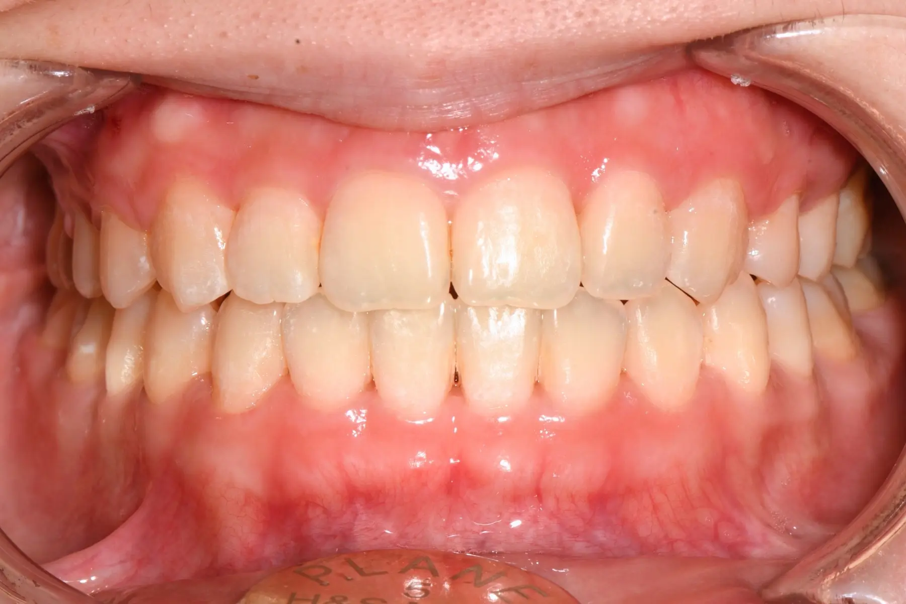
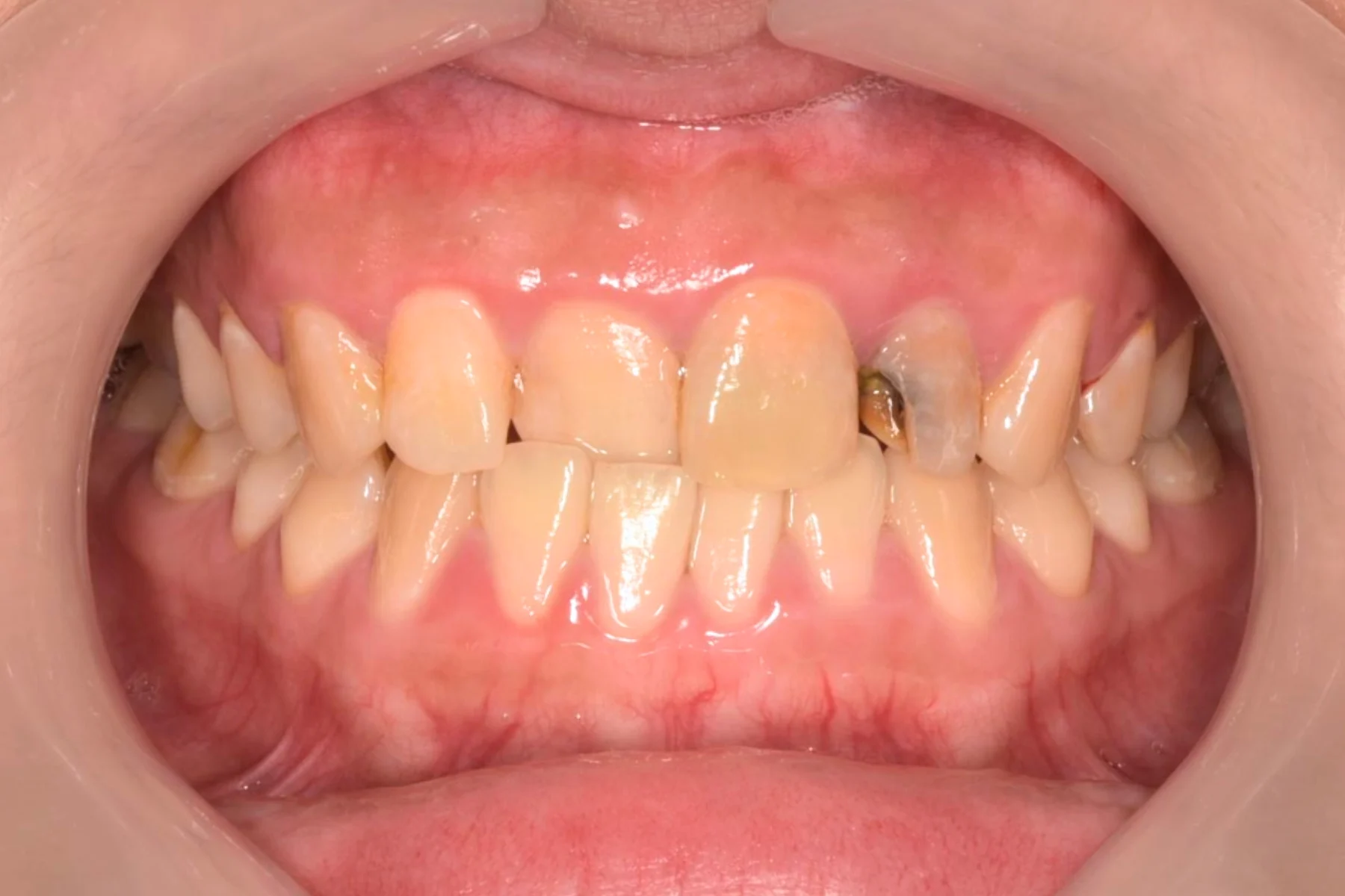
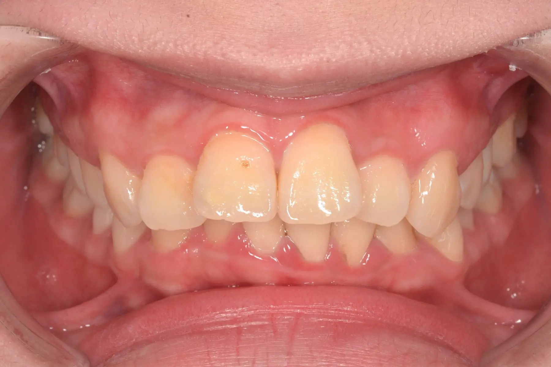
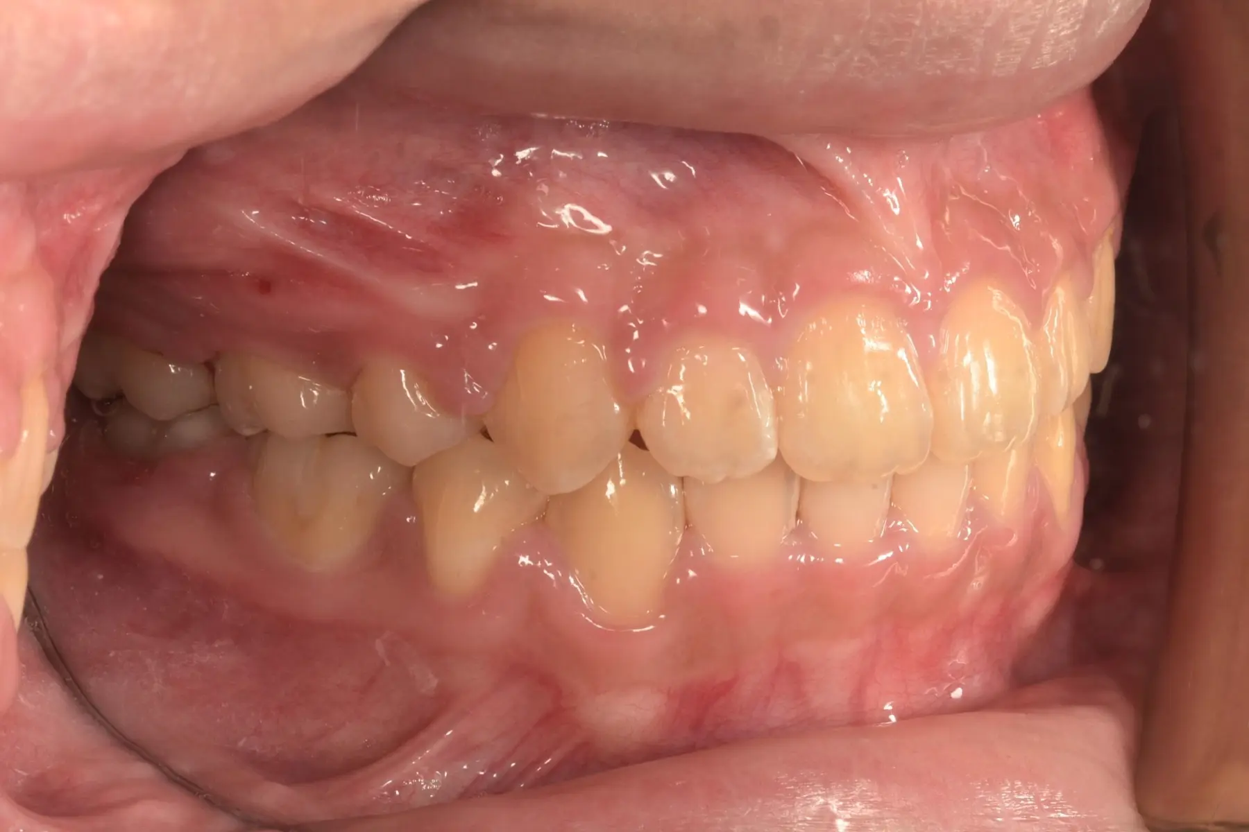
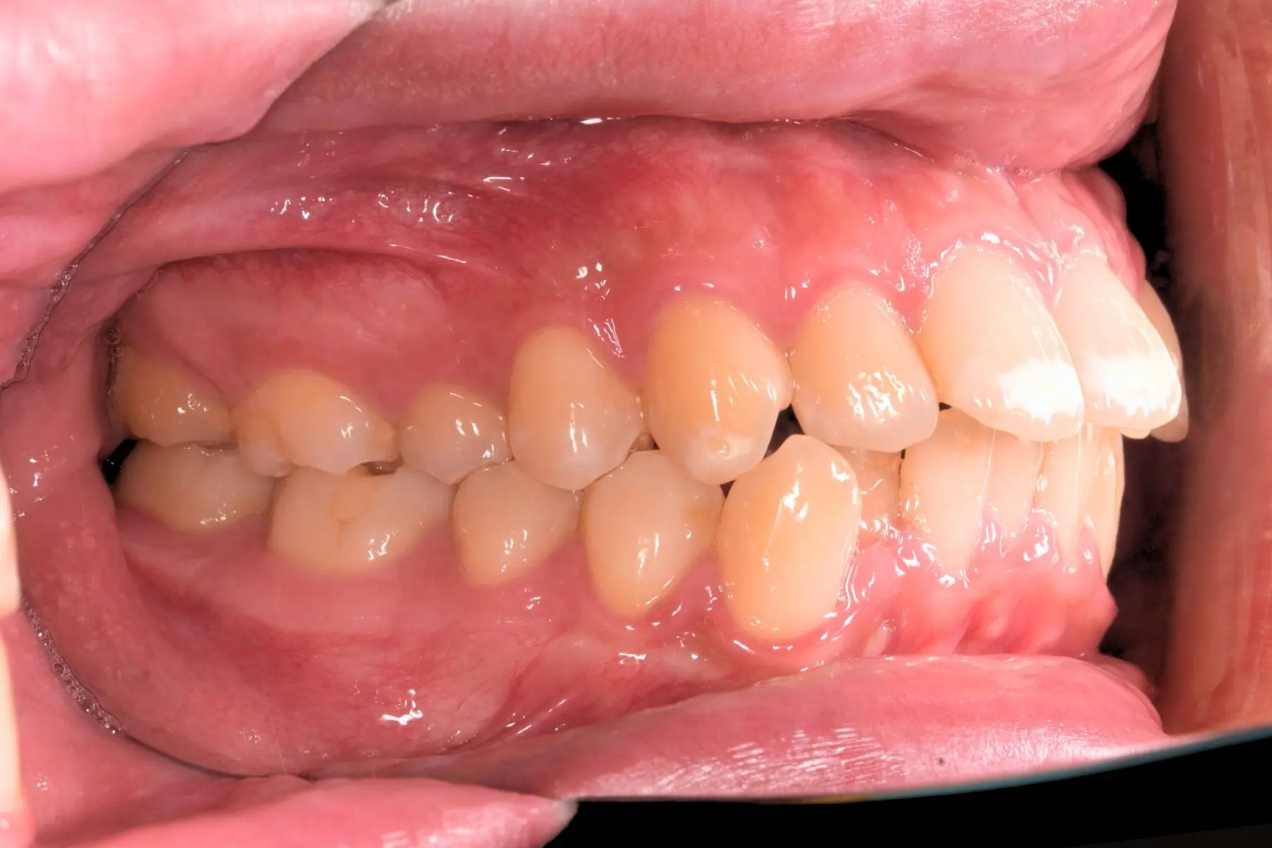
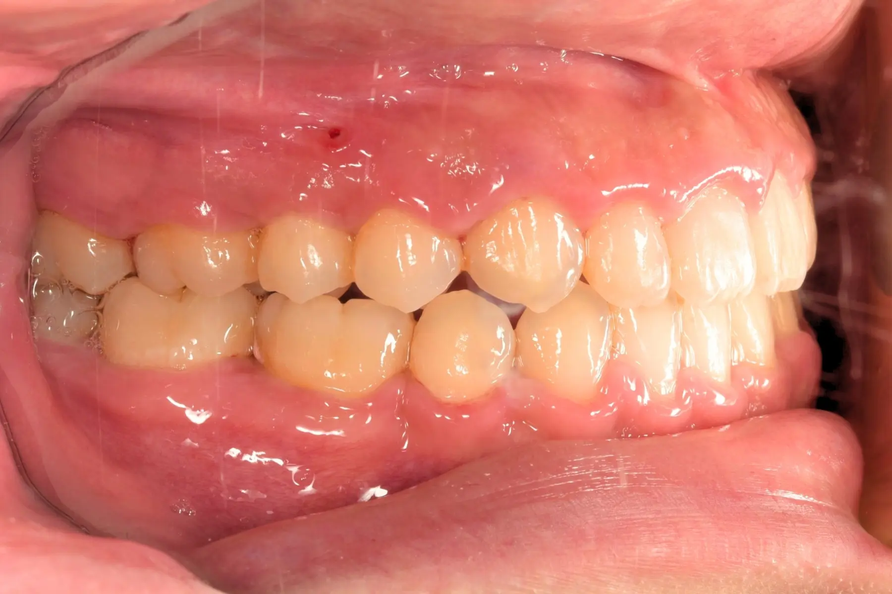
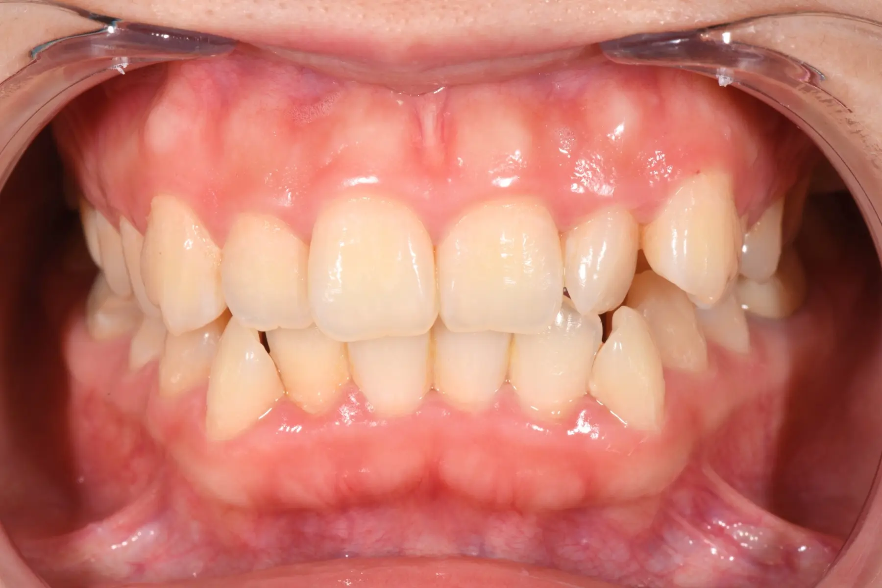
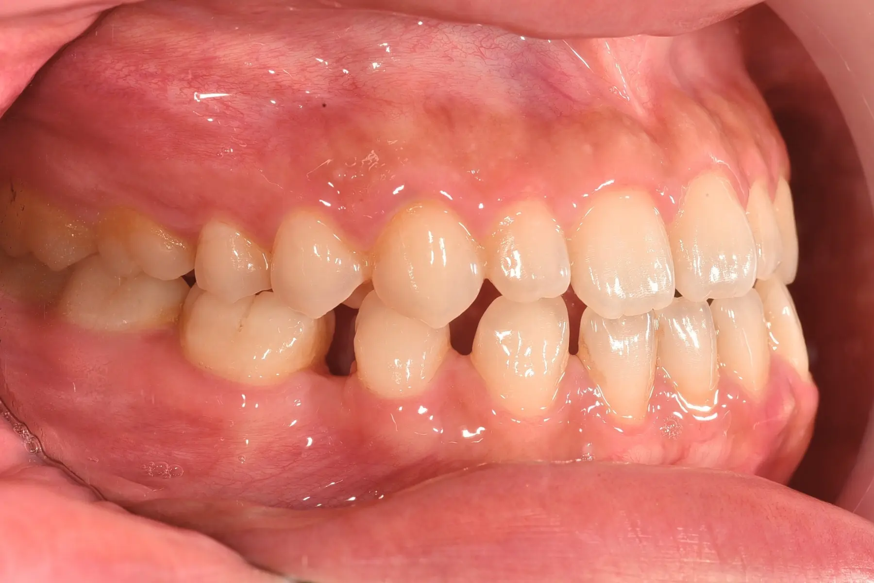
Orthodontics 齒顎矯正 什麼是齒顎矯正? 齒顎矯正的特色 矯正流程 常見牙齒矯正原因 齒顎矯正注意事項 常見問題 相關院所 相關案例 精選案例 相關文章 01 什麼是齒顎矯正? 齒顎矯正是利用固定或活動的矯正裝置,來調整排列不整齊的牙齒、及上下顎骨生長過度或發育不足,所引發的咬合功能不良與美觀間題。