滲透型樹脂修復

19 歲的 C 小姐,是一位正享受大學生活的年輕女孩。課堂之外,她喜歡記錄生活,無論是和朋友聚會、旅行,還是日常穿搭,都習慣用相機或手機留下畫面。 只是,在一次次翻看照片時,她總會不自覺把目光停在自己的笑容上。明明表情很自然,卻因為牙齒上白白的色斑,對正值愛美、在意形象的她而言,成了一個小困擾。因為希望笑起來能更自在、更接近自己理想中的樣子,所以C 小姐來到診所,想了解是否有溫和、不傷牙齒的方式,又能改善前牙的外觀。

患者基本側寫

姓名| C小姐
年齡| 19
主訴 想處理前牙白白的色斑
治療需求 改善牙齒外觀

治療內容

主治醫師|
  • 陳昕
診療項目|
  • 滲透型樹脂修復
治療時間| 單次療程
治療步驟

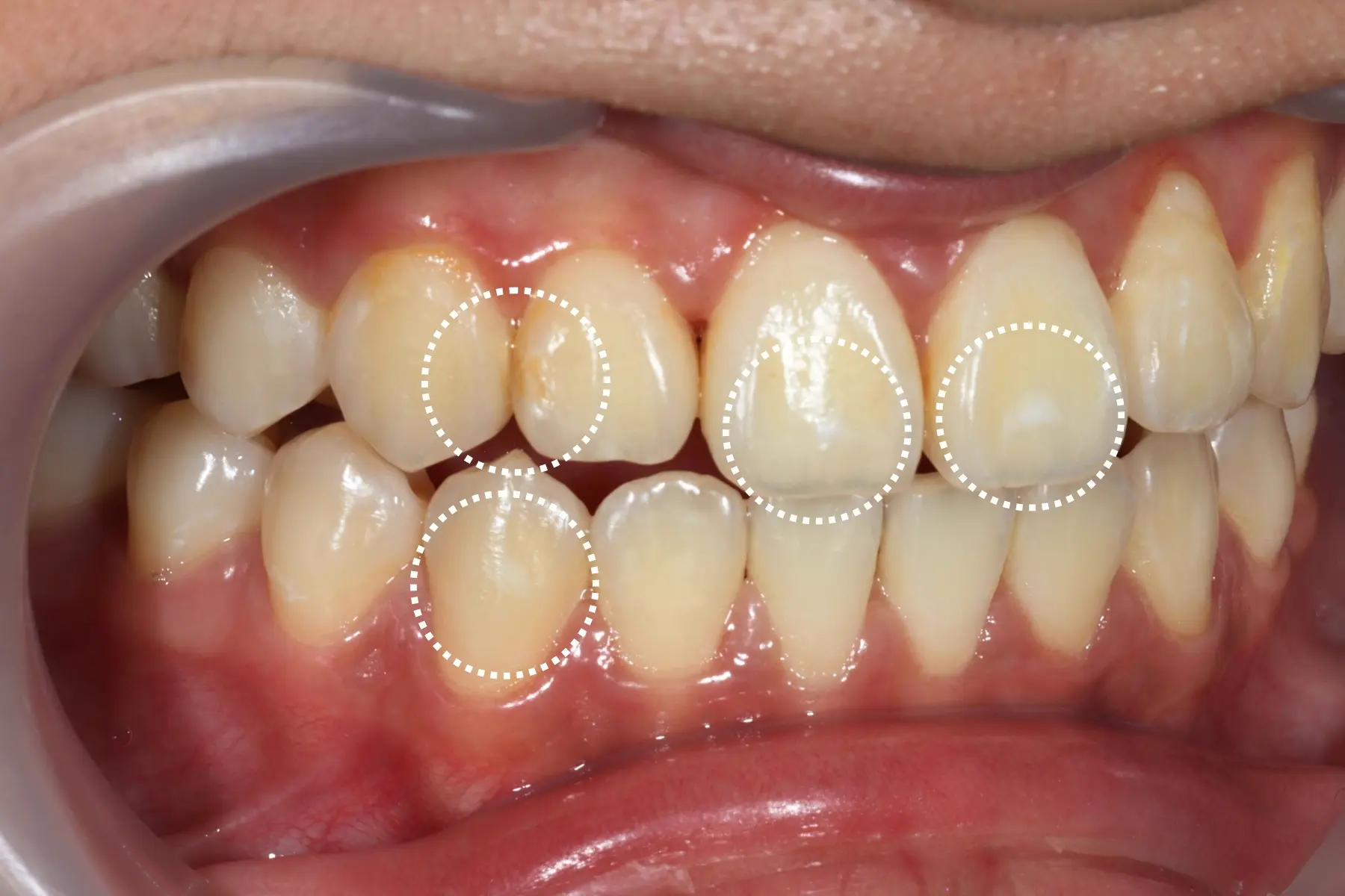
1.初診評估:由醫師進行口腔與牙齒檢查,確認白斑成因為牙齒脫鈣,經醫師評估後,患者適合進行滲透型樹脂修復療程,來改善牙齒外觀。
2.滲透型樹脂修復: 在不修磨牙齒的情況下,將浸潤樹脂深入脫鈣孔隙並使用藍光固化,強化牙齒結構,阻止脫鈣演變成蛀牙,同時淡化白斑色塊,使齒色看起來更均勻自然。
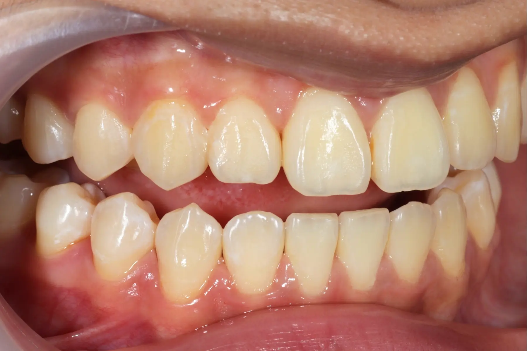
3.術後追蹤:療程完成後安排術後回診,確認術後是否有不適情形,並拍攝照片作為成果治療紀錄。

