀都變得好看多了,看起來乾淨又整齊,整個人都更有精神了。謝謝醫師細心又專業的治療,讓我終於可以放心大笑了!

醫師建議

1. 避免大量攝取染色飲食(如咖啡、茶、紅酒),降低牙齒染色機率。
2. 維持良好的清潔習慣,可以使用牙線清潔牙縫。
3. 每半年定期回診,由醫師檢查口腔狀況。

適應症/禁忌症/處置優缺點

Ad Back
Bd Go
Bd Go Mobile
Footer House
Logo

About

關於我們

Branch

體系分院

Treatment

診療項目

Case

案例分享

Team

樂的團隊

Clinic Hours

門診時間

Contact us

聯絡我們