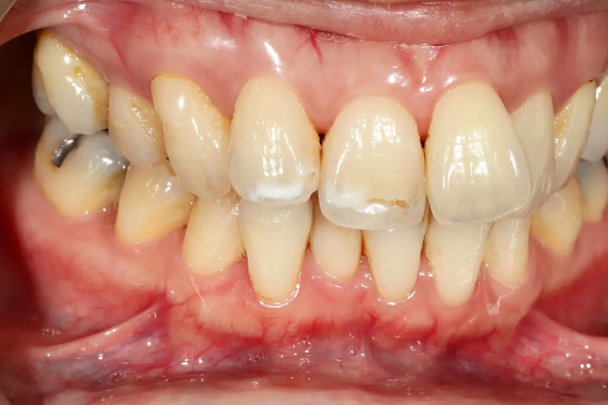
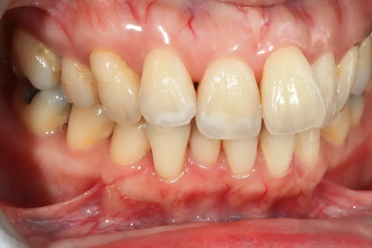
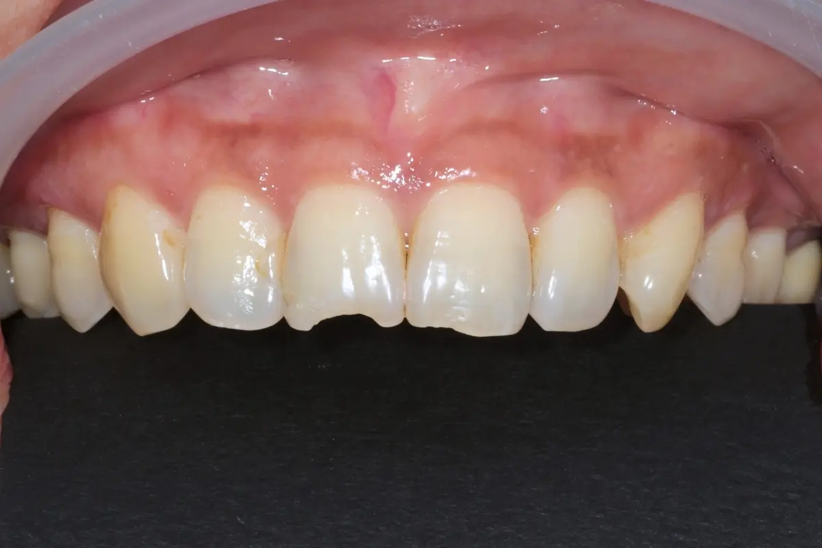
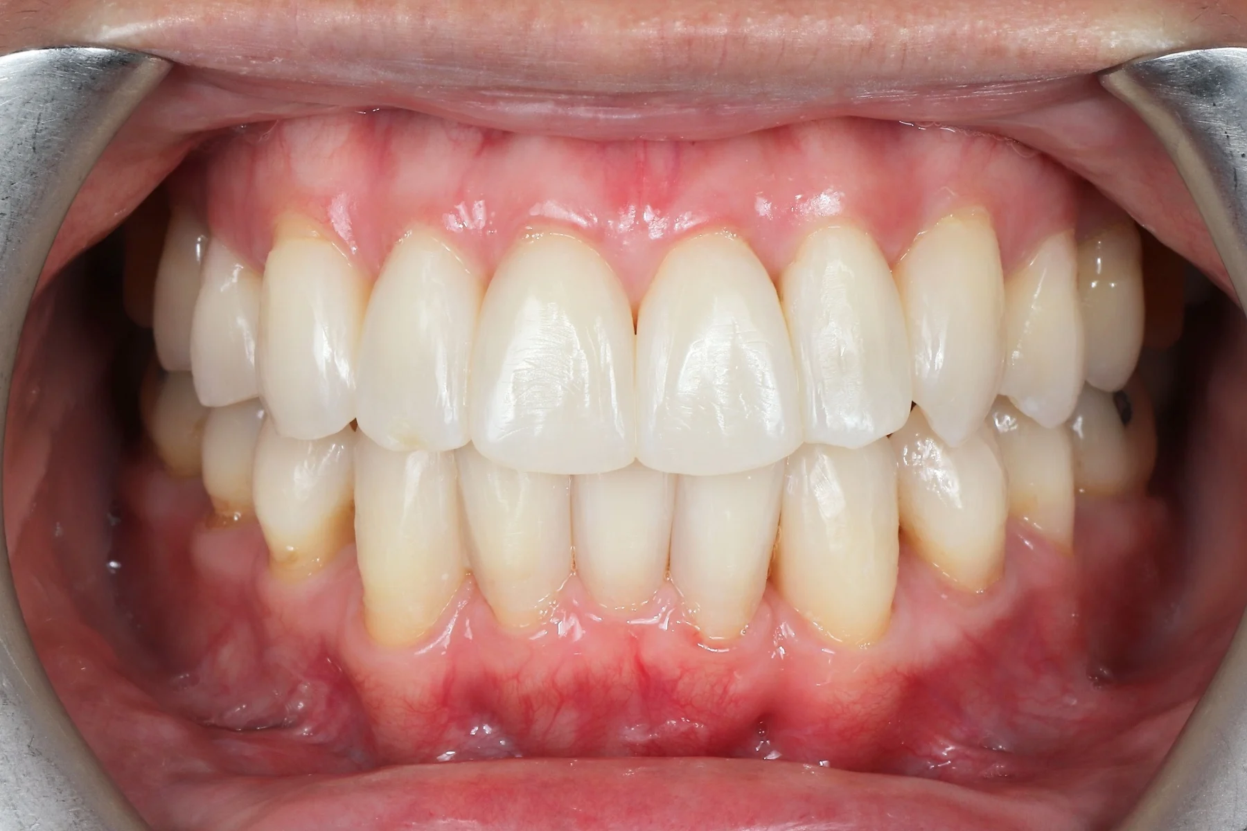
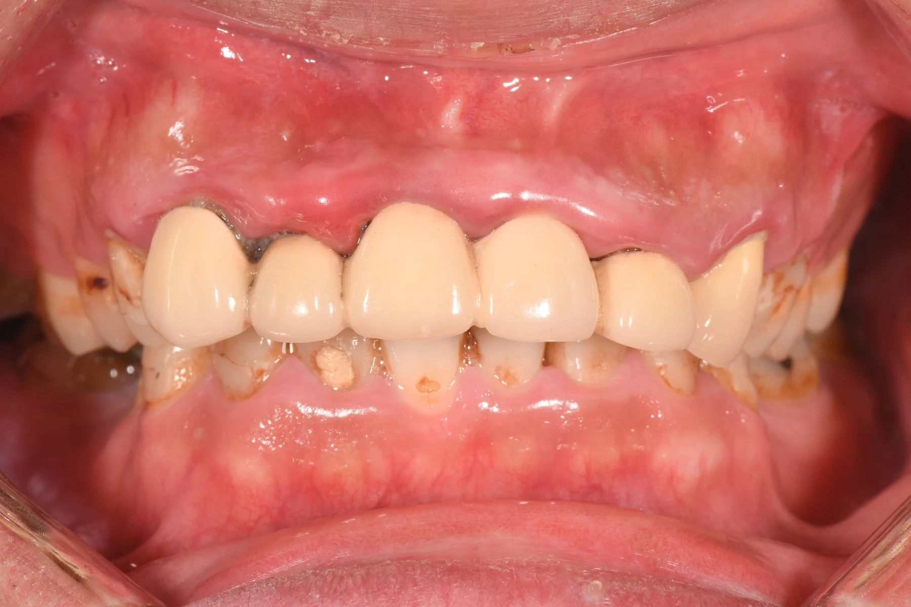
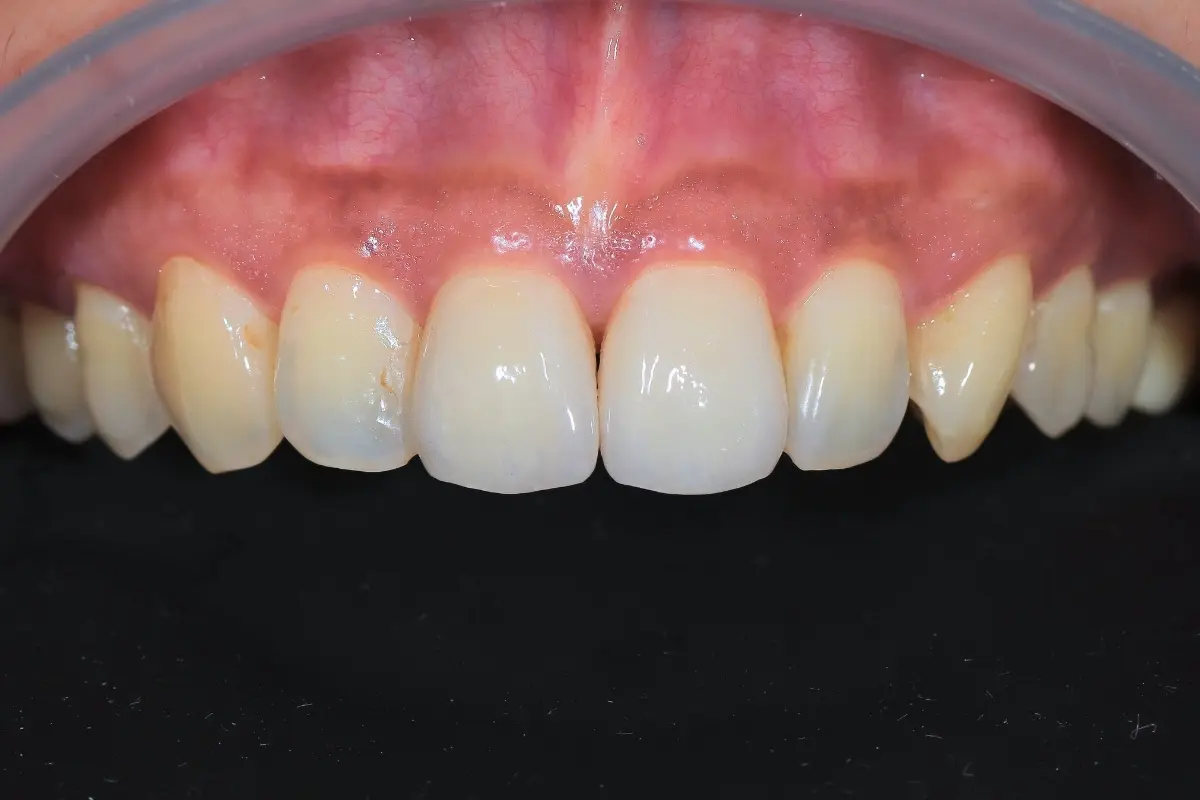
