牙齒美白/噴砂美白

W小姐是一位37歲的業務,平時工作忙碌、應酬場合也不少。因為長期有抽菸與嚼檳榔的習慣,讓她的牙齒漸漸染上一層深淺不一的黃褐色。在朋友推薦下,她來到我們診所,希望能透過牙齒美白改善外觀。初診時,她的訴求很明確:「我不需要一口亮白到發光的牙,只希望看起來乾淨自然就好。」

患者基本側寫

姓名| W小姐
年齡| 37
主訴 牙齒表面有抽菸、嚼檳榔造成的外部染色,影響外觀與自信
治療需求 恢復牙齒本色,希望笑容更加乾淨亮白

治療內容

主治醫師|
  • 楊明憲
診療項目|
  • 噴砂美白
  • 牙齒美白
治療時間| 單次療程
治療步驟

1.醫師諮詢與檢查:經由醫師判斷,確認W小姐牙齒變色為外源性染色,主要因為長期抽菸及嚼檳榔造成,牙齒本質健康,無需進一步漂白處理。
2.規劃噴砂區域:根據W小姐的牙齒狀況與個人需求,醫師規劃「全口噴砂美白」,包含上下前牙及後牙的內側與外側區域,提升整體視覺清潔感。
3.噴砂處理:採用非侵入性的噴砂美白技術,透過高壓空氣將碳酸氫鈉細粉與水霧均勻混合,形成強勁細緻的水柱,精準地清除牙齒表面的沉積色素與牙菌斑。