術前術後對比

術後 41
術前 42

患者治療心得

C 小姐表示:我平常真的很愛拍照,但每次看到照片裡的笑容,前牙那幾塊白白的地方都會讓我忍不住一直看。雖然朋友都說不明顯,但對我自己來說,其實蠻在意的,拍照時也會下意識不敢笑太開。來診所諮詢後,陳醫師很清楚地跟我說明原因,也讓我知道原來不用磨牙就可以改善,心裡真的安心很多。做完之後照鏡子就覺得差很多,牙齒看起來乾淨又自然,現在拍照終於可以想笑就笑,不用再一直在意那幾塊白斑了,真的很開心!

醫師建議

1. 若門牙出現白斑、表面凹陷等問題,應及早到診所由醫師檢查。
2. 治療後需加強口腔清潔,保持正確刷牙習慣。
3. 定期回診,由醫師檢查全口口腔狀況。
4. 若白斑或脫鈣程度較深、影響較大,也可根據情況考慮其他處理方式,如補牙、貼片或全瓷冠,需由醫師綜合評估後選擇最適合的方案。

適應症/禁忌症/處置優缺點

適應症

  • 早期蛀牙的人:適用於初期齲齒(即蛀牙還在牙齒表面),當蛀牙尚未深入牙本質時,可有效阻止病變進一步發展。
  • 牙齒有白斑的人:在矯正器拆除後,有些患者的牙齒表面會出現白斑病變,滲透型樹脂修復可以有效修復這些問題。
  • 怕修磨牙齒的人:滲透型樹脂修復屬於微創技術,無需使用牙科鑽頭,適合害怕傳統補牙的患者,尤其是對牙科治療感到恐懼或緊張的人。
  • 希望牙齒美觀的人:滲透型樹脂修復可改善牙齒白斑或不均勻外觀,效果顯著且立即可見,適合希望快速改善牙齒外觀的患者。

禁忌症

  • 已形成明顯蛀洞或牙質缺損:浸潤樹脂無法穩定滲入大範圍缺損區域。
  • 深層色素沉著或嚴重白斑:白斑或色斑過深時,樹脂無法完全遮蓋,效果有限。
  • 牙齒表面嚴重磨耗、破裂或裂縫:牙齒結構不完整,樹脂無法有效滲入並穩固。
  • 嚴重氟斑牙或全口琺瑯質發育不全:樹脂效果不均,可能無法改善美觀。
  • 牙齦或口腔有活動性感染、嚴重牙周疾病:需先控制感染,避免影響樹脂滲入及長期穩定性。

 

治療優點 

  • 不需磨牙:對牙齒結構損傷極小,保留自然琺瑯質。
  • 改善美觀:可淡化脫鈣性白斑,使牙齒顏色與周圍自然融合。
  • 阻止初期蛀牙惡化:封閉琺瑯質微孔,阻止酸性物質與細菌侵入,減少蛀牙進展。
  • 操作簡單、治療快速:多數治療單顆牙只需一次短時間操作即可完成。
  • 疼痛感低:適合怕痛或不願做侵入性牙科治療的患者。

治療缺點 

  • 效果有限於淺層脫鈣或初期蛀牙:對深層蛀洞或深色斑無法改善。
  • 美觀改善非永久:可能因生活習慣(抽菸、喝咖啡、喝茶)或牙齒色素沉積而出現輕微變色,需要後續維護。
  • 不能完全替代其他修復治療:已有明顯蛀洞、裂縫或牙齒缺損仍需填補、貼片或牙冠修復。
  • 對操作技術要求高:樹脂必須完整滲入微孔,否則可能影響效果。
  • 非健保給付項目需自費

本內容未涉及療效保證,實際效果依個人狀況而異,治療前請諮詢專業醫師。

Ad Back
Bd Go
Bd Go Mobile
Footer House
Logo

About

關於我們

Branch

體系分院

Treatment

診療項目

Case

案例分享

Team

樂的團隊

Clinic Hours

門診時間

Contact us

聯絡我們