前牙美學修復
Teeth whitening
Detail Title Line

牙齒美白

牙齒美白方法介紹
Menu Arrow
治療特色與方式
Menu Arrow
適合對象
Menu Arrow
注意事項
Menu Arrow
Menu Arrow
Menu Arrow
常見問題
Menu Arrow
相關院所
Menu Arrow
相關案例
Menu Arrow
精選案例
Menu Arrow
相關文章
Menu Arrow
01
Detail Content Line

牙齒美白方法介紹

牙齒變黃因素?

可以分成兩大類,分別是外因性與內因性。

外因性

是由吸菸、吃檳榔,或吃易使牙齒染色的食物,像是咖啡、紅酒、茶等,這些食物會讓色素堆積在牙齒表面,造成牙齒變色,因此稱為外因性。

內因性
是色素沉澱在牙齒裡面,像是根管治療後的牙齒,這時就必須要用化學性的療程,像是齒內美白。

 

美白療程有下列幾種:

➤噴砂美白

➤冷光美白

➤居家美白

➤瓷牙貼片

➤全瓷冠

02
Detail Content Line

治療特色與方式

一、噴砂美白

治療方式

噴砂美白是一種無害的非侵入性牙齒美白療程,主要是運用物理原理,透過空氣加壓方式混合小蘇打粉末和水,通過噴砂裝置創造出強力水柱,清除因長期喝茶、咖啡等易染色食物於牙齒表面所形成之沉澱色素或牙菌斑,適用牙齒有菸垢、茶漬、咖啡垢,或檳榔垢患者。

二、冷光美白

治療方式

冷光美白,乃是於牙齒表面塗上美白藥劑,利用低溫冷光進行氧化還原作用來消除沉積色素。

根據牙齒染色程度不同,光照約8到10分鐘,進行2至3次,療程時間大約60到90分鐘,適合因深色食物造成的色素沉澱,或因服用藥物造成之牙齒染色、根管治療的牙齒變色。

但因為冷光美白的藥劑較居家美白的濃度高,對牙齒及牙齦刺激性也更高,從而需在專業的牙科診所由牙醫師進行,以確保安全。

三、居家美白

治療方式

居家美白一種可以讓患者,自行於家中操作之牙齒美白療法,此處所指,是前往專業之牙醫診所經由醫師診斷後可以合格使用的居家美白藥劑,非一般市面通路上可隨意購買之牙齒美白產品(此些牙齒美白產品的濃度不一)。

將美白藥劑倒入在牙醫診所製作的專屬牙托上,每天配戴約兩小時,約略一個禮拜之後即可看到療效。

四、全瓷貼片

全瓷貼片又稱為陶瓷貼片、美齒貼片,是以陶瓷為材質的牙齒美白貼片。

相較於其它牙齒美白方法,瓷牙貼片最大的好處是能夠同時改變牙齒的形狀,亦可牙齒美白並做到牙齒整形,兩者兼具、一舉兩得。

治療方式

瓷牙貼片主要是在磨掉一層薄薄的牙齒後,將厚度約0.3~0.7mm的瓷片,利用高強度黏合劑黏在牙齒表面上,用來改善牙齒外觀。

同時達到牙齒美白效果。由於瓷牙貼片是由全陶瓷製作而成,不會有染色問題,或者其它牙齒美白療程效果不佳的人。

瓷牙貼片或全瓷冠主要用於改善變色嚴重、或外傷損裂的牙齒,像是四環黴素牙齒染色、門牙破損,或想改善前牙微笑美觀區的人,維持效果長。

五、全瓷冠

全陶瓷成分,光澤媲美、自然,猶如原來牙齒,不含任何金屬,不死白暗沉,不會有如使用金屬瓷牙後牙齦變黑情形,人體相容度高,牙齒不易產生敏感現象。

治療方式

全瓷冠跟瓷牙貼片有相似之功能,只是全瓷冠是整個覆蓋,就像為牙齒量身訂製一頂安全帽,適用於修復或保護變弱的牙齒,也能修復嚴重破損的牙齒、為做完根管治療的牙齒提供良好的保護效果,常用在3D齒雕、植牙的假牙牙冠、或根管治療後的牙套。

倘若牙齒有做過根管治療,通常醫師就會建議選用全瓷冠,而不是用瓷牙貼片。

03
Detail Content Line

適合對象

噴砂美白適合對象

您只是想要清除卡在牙齒上的污漬,噴砂美白就很適合你,但噴砂美白療程無法讓牙齒顏色變亮白!

