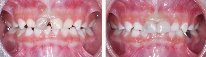
兒童乳牙前牙樹脂牙冠

前牙嚴重的蛀牙會需要用牙冠保護起來,樹脂牙冠比較容易剝落,也比較無法遮住底下的顏色!
兒童乳牙後金屬牙冠

蛀牙範圍過大或是做過根管治療的乳牙,以選擇以金屬牙冠的方式保護!雖然顏色較不美觀但是非常耐用,可以保護到換恆牙,與乳牙一起脫落。
兒童乳牙後牙全瓷牙冠

蛀牙範圍過大或是做過根管治療的乳牙,以選擇以全瓷牙冠方式保護! 牙齒顏色的全瓷牙冠顏色美觀也很耐用!
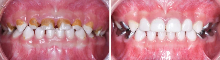
兒童乳牙前牙全瓷牙冠

前牙嚴重的蛀牙會需要用牙冠保護起來,全瓷牙冠一體成型比較堅固也比較美觀!


前牙嚴重的蛀牙會需要用牙冠保護起來,樹脂牙冠比較容易剝落,也比較無法遮住底下的顏色!

蛀牙範圍過大或是做過根管治療的乳牙,以選擇以金屬牙冠的方式保護!雖然顏色較不美觀但是非常耐用,可以保護到換恆牙,與乳牙一起脫落。

蛀牙範圍過大或是做過根管治療的乳牙,以選擇以全瓷牙冠方式保護! 牙齒顏色的全瓷牙冠顏色美觀也很耐用!

前牙嚴重的蛀牙會需要用牙冠保護起來,全瓷牙冠一體成型比較堅固也比較美觀!