仿生全瓷牙

31 歲的H小姐從事設計相關工作,平時生活忙碌、作息不固定。對她來說,牙齒只要不痛就好,偶爾有點不適也習慣先忍耐觀察看看。前陣子她曾覺得左上後牙咬東西會痠痛,但過幾天自行緩解,她便沒有特別在意。沒想到近期左上臉頰突然腫脹起來,還伴隨明顯的熱熱脹脹感,甚至連說話與咀嚼都感到不舒服,才驚覺情況不對,趕緊到診所檢查。

患者基本側寫

姓名| H小姐
年齡| 31
主訴 左上牙齒痛,進一步造成臉部腫脹
治療需求 改善牙齒疼痛問題,並恢復自然的牙齒外觀

治療內容

主治醫師|
  • 鍾國耀
診療項目|
  • 仿生全瓷牙
治療時間| 6次療程
治療步驟

1. 初診評估:經檢查發現,左上第一大臼齒原本曾做過根管治療,但後續因蛀牙或密合度問題再次受到細菌感染,導致牙根尖發炎化膿,並進一步引發早期蜂窩性組織炎,這也是造成臉部腫脹的主因。為避免感染擴散,當下先以藥物控制,讓腫脹情況穩定下來。
2. 顯微根管重新治療:待發炎控制後,安排顯微根管重新治療。在顯微鏡輔助下,將原本複雜且可能殘留細菌的根管系統重新清潔、消毒,盡可能清除感染源。此階段共進行三次療程,並於每次治療後觀察發炎反應是否逐步改善。
3. 發炎情況追蹤:透過回診與影像追蹤,確認根尖區域紅腫逐漸消退,疼痛感也明顯緩解,牙齒狀態回穩後,再進入重建階段。
4. 柱心補強牙齒結構:由於牙齒本身齒質已受損,為提升結構強度,先以柱心補強牙齒結構,讓後續假牙有穩固支撐。
5. 牙齒修磨與印模:牙齒進行精細修磨後印模,製作客製化全瓷冠,確保密合度與咬合穩定。
6. 全瓷冠裝戴:試戴全瓷冠並調整咬合與邊緣密合度。確認沒問題後,正式黏著全瓷牙冠,恢復自然度高、色澤穩定的前牙外觀。
7.回診追蹤:確認牙齒咬合穩定、牙齦健康,並拍攝術後影像紀錄。