同常情況,噴砂美白維持時間不長,大概可以維持3-6個月,視個人口腔衛生及飲食習慣而定,如欲達到美白之療效,就得配合其餘所介紹的幾種牙齒美白方式。

 

冷光美白適合對象

冷光美白通常可讓牙齒亮白數個色階,維持時間平均1到2年,適合牙齒本身即相當健康,牙齒外型亦無問題,僅係單純想讓牙齒變白的人。

療程快速,可快速改變牙齒色階 (每個人做完冷光美白後可以白幾階不一定),藥劑濃度較雷射美白低,對牙齒比較溫和。

 

居家美白適合對象

適合時間工作時間忙碌,無暇時常看診的人。

美白藥劑濃度較低,適合牙齒較敏感患者、輕微黃板牙患者。

 

陶瓷貼片適合對象

療程快速方便,可同時改善牙齒顏色、大小、形狀、和整齊度 ,不會褪色或染色長效,好的瓷牙貼片壽命長,不易變色,牙齒美白效果持久!

 

全瓷冠適合對象

在牙齒整形或牙齒美白療程中,全瓷冠一般是跟瓷牙貼片搭配使用,對於外觀要求較高的明星藝人、模特兒、或須經常與人接觸的服務業,都適合用瓷牙貼片或全瓷冠來改善牙齒外觀和整齊度。

專業的牙醫師會視牙齒情況選配瓷牙貼片或全瓷冠,如果牙齒健康的情況下,儘量選用瓷牙貼片可減少磨損的砝瑯質。

04
Detail Content Line

注意事項

在進行牙齒美白治療期間,請遵從牙醫的建議,定期追蹤治療效果。同時,建議避免食用過於顏色濃重的食物和飲料,以免影響美白效果;若選擇的牙齒美白方式為陶瓷貼片及全瓷冠等則可避免美白處再度染色的問題,但仍需維持正確牙齒清潔方式及定期檢查,以確保牙齒健康。

