阻生智齒處理
Tooth Autotransplantation
Detail Title Line

自體牙移植

什麼是自體牙移植?
Menu Arrow
治療原理及特色?
Menu Arrow
治療流程?
Menu Arrow
適用對象?
Menu Arrow
注意事項?
Menu Arrow
Menu Arrow
常見問題
Menu Arrow
相關院所
Menu Arrow
相關案例
Menu Arrow
精選案例
Menu Arrow
相關文章
Menu Arrow
01
Detail Content Line

什麼是自體牙移植?

大多數人遇到缺牙問題時,第一個想到的通常是人工植牙。事實上,還有另一種治療方式——自體牙移植。自體牙移植是指將患者自身健康但無作用的牙齒,移植到缺牙或需要拔除的位置上。例如,拔下沒有功能的智齒,移植到因蛀牙或牙裂需要拔除的大臼齒區。因為使用的是患者本人的牙齒,所以可像正常牙齒一樣進行矯正或其他治療。

自體牙移植1

02
Detail Content Line

治療原理及特色?

自體牙移植是一種利用自身牙齒來修復缺牙的治療方式。當某顆牙齒因外傷、嚴重蛀牙或其他疾病需要拔除時,醫師會從患者口中挑選出健康的牙齒(最常見的是智齒),將其移植到缺牙的位置。

治療特色與優點:

  • 保留天然的牙齒:移植的牙齒是自然牙,能保有天然的牙齒結構和可進行矯正治療。
  • 節省成本:相比人工植牙,自體移植牙齒的費用較低,適合希望控制治療預算的患者。
  • 適合青少年:對於青少年而言,自體牙移植會比植牙更合適,因爲骨骼仍在發育,植牙不一定是適合的選項。

自體牙移植2

03
Detail Content Line

治療流程?

1.術前評估:使用電腦斷層與口腔數位掃描,評估可移植牙齒與缺牙區的狀況。並預先製作移植牙的模型,用以模擬與調整移植空間。
2.拔除牙齒:拔除損壞的牙齒並清理移植區域。
3.自體牙移植:將預先製作的模型放進拔牙區的牙床空間,調整並修整牙床空間的形狀,讓它能剛好容納移植牙。接著拔下可移植的牙齒,植入缺牙位置,再透過鋼線固定,讓牙齒穩定。
4.根管治療與假牙贋復(需要時進行):根據牙齒狀況,醫師可能會進行根管治療,以確保牙根健康與長期穩定;待牙齒癒合穩定後,會再進行假牙贋復,恢復完整的咬合與外觀功能。
5.後續追蹤:定期回診,由醫師檢查牙齒穩定度、牙周狀況、是否有牙根吸收的情況。

自體牙移植3

04
Detail Content Line

適用對象?

  • 有替代牙(如智齒、多生牙)可移植至缺牙區的患者。
  • 因嚴重蛀牙、外傷導致牙齒缺失者。

自體牙移植4

05
Detail Content Line

注意事項?

  • 移植牙齒與接受區必須條件合適,並非所有患者都能進行。
  • 術後需要保持正確的口腔清潔習慣避免感染。
  • 治療初期避免咀嚼硬物,以免影響牙齒穩定。
  • 自體牙移植並非百分之百成功,仍需定期追蹤與調整。
  • 若術後移植牙失敗,仍可能需考慮人工植牙作為替代方案。