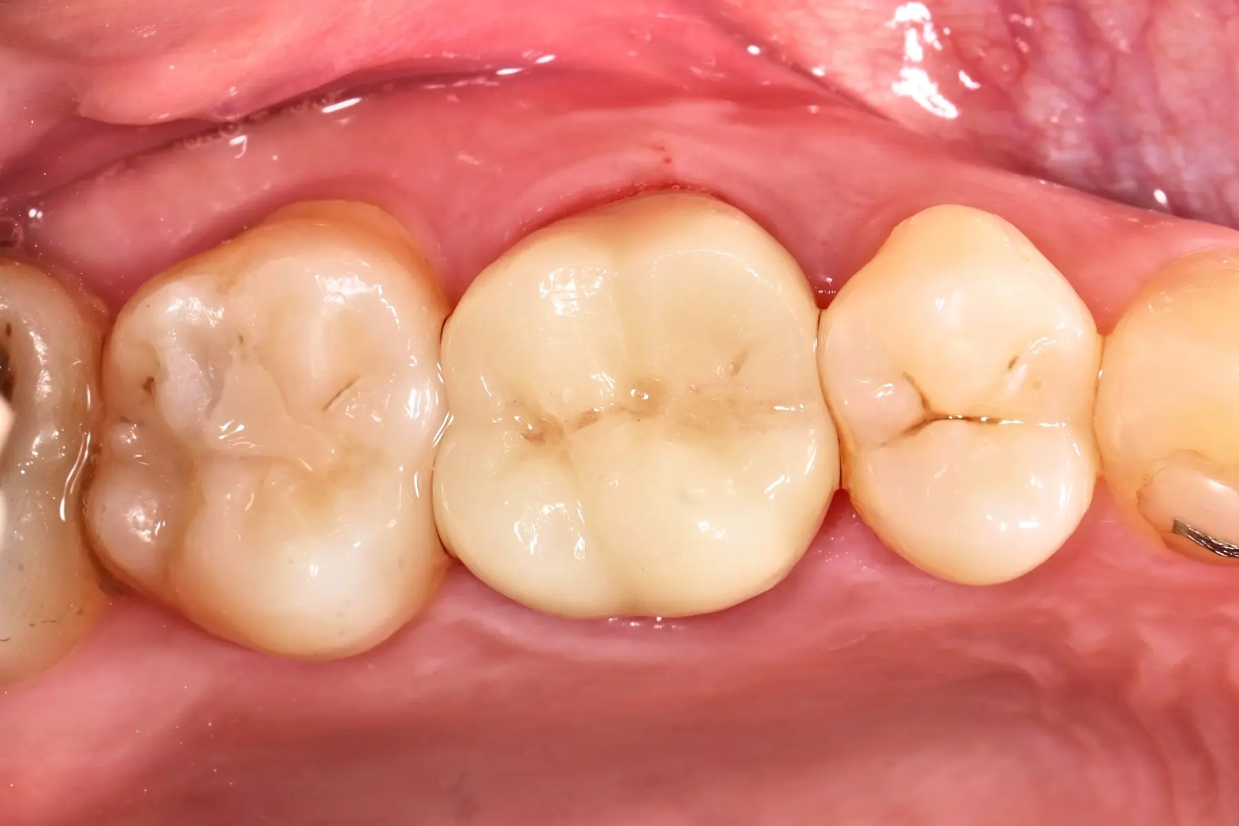
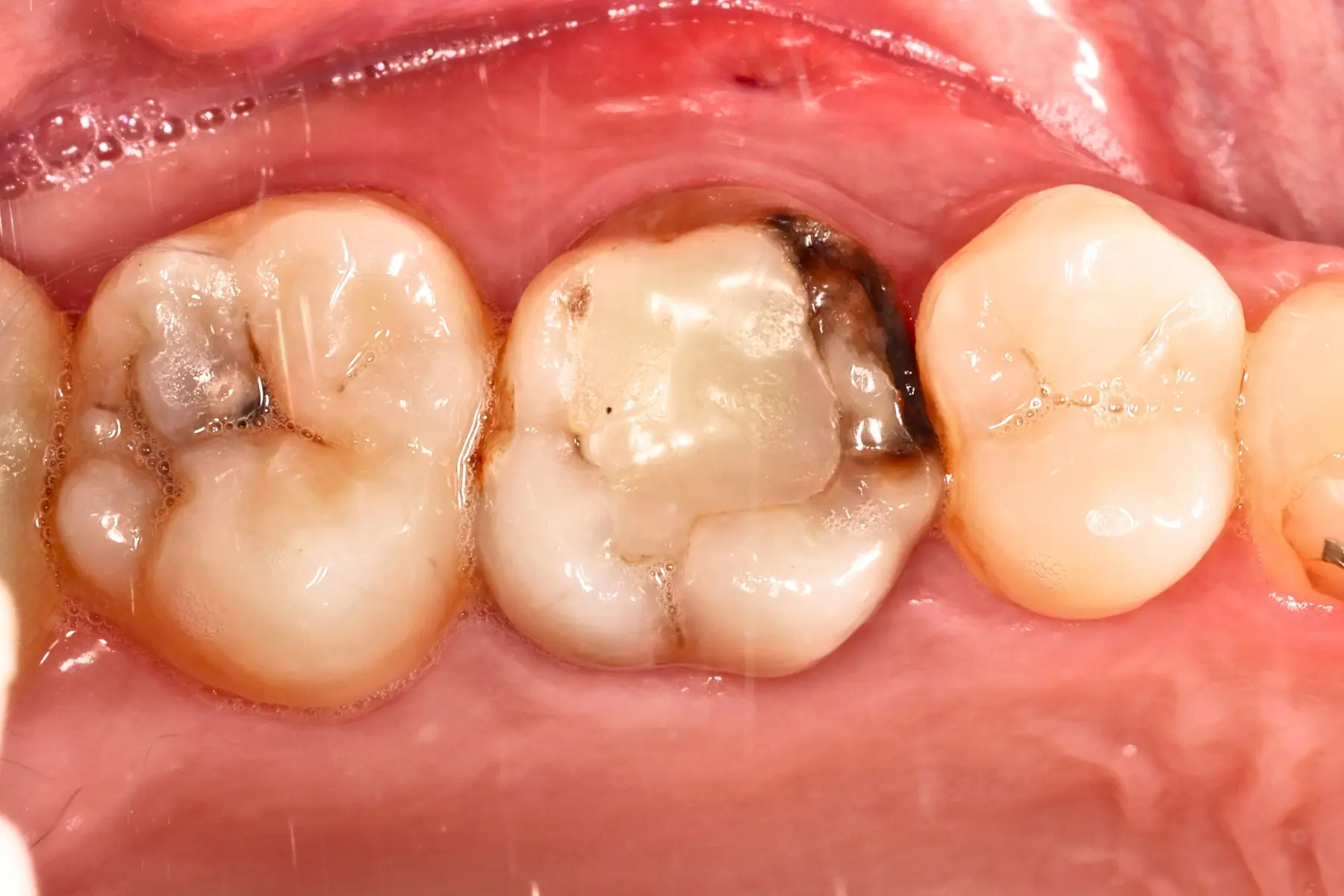
術前術後對比