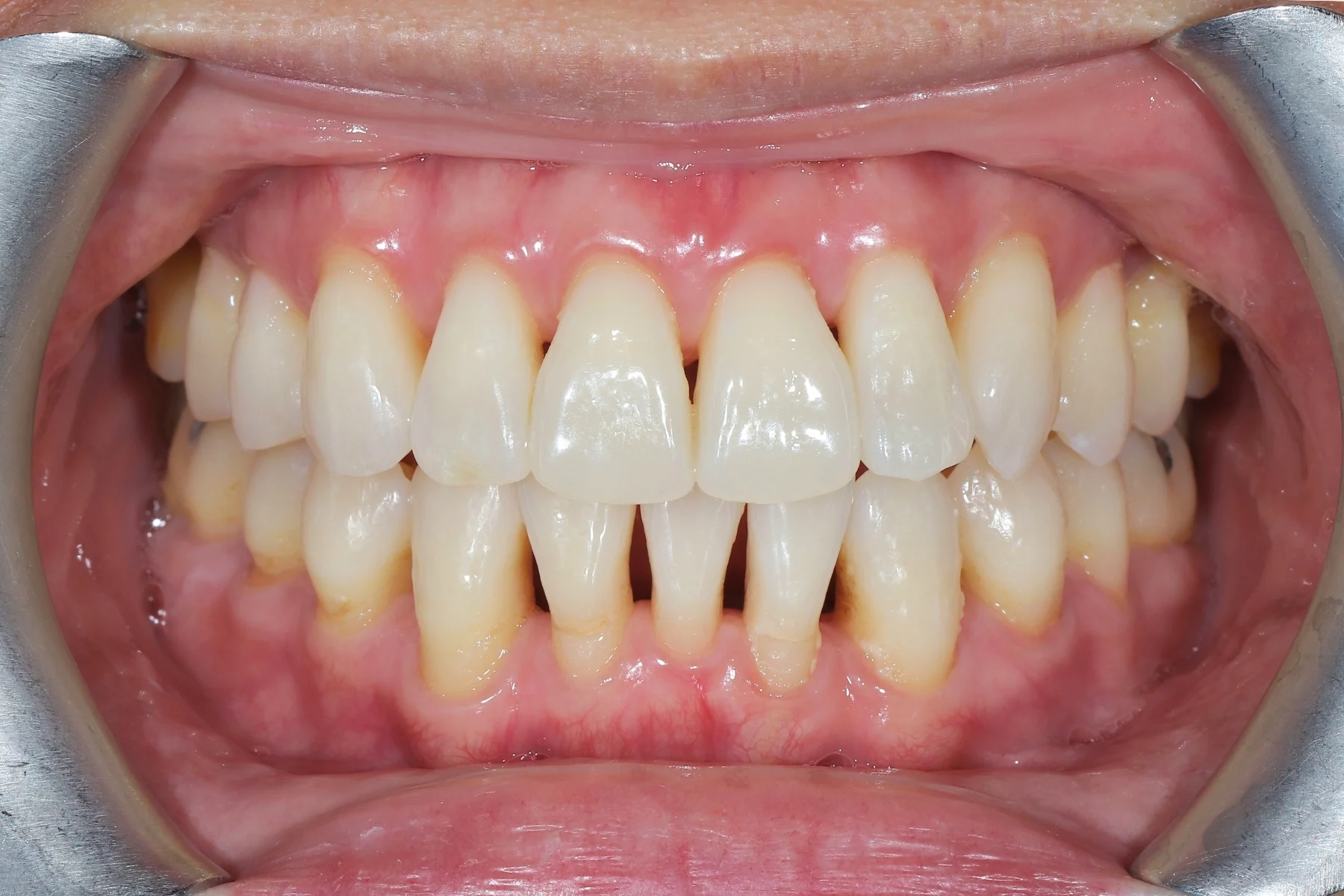
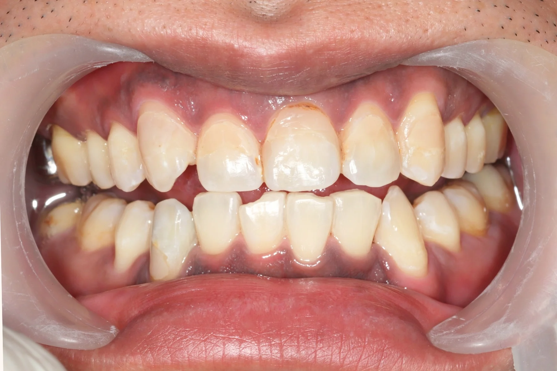
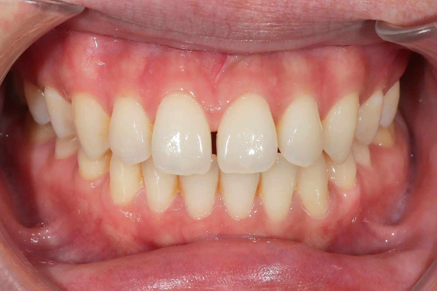
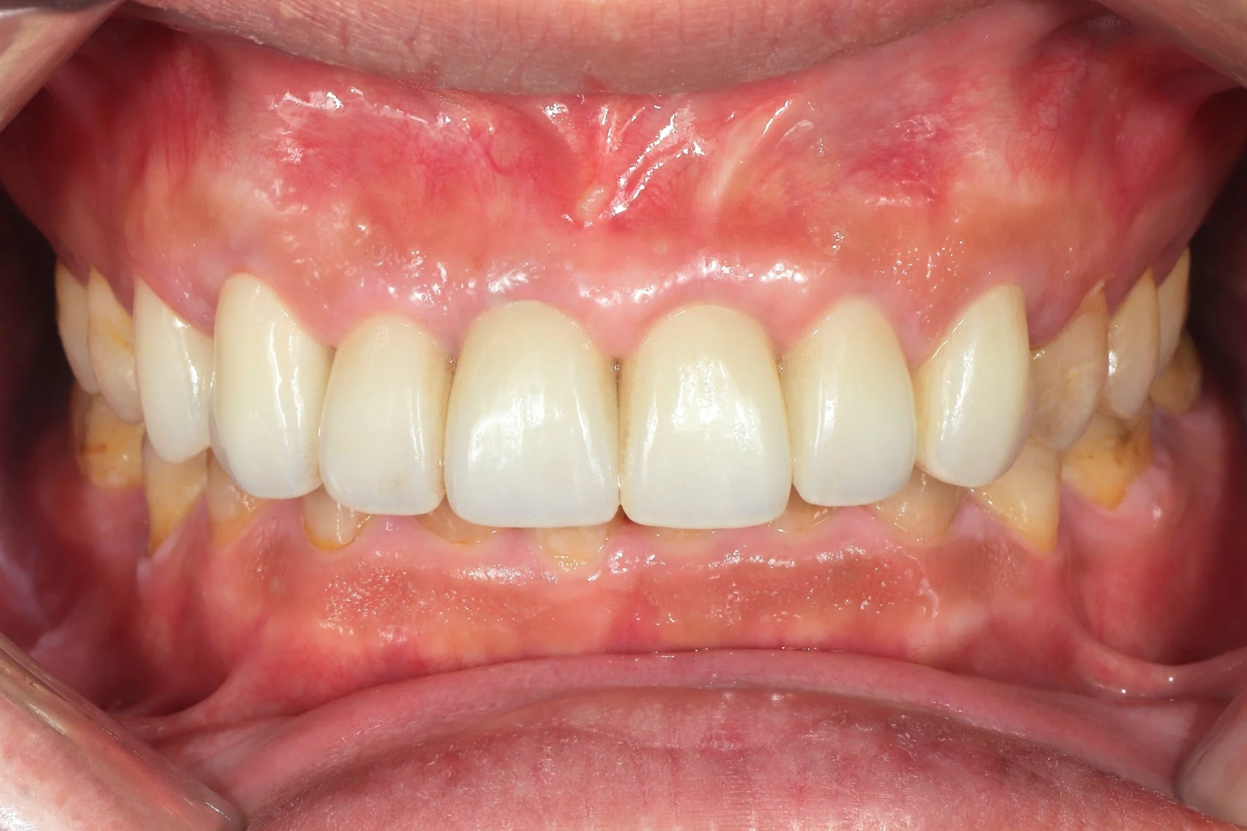
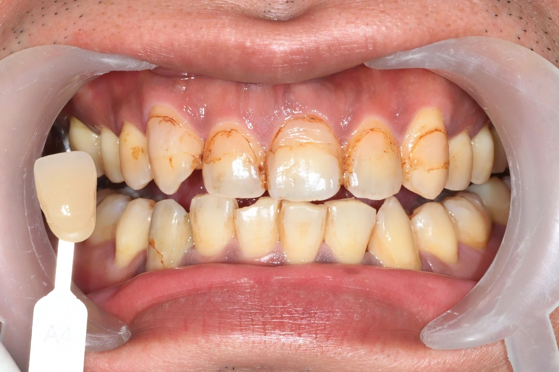