自體牙移植5

06
Detail Content Line

常見問題

相關院所

  • Map Icon 5

    樂沛牙醫診所

  • Map Icon 3

    樂陽牙醫診所

  • Map Icon 1

    又青牙醫診所

  • Map Icon 2

    樂心牙醫診所

相關案例

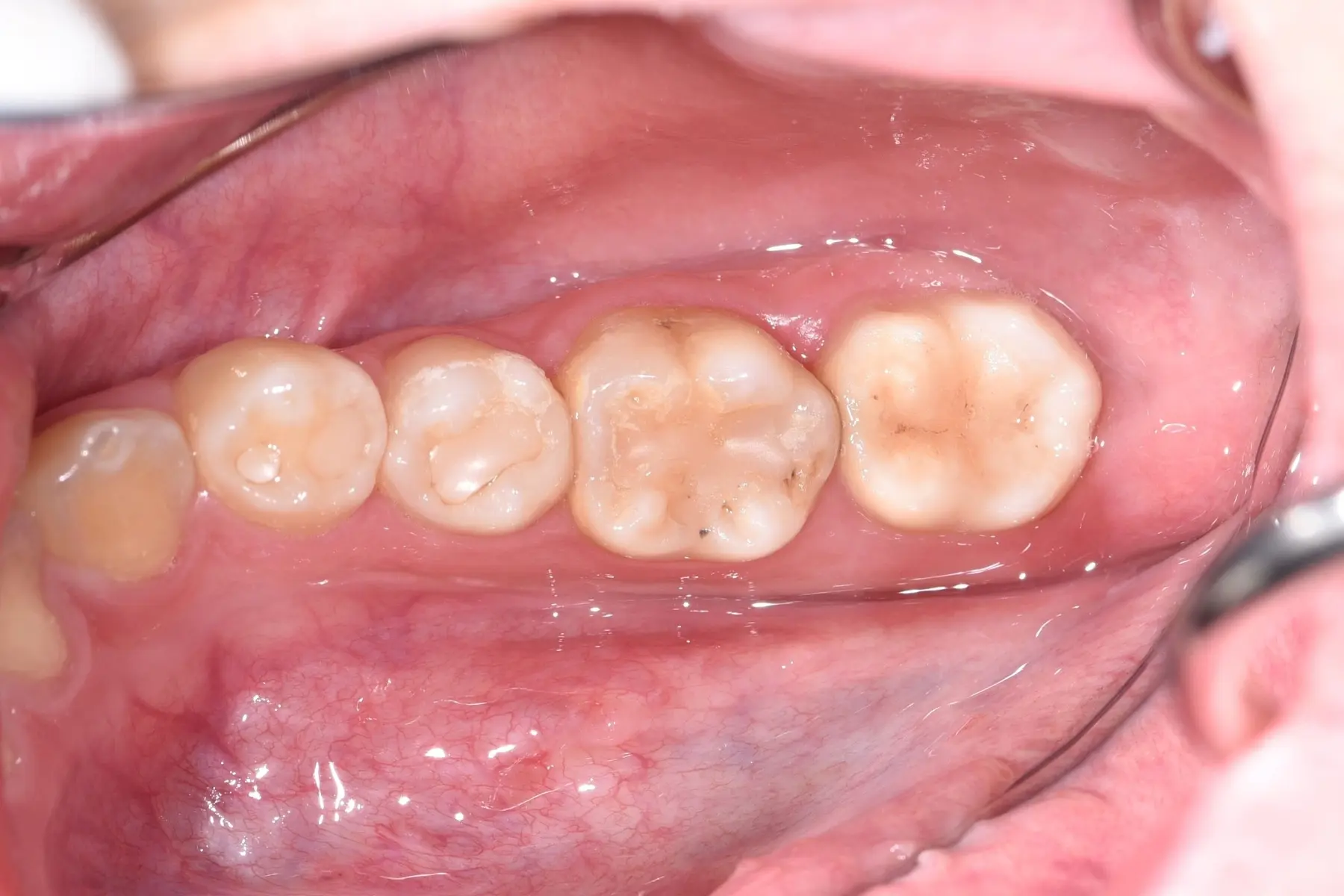
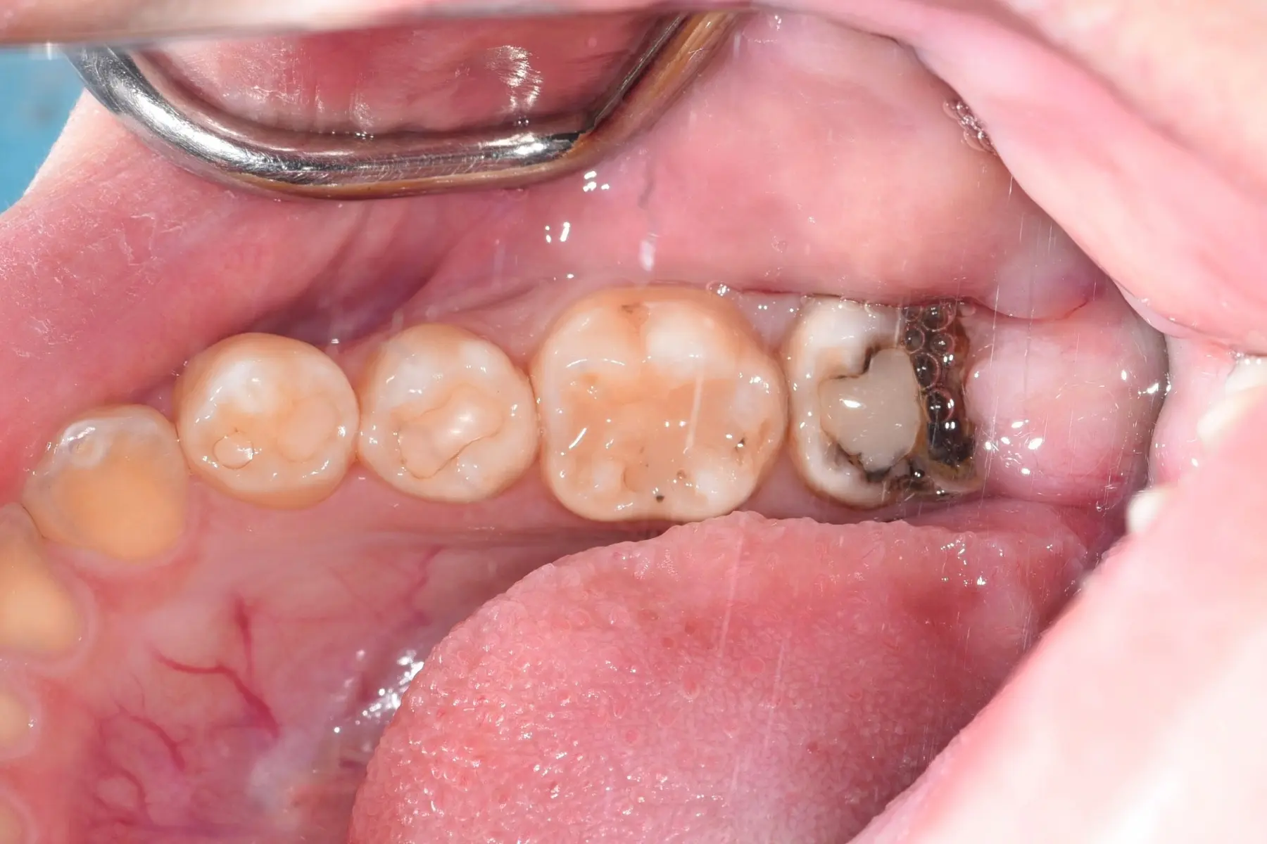
  • 自體牙移植術前
    自體牙移植術後

    口腔外科/自體牙移植

    主治醫師
    • 林明志
    治療時間
    單次療程
    主訴
    矯正治療前發現牙齒嚴重蛀牙,無法保留

精選案例

Bd Go
Bd Go Mobile
Footer House
Logo

About

關於我們

Branch

體系分院

Treatment

診療項目

Case

案例分享

Team

樂的團隊

Clinic Hours

門診時間

Contact us

聯絡我們