常見齒顎矯正器種類分為固定式自鎖式矯正、隱形矯正。 什麼是自鎖式矯正? 相較傳統矯正器外型更加美觀、舒適的矯正器 自鎖式矯正器以其獨特的滑蓋式設計特點,對於牙齒的矯正力道大幅縮小,讓舒適性提升,成效也比起傳統矯正來得更佳。這種矯正方法不僅可以實現理想的牙齒排列,還讓整個治療過程更加輕鬆和方便。 02 齒顎矯正的特色 1、提升牙齒美觀: 牙齒不整齊使嘴唇不能閉合或下巴前伸等,同時,如果牙齒不齊,與人交談、開懷大笑時就會露出難看的牙齒,齒顎矯正能提高牙齒和面部之間的整體平衡和協調性,健康、整齊的一口牙齒也能增強一個人的自信心。 2、維持口腔健康: 牙齒排列不整齊,很容易導致食物嵌塞、牙結石堆積,牙齒錯位易形成刷牙盲區,長期下來就會引起齲齒、牙齦炎、牙周炎等口腔疾病。齒顎矯正讓牙齒變得更好清潔、方便,恢復口腔健康。 3、增強牙齒咀嚼功能: 咀嚼功能不佳會間接影響腸胃吸收,引起消化不良、胃腸道疾病等,矯正器來讓牙齒間移動到最佳位置,改變排列提升增強咀嚼功能。 4、防止咬合創傷: 牙齒不整齊會導致咬合的力量不平均,給牙齒帶來損傷。進行牙齒矯正,使咬合力量達到均衡,避免咬合創傷。 