05
Detail Content Line

06
Detail Content Line

常見問題

相關院所

  • Map Icon 5

    樂沛牙醫診所

  • Map Icon 3

    樂陽牙醫診所

  • Map Icon 1

    又青牙醫診所

  • Map Icon 2

    樂心牙醫診所

相關案例

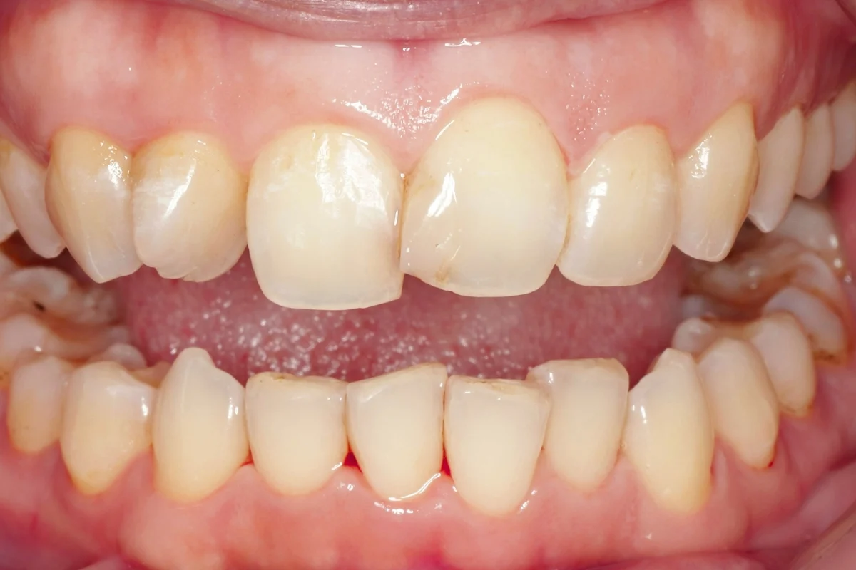
  • 齒內美白術前
    齒內美白術後

    牙齒美白/齒內美白

    主治醫師
    • 余子豪
    治療時間
    兩次療程
    主訴
    右下門牙覺得黑黑的,想看看能不能變白一些
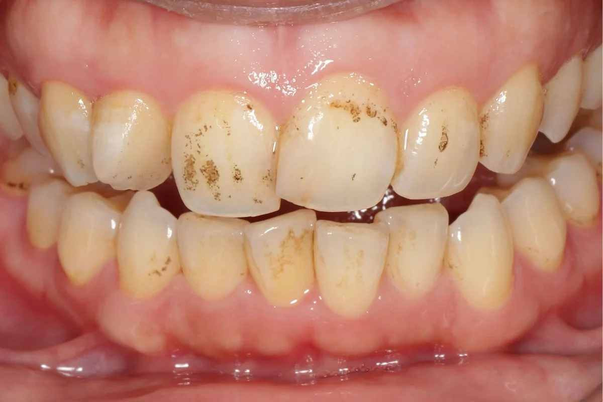
  • 齒內美白術前
    齒內美白術後

    牙齒美白/齒內美白

    主治醫師
    • 余子豪
    治療時間
    兩次療程
    主訴
    覺得右上門牙黑黑的,想了解有沒有變白的方法
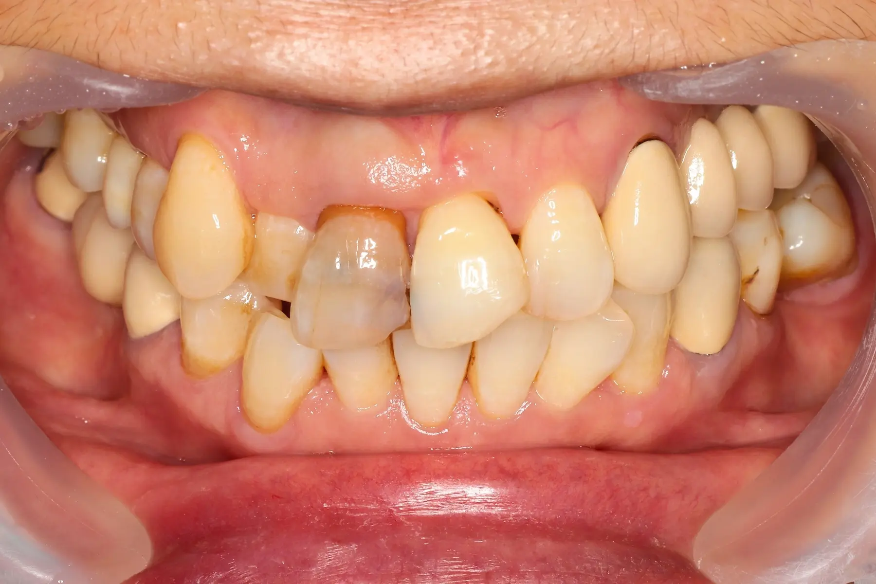
  • 噴砂美白_術前
    噴砂美白_術後