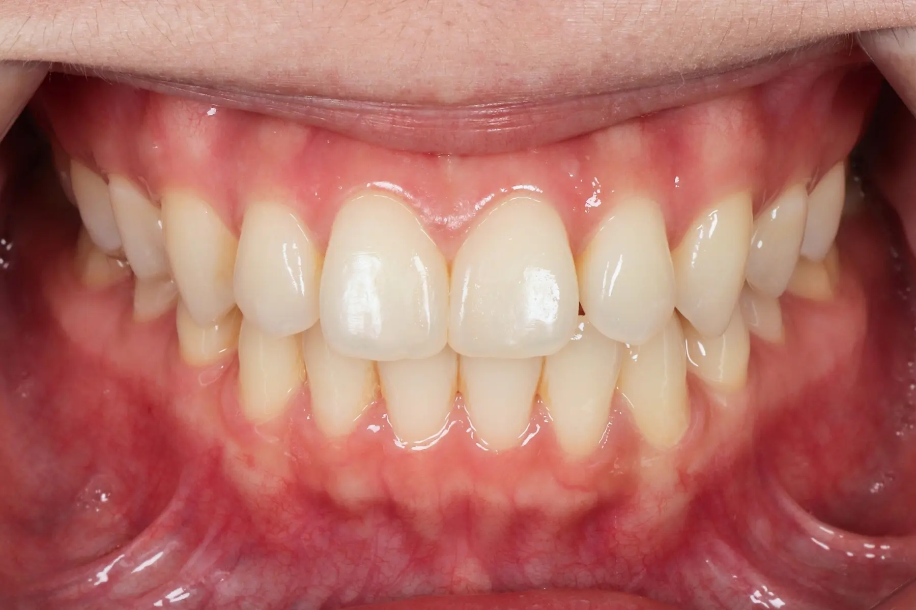
Dentist 陳昕 全口照護醫師 看診項目 前牙美學仿生樹脂補牙/全科牙醫 學經歷 臺北醫學大學牙醫系學士 前天主教新店耕莘醫院醫師 前臺北榮民總醫院醫師 亞洲齒列再生研究學會Advance植牙補綴專科訓練 微光私塾牙周雷射微創治療技術訓練 臺灣牙醫顯微美學治療學會會員醫師 中華審美牙醫學會會員醫師 CASE 案例分享 滲透型樹脂修復 主治醫師 陳昕 治療時間 單次療程 