術前 45
術後 43

患者治療心得

H小姐表示,一開始只是短暫牙齒痛,沒想到會演變成臉部腫脹,當下其實非常害怕。經過鍾醫師說明後才知道原來是之前做過根管的牙齒再次感染。治療過程雖然需要分次完成,但每次回診都能感覺腫脹慢慢消退,疼痛也明顯減輕。完成全瓷冠後,牙齒使用起來穩定自然,終於能安心咀嚼。這次經驗讓她深刻體會到,牙齒問題不能拖延,越早處理越能避免更嚴重的後果。

醫師建議

1. 雖然全瓷牙冠的材質強度高,還是要避免咬太硬的東西,可延長使用時間。
2. 維持良好刷牙習慣與使用牙線清潔。
3. 建議每半年定期回診,檢查整體口腔狀況。

適應症/禁忌症/處置優缺點

適應症

  • 前牙缺角、斷裂:因外力、咬硬物或舊有補牙材料脫落導致前牙缺角、崩裂的情況。
  • 改善牙齒外觀:想調整門牙比例、修飾過短或過小的牙齒,打造更和諧美觀的牙齒。
  • 牙齒變色或形狀不良:如四環黴素染色、根管治療後牙齒變色、過去舊填補樹脂染色等,可透過假牙冠改善。

禁忌症

  • 嚴重咬合不正或習慣磨牙者:假牙冠承受過大咬合力或持續磨耗,容易斷裂或脫落。
  • 嚴重牙周病未治療者:假牙製作需建立在穩定的牙周環境上,若結構不穩可能造成牙冠鬆動。
  • 口腔清潔習慣不佳者:容易造成假牙邊緣蛀牙或牙齦發炎,降低成功率。

治療優點 

  • 生物相容性佳: 不刺激牙齦,較不易引起過敏或牙周問題。
  • 客製化齒色:先由醫師評估判斷較接近其他顆自然牙的齒色,若患者想要較白或自然一點的齒色都可以和醫師討論客製化齒色
  • 耐用度高:正常使用下,假牙冠使用壽命長,不易變色或磨損。
  • 功能與美觀兼具:可同時改善牙齒顏色、形狀、長度與排列比例,達到微笑曲線的最佳化。
  • 表面光滑:不易附著牙菌斑,牙齒與牙齦邊緣更容易維持清潔。

治療缺點 

  • 費用較高:相較於樹脂補牙與一般美白方式成本較高,屬於中高價位療程。
  • 有破裂或脫落風險:若受到外力撞擊、啃硬物(如咬骨頭、冰塊),仍可能破裂或脫落。
  • 需修磨牙齒:製作假牙冠需修磨較多原生牙。
  • 對清潔有要求:若清潔不佳,貼片邊緣仍可能產生蛀牙或牙周問題。

本內容未涉及療效保證,實際效果依個人狀況而異,治療前請諮詢專業醫師。

 

Ad Back
Bd Go
Bd Go Mobile
Footer House
Logo

About

關於我們

Branch

體系分院

Treatment

診療項目

Case

案例分享

Team

樂的團隊

Clinic Hours

門診時間

Contact us

聯絡我們