    牙齒美白/噴砂美白

    主治醫師
    • 劉鎮豪
    治療時間
    單次療程
    主訴
    牙齒黑黑的不美觀,希望改善牙齒色澤
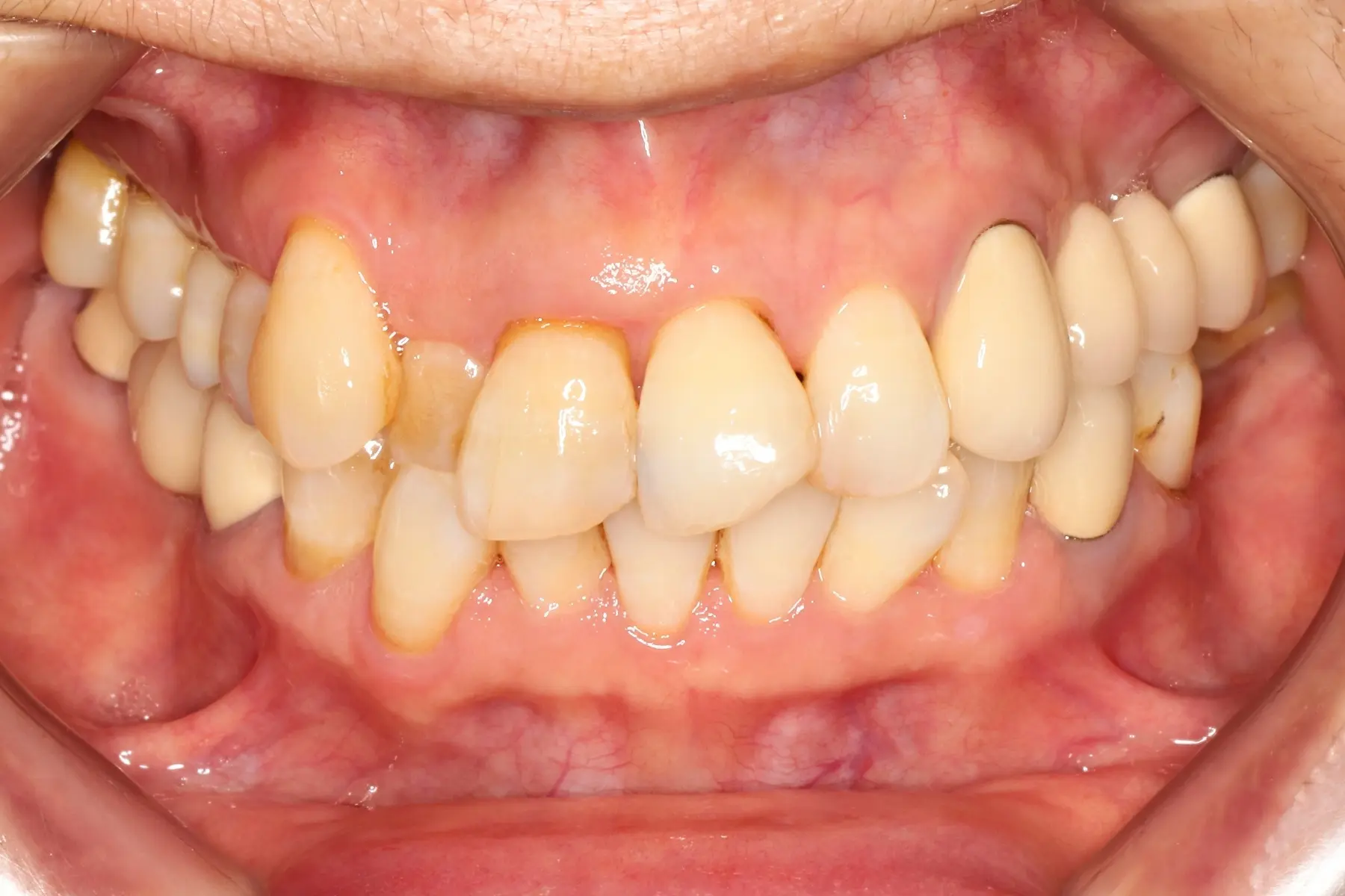
  • 噴砂美白_術前
    噴砂美白_術後