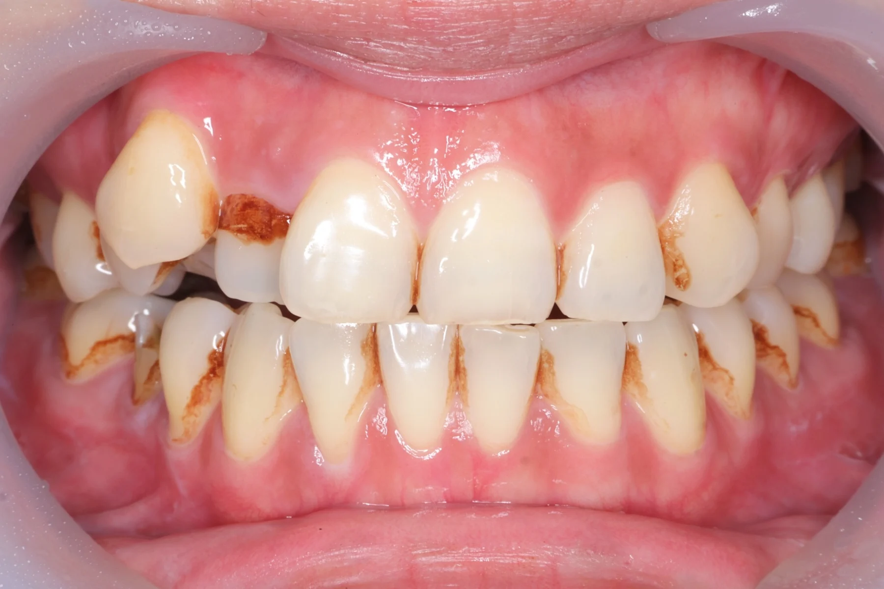
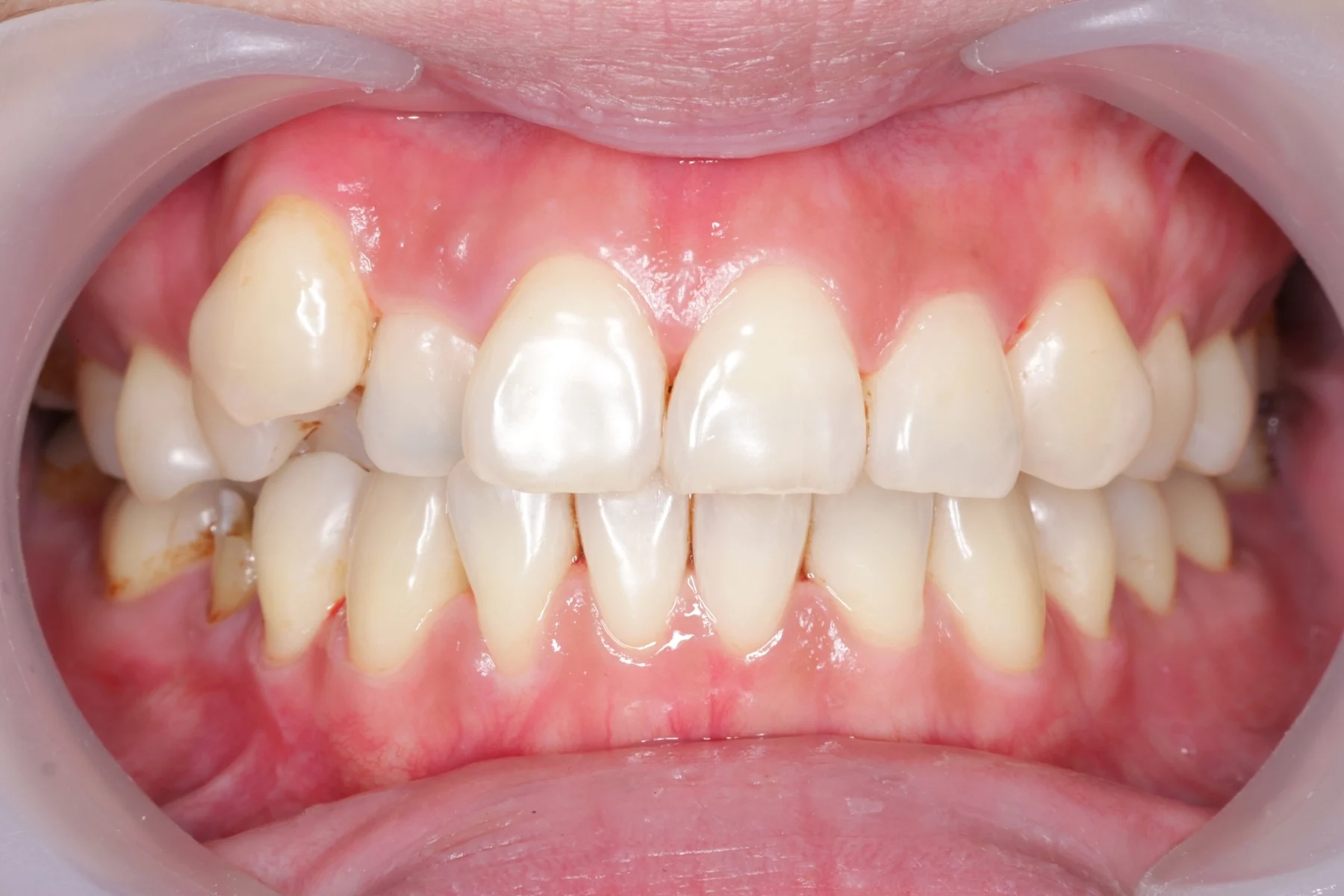
術前術後對比

噴砂美白_術前
噴砂美白_術後

患者治療心得

原本真的很介意自己牙齒的顏色,不管多努力刷牙,黃黃的外觀還是讓我很沒自信。這次做完噴砂美白後,連朋友都說我看起來氣色變好了,笑起來也更自然。療程過程中醫師很有耐心,操作也很溫和,沒有不舒服的感覺。現在終於可以放心大笑,不再遮遮掩掩,真的很感謝!

醫師建議

1. 定期每半年回診,檢查口腔狀況。
2. 避免菸品與檳榔,降低再次染色風險。
3. 減少深色飲食(如咖啡、茶、紅酒)與良好刷牙習慣。
4. 若染色情況再度出現,可評估進行局部或全口再次噴砂美白。

適應症/禁忌症/處置優缺點

Ad Back
Bd Go
Bd Go Mobile
Footer House
Logo

About

關於我們

Branch

體系分院

Treatment

診療項目

Case

案例分享

Team

樂的團隊

Clinic Hours

門診時間

Contact us

聯絡我們