5、改善其他口腔功能: 不整齊的牙齒造成發音不標準、說話不清晰、嘴唇不能閉合等問題……牙齒矯正將會改善這類問題。 03 矯正流程 STEP 1. 初診諮詢 矯正諮詢當次我們會暸解您的主訴困擾,以及想改善的部份,並會由醫師親自口內評估確認,給予您適合的矯正治療建議。 STEP 2. 資料搜集 近一步資料搜集時,首先會使用數位儀器搜集患者口腔資料,如:拍攝口內/人像照片、全口X光、側顱X光以及電腦斷層,並使用iTero數位口掃機取得3D口腔影像。 STEP 3. 矯正報告 醫師將進一步分析口內詳細資訊,規劃專屬矯正治療計畫,並與您做最終治療計畫確認討論,達成治療目標共識。 STEP 4.矯正前治療 矯正治療前,醫師會針對您的口內狀況做整體性評估,確認是否有蛀牙、牙周病或其他牙齒問題,若有需要我們將先安排您治療口內其他牙齒問題。 STEP 5.裝矯正器 醫師依照治療計畫正式黏著矯正器,正式開始進行矯正治療,並教導矯正刷牙清潔、日常常見問題與維護方式。 STEP 6.按時回診 後續每4-6週進行回診,由醫師確認矯正進度並調整矯正。 04 常見牙齒矯正原因 齒列擁擠: 常見情形牙齒與牙齒過度重疊、凌亂、缺牙空間不足重建等。 