矯正案例-嘴凸

 嘴突 – 不拔牙案例

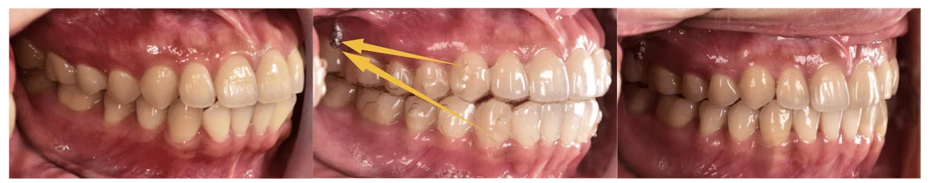
  黃色箭頭指的是從牙齒拉橡皮筋到骨釘

 

矯正前上下唇矯正前皆超過鼻尖與下巴連線,嘴巴看起來暴暴的
矯正後上下唇皆在鼻尖與下巴連線之後,看起來就不會暴暴的了

 
矯正期間:二年一個月
在牙齒不亂、嘴巴微暴的案例中,透過骨釘可以將齒列向後退,讓前牙內收,達成改善嘴突的效果在此
類案例配戴隱適美配合骨釘幫忙,能達到排齊牙齒並顯著改善臉型!

 

 嘴突-拔牙案例


矯正前看起來嘴巴突、鼻子塌、下巴後縮,矯正後嘴巴變平、鼻子下巴也都變更立體
將矯正前後的照片疊在一起會發現鼻子與下巴位置其實都沒變,唯一變化就是嘴巴向後退縮了
 
矯正期間:二年三個月

原本上下前牙前後落差超過1.5公分,矯正後已經能夠順利接觸, 矯正前的左圖,嘴巴較翹,閉嘴時因
為下巴需要用力,所以下唇會往外翻,右圖矯正後,側臉臉型變得更順暢
 

暴牙是最常見的矯正原因之一,上下前牙前後落差太大會導致上唇翹翹的,甚至下唇外翻,有的人看
起來會沒下巴,這個案例透過隱適美與骨釘的幫助,將上排齒列整體向後退,除了咬合更好,側臉的
臉型也更漂亮了!

Bd Go
Bd Go Mobile
Footer House
Logo

About

關於我們

Branch

體系分院

Treatment

診療項目

Case

案例分享

Team

樂的團隊

Clinic Hours

門診時間

Contact us

聯絡我們