早期矯正–金屬矯正器與MRC肌肉功能訓練
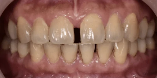
傳統矯正器(金屬矯正器)
傳統矯正器(金屬矯正器)的原理是利用金屬將每顆牙齒固定,並透過小橡皮圈或鐵絲線來幫助牙齒移動,透過矯正線施加外力將牙齒推向特定方向,以達到牙齒矯正的效果,治療通常需要18-24個月,依每個人的狀況不同而訂。
Myofunctional Research Co.
兒童金屬矯正器與MRC肌肉功能訓練
研究指出兒童過敏、流鼻水、磨牙甚至牙列不整、咬合不正, 可能與兒童的吞嚥和呼吸方式以及其他不良的口腔習慣造成的。
肌肉功能訓練包含了MRC功能訓練器以及肌肉功能訓練課程, 主要是矯正不良的口腔習慣,包含口呼吸、不正確的舌位及不正確的吞嚥方式、甚至不良站姿, 配合訓練呼吸及舌頭臉頰嘴唇的運動,進而改善臉部的發育與牙齒排列。