    牙齒美白/噴砂美白

    主治醫師
    • 劉鎮豪
    治療時間
    單次療程
    主訴
    牙齒黑黑不好看,影響美觀
  • 噴砂美白_術前
    噴砂美白_術後

    牙齒美白/噴砂美白

    主治醫師
    • 郭曉蔓
    治療時間
    單次療程
    主訴
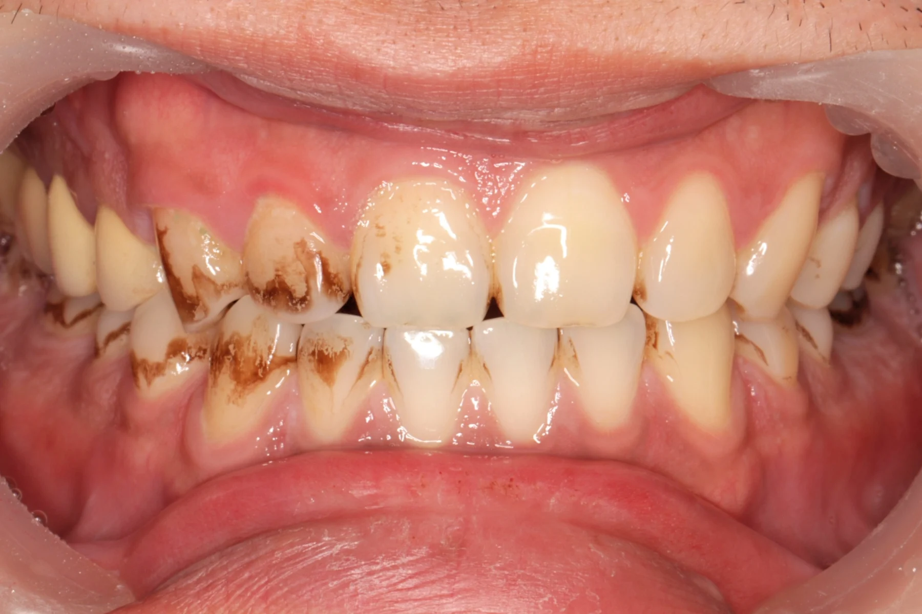
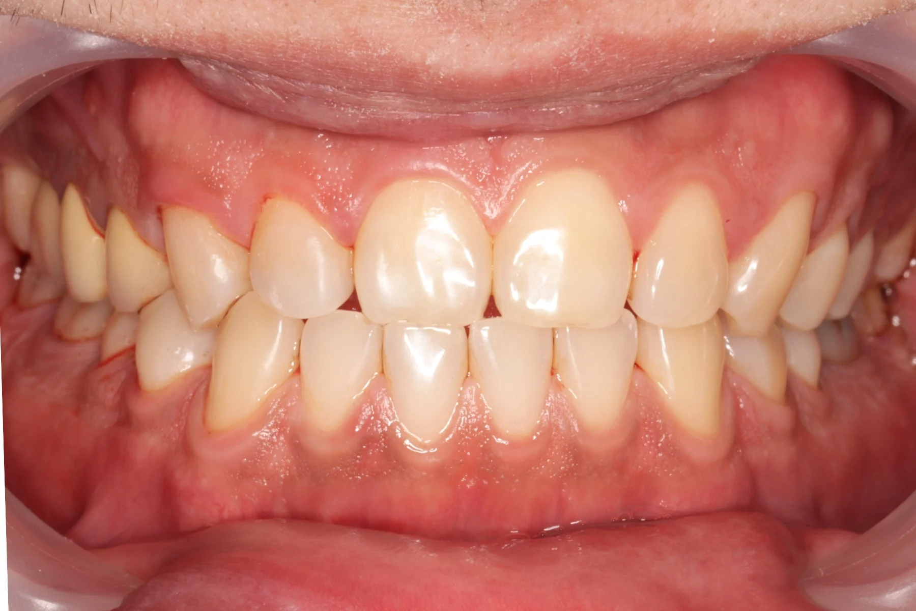
    牙齒表面有明顯菸垢與檳榔染色,影響外觀,期望改善外觀並作為戒菸的契機
  • 噴砂美白_術前
    噴砂美白_術後

    牙齒美白/噴砂美白

    主治醫師
    • 余子豪
    治療時間
    單次療程
    主訴
    上下門牙容易卡色素,看起來黑黑的、覺得不美觀

精選案例

Bd Go
Bd Go Mobile
Footer House
Logo

About

關於我們

Branch

體系分院

Treatment

診療項目

Case

案例分享

Team

樂的團隊

Clinic Hours

門診時間

Contact us

聯絡我們