深咬: 上排牙齒覆蓋下排牙齒程度過深。 戽斗或反咬: 正常咬合為上排牙齒在前下排牙齒在後,戽斗反要情形為下排牙齒在前,並有下巴角度凸出過長等情形。 牙縫過大: 牙齒與牙齒間牙縫空隙過大,造成不美觀或是食物易嵌塞。 錯咬: 上下排牙齒咬合相反錯位,造成咬合異常問題或不穩定情形。 開咬: 上下排前牙切端沒有接觸,造成上下排間牙齒間空隙,長影響進食習慣、美觀甚至臉型外觀。 05 齒顎矯正注意事項 矯正前評估時建議多和醫師討論您的矯正訴求,醫師都會很樂意協助並可依照您的需求加以經評估確認適合的治療計畫。 有些嚴重的異常咬合常伴有上下顎骨相對位置的異常,經評估可能會建議齒列矯正治療合併正顎手術,才能達到理想治療效果。此時會建議轉診或會診口腔外科或顱顏外科醫師評估,並進行合併正顎手術齒顎矯正治療。 所以找到一位專業可信賴的牙醫一起制定明確的矯正計劃,包括預期的矯正時間和每次檢查的時間表。這有助於確保矯正過程的順利進行唷! 06 常見問題 Q1.矯正牙齒會痛嗎? 可能在治療的每個新階段,會有幾天短暫的輕微不適感,通常在配戴後幾天內,不適感會慢慢減輕,不過因為每個人的痛感跟忍受力不一樣。