齒顎矯正/自鎖式矯正

22歲的W小姐在日常生活中時常感到咬東西不順,外加嘴型略凸,讓她對自己的外觀越來越在意。除了希望笑起來更自然、自信,她也擔心長期咬合不正會影響口腔健康。於是她決定前往診所諮詢,希望能改善咬合、嘴凸的問題。

患者基本側寫

姓名| W小姐
年齡| 22
主訴 嘴凸、開咬、咬合不正、磨牙
治療需求 改善嘴凸、恢復正確咬合功能

治療內容

主治醫師|
  • 陳彥宏
診療項目|
  • 齒顎矯正
治療時間| 約2年11個月
治療步驟

1.初診檢查:醫師檢查時發現顳顎關節可能有功能異常的問題,左側特別有明顯的磨耗感,目前最大張口度約為兩指寬,顯示關節活動度有限,判斷可能與開咬情形有關。
2.拔牙創造空間:拔除四顆智齒創造空間,有助於牙齒移動與排列。
3.矯正治療:患者選擇金屬自鎖式矯正器做矯正治療。
4.骨釘輔助:於左上與右上植入骨釘,搭配矯正裝置拉動整個上排牙齒往後移動,有效改善咬合問題。
5.完成矯正:歷時2年11個月療程結束,接著製作並配戴維持器,維持牙齒穩定狀態,避免回復原位。

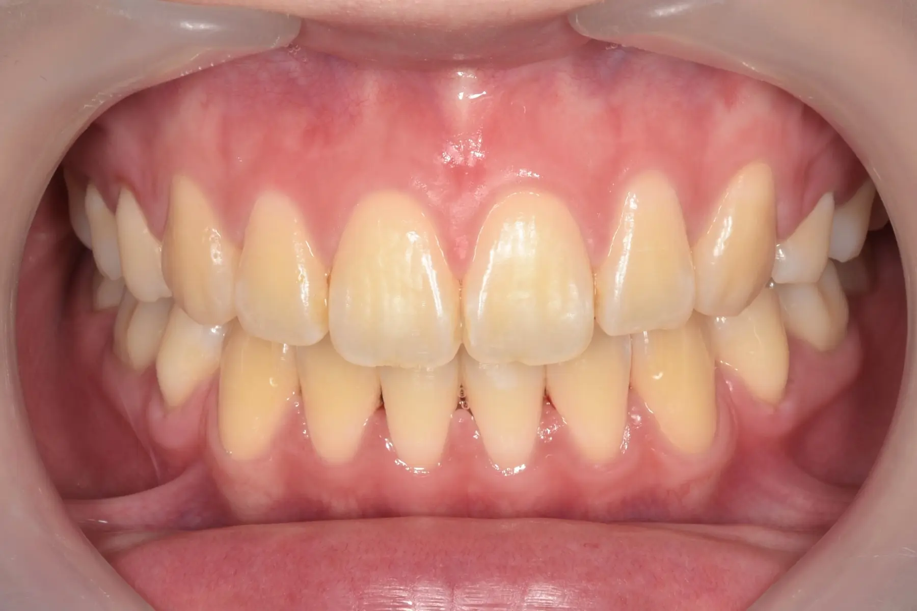
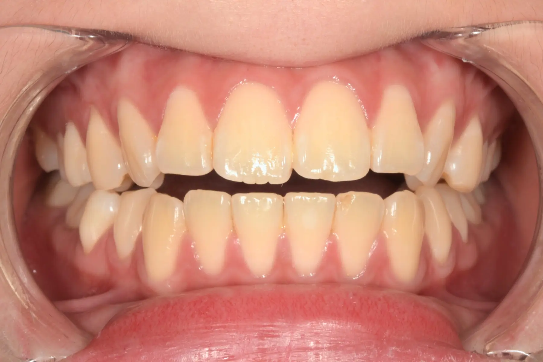
術前術後對比

自瑣式術前
自瑣式術後

患者治療心得

剛開始只是覺得咬不緊,沒想到是開咬,還被醫師發現左側關節有磨耗問題,說不定是顳顎關節出了狀況,當下真的有點緊張。但陳醫師很細心解釋治療流程,也有說明萬一關節不舒服會立刻停下矯正治療先處理顳顎關節問題,所幸最後關節沒有太大的不適。整個過程拔了智齒、植入骨釘,雖然偶爾會覺得辛苦,但療程結束後,咬合真的變得非常順,牙齒也變整齊了,真的讓我很開心!

醫師建議

1. 若發現張口受限、咬合不正或磨耗異常時,建議及早就醫檢查評估。
2. 維持器須全天配戴,特別是治療初期,幫助牙齒穩定新位置,避免位移。
3. 定期回診追蹤,檢查口內狀況。
4. 維持良好口腔習觀,刷牙時搭配牙線清潔,避免食物殘渣堆積滋生細菌。

適應症/禁忌症/處置優缺點

Ad Back
Bd Go
Bd Go Mobile
Footer House
Logo

About

關於我們

Branch

體系分院

Treatment

診療項目

Case

案例分享

Team

樂的團隊

Clinic Hours

門診時間

Contact us

聯絡我們