前牙美學/仿生美學樹脂

B小姐是一位在銀行上班的主管,每當拍照或與人交談時,她總會習慣性地壓低笑容。原來,她一直為門牙間明顯的黑三角縫感到困擾,黑三角縫影響了整體笑容的美感。經朋友介紹來到診所諮詢,希望可以重回自信笑容。

患者基本側寫

姓名| B小姐
年齡| 52
主訴 露齒笑時黑三角縫明顯,覺得不好看
治療需求 希望改善門牙間黑三角縫隙,重回自信笑容

治療內容

主治醫師|
  • 陳昕
診療項目|
  • 仿生美學樹脂
治療時間| 約兩週
治療步驟

1. 初診評估:醫師先進行完整評估與拍照,釐清黑三角的成因,並說明以美學樹脂關縫的可行性與預期效果。

2. 樹脂填補:使用特殊隔片輔助,在幾乎無修磨牙齒的情況下,以高拋光度、光澤維持性高的仿生美學樹脂關縫,重建自然齒形。

3. 術後回診追蹤:一週後安排追蹤,確認牙齒外觀與色澤,並拍攝術後照片,記錄改善成果。

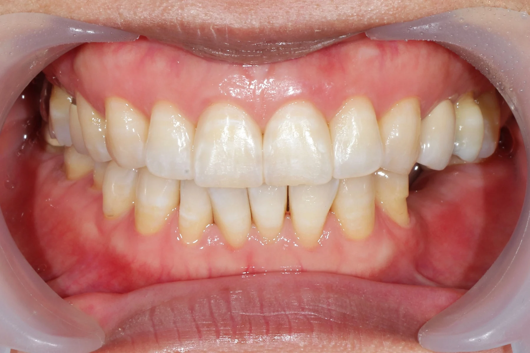
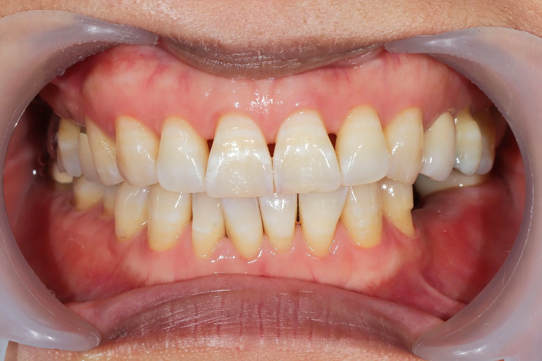
術前術後對比

仿生美學樹脂_術前
仿生美學樹脂_術後

患者治療心得

B小姐表示,以前拍照我總不敢開懷大笑,因為門牙那幾個小縫真的讓我很介意,看起來像牙齒沒清乾淨一樣。透過陳醫師的建議,採用仿生美學樹脂療程,黑三角就這麼自然地不見了,真的很開心!這麼快就解決我長久以來的困擾,現在笑起來很自然,也讓我更加自在、更有自信!

醫師建議

1. 保持良好口腔清潔習慣,搭配牙線清潔,避免再出現新的黑三角縫。

2. 每半年定期回診,由醫師檢查口腔狀況,若有牙齦發炎等清潔上的問題才能及早發現。

適應症/禁忌症/處置優缺點

Ad Back
Bd Go
Bd Go Mobile
Footer House
Logo

About

關於我們

Branch

體系分院

Treatment

診療項目

Case

案例分享

Team

樂的團隊

Clinic Hours

門診時間

Contact us

聯絡我們