如果真的很不舒服,建議可以與您的醫師討論。 Q2.牙齒矯正年齡有限制嗎? 一般來說,牙齒矯正的年齡並沒有明確的限制。矯正治療可以在不同年齡階段開始,包括兒童、青少年和成年人。因此,矯正治療的最佳時機可能會因個人的牙齒問題和口腔健康狀況而異,建議先預約諮詢做全口檢查並讓醫師評估擬定治療計畫。 Q3.通常牙齒矯正要花多少時間? 每個人的情況都不一樣,矯正時間上醫師也要依個別情況詳細診斷分析,才能找到最適切的矯正方式及計劃。對於複雜的牙齒問題,例如嚴重的牙齒不齊、咬合問題或牙齒移位,可能需要1~2年以上的矯正時間,有時甚至更長,牙齒矯正的旅程需要持之以恆的耐心,以確保獲得最佳的矯正結果。 Q4.牙齒矯正的黃金時期是什麼時候? 口腔衛生保健及牙齒矯正,從求學階段培養正確觀念。牙齒矯正的黃金時期在 7-12 歲時,也就是兒童換牙階段開始,家長應從孩子求學階段時期開始培養起正確的牙齒口腔保健、齒顎矯正觀念。選擇適合的矯正時機,選用各種不同的矯正裝置,來治療各種齒顎發育異常的不正咬合。 