主訴 想處理前牙白白的色斑 前牙美學/仿生美學樹脂 主治醫師 陳昕 治療時間 單次療程 主訴 牙齒整齊,但門牙中間縫隙明顯,影響笑容美觀 前牙美學/陶瓷貼片 主治醫師 陳昕 治療時間 約1個月 主訴 兩顆門牙缺角,想要重建外觀 前牙美學/滲透型樹脂修復 主治醫師 陳昕 治療時間 單次療程 主訴 門牙有長期存在的白斑與表面不平整,影響外觀與自信 前牙美學/仿生美學樹脂 主治醫師 陳昕 治療時間 約兩週 主訴 矯正後的黑三角縫問題 前牙美學/仿生美學樹脂 主治醫師 陳昕 治療時間 約三週 主訴 因牙周病產生的黑三角縫 前牙美學/牙冠增長術、仿生全瓷牙冠 主治醫師 陳昕 治療時間 約6個月 主訴 牙齒排列不整、假牙外觀不自然 前牙美學/仿生美學樹脂 主治醫師 陳昕 治療時間 約兩週 主訴 露齒笑時黑三角縫明顯,覺得不好看 前牙美學/仿生美學樹脂+噴砂美白 主治醫師 陳昕 治療時間 約兩週 主訴 露齒笑時有不好看的黑三角縫,容易有茶垢沉澱,讓縫隙更明顯 牙齒美白/噴砂美白+冷光美白 主治醫師 陳昕 治療時間 單次療程 主訴 前牙泛黃且染色明顯,影響外觀與自信 牙齒美白/噴砂美白 主治醫師 陳昕 治療時間 單次療程 主訴 牙齒表面有喝咖啡、抽菸造成的外部染色,影響外觀與自信 點此載入更多 Column 精選文章 FEATURED 精選案例 【牙科修復案例】陶瓷貼片可以做一顆嗎?單顆門牙缺角修復,陶瓷貼片重建自然笑容 2026-01-16 從「假笑」到「自然笑容」的轉變——認識「牙冠增長術」與「仿生全瓷冠」 2025-10-14 Video 精選影音