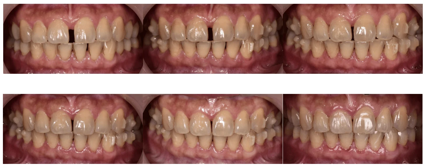
前牙牙縫案例 矯正期間:六個月 一般民俗觀念認為前牙牙縫大會漏財,如果牙齒沒有太大的問題,牙縫大將會是一種比較單純的矯正案例,此案例上下門牙都有很大的縫,透過隱形矯正,只要很快的時間就能將牙縫關閉。 上一篇 文章 矯正案例-齒列擁擠 下一篇 文章 早期矯正-金屬矯正器與MRC肌肉功能訓練器(myobrace)教學分享 相關文章 阻生智齒一定要拔嗎?醫師提醒:不拔恐讓旁邊的牙齒一起報銷!2025-11-10 樂的醫療體系|牙醫助理能力認證考試 — 讓專業成長看得見!2025-10-24 【樂沃矯正諮詢講座活動花絮】解鎖迷人笑容的隱藏技能2025-10-21 About 關於我們 Branch 體系分院 Treatment 診療項目 Case 案例分享 Team 樂的團隊 Clinic Hours 門診時間 Contact us 聯絡我們