當然現在牙齒矯正不在是小朋友的專利,現在的人越來越重視牙齒矯正,牙齒矯正除了美觀之外還有很多優點,基本上有這類需求的人都可以矯正。 Q5.矯正維持器要戴多久? 矯正完畢,把矯正器拆掉之後,牙齒其實還不是那麼穩定,要讓它維持在理想的狀態,還需要不斷戴維持器牙套,讓牙齒穩定的排列在新位置上,以防牙齒復原到牙齒矯正以前的位置。一般來說牙齒矯正完最少需要配戴維持器1~2年,還需視每個人的狀況。 相關院所 樂陽牙醫診所 樂沃矯正牙醫診所 又青牙醫診所 樂心牙醫診所 相關案例 齒顎矯正/自鎖式矯正 主治醫師 陳彥宏 治療時間 約2年6個月 主訴 戽斗、口呼吸、齒列不整 齒顎矯正/自鎖式矯正 主治醫師 陳彥宏 治療時間 約2年5個月 主訴 嘴凸、虎牙高位、笑齦、齒列不整 齒顎矯正/自鎖式矯正 主治醫師 陳彥宏 治療時間 約3年9個月 主訴 上門牙凸,下排牙齒亂 齒顎矯正/自鎖式矯正 主治醫師 陳彥宏 治療時間 約2年10個月 主訴 嘴凸、齒列不整、口呼吸 齒顎矯正/自鎖式矯正 主治醫師 陳彥宏 治療時間 約3年11個月 主訴 門牙牙縫大、有戽斗 齒顎矯正/自鎖式矯正 主治醫師 陳彥宏 治療時間 約4年 主訴 牙齒不整齊、上嘴唇前凸 精選案例 【牙科矯正案例】犬齒高位與牙齦萎縮的整合治療|自鎖式矯正結合牙根覆蓋術 2026-04-17 【牙科矯正案例】因齒列不整而不敢笑?自鎖式矯正重拾自信笑容 2026-03-05 【牙科矯正案例】改善齒列不整與深咬問題,重建穩定咬合與自然笑容 2026-01-16 【牙科矯正+前牙修復案例】從牙齒健康出發,讓矯正成果更穩定、更美觀 2025-12-15 【牙科修復案例】從意外斷牙到重拾笑容,結合矯正與美學重建的全方位治療 2025-11-24 【牙齒矯正案例】把握青春期矯正,鄰面去釉不拔牙也能創造空間 2026-03-30 相關文章 牙齒矯正一般要多久?影響矯正時間的4大關鍵因素 2025-09-05 齒列不整不只影響外觀? 牙齒排列不整齊會怎麼樣嗎? 2025-09-05 齒顎矯正治療後注意須知 2026-01-12 矯正牙齒痛、隱適美一天戴多久?牙齒矯正問題解答及維護指南 2025-09-05 美食是很多人生命中不可或缺的精神糧食,到底牙齒矯正期間飲食要注意什麼呢? 2025-09-05 口腔衛教:傳統牙齒矯正及隱形矯正原理+需要矯正的原因 2025-09-05