兒童牙科/兒童隱適美

「醫師,我覺得我女兒的牙齒怎麼看起來越長越亂?」L妹妹的媽媽在初診時這麼說。其實很多家長都會在孩子大約7~9歲的時候,注意到門牙暴或是牙齒擁擠、長得歪斜,這正是因為乳牙與恆牙交替時期的牙弓尚未發育完全,如果忽略,就可能導致日後咬合不正或牙齒凌亂。所幸L妹妹就診的時間點非常理想,經醫師評估後採用兒童隱適美矯正。

患者基本側寫

姓名| L妹妹
年齡| 8
主訴 家長擔心小孩牙齒凌亂
治療需求 改善牙齒排列與咬合狀況

治療內容

主治醫師|
  • 李峻嘉
診療項目|
  • 兒童隱適美
治療時間| 1年5個月
治療步驟

1. 初步診斷:透過口內數位掃描技術建立3D牙齒影像,完整評估牙弓發育、齒列與咬合問題,並模擬矯正後的效果。
2. 配戴隱形牙套:根據患者的牙齒情況,設計客製化的隱形牙套牙套,每階段逐步推進牙齒移動。
3. 定期追蹤:每1~2週更換新的牙套,並定期回診追蹤牙齒變化,確保計畫精準執行。
4. 矯正完成:歷經1年5個月的矯正,牙齒排列已明顯整齊,並改善咬合問題。
5. 配戴維持器:矯正結束後進入維持期,持續配戴客製維持器,直到恆牙完全長齊,確保治療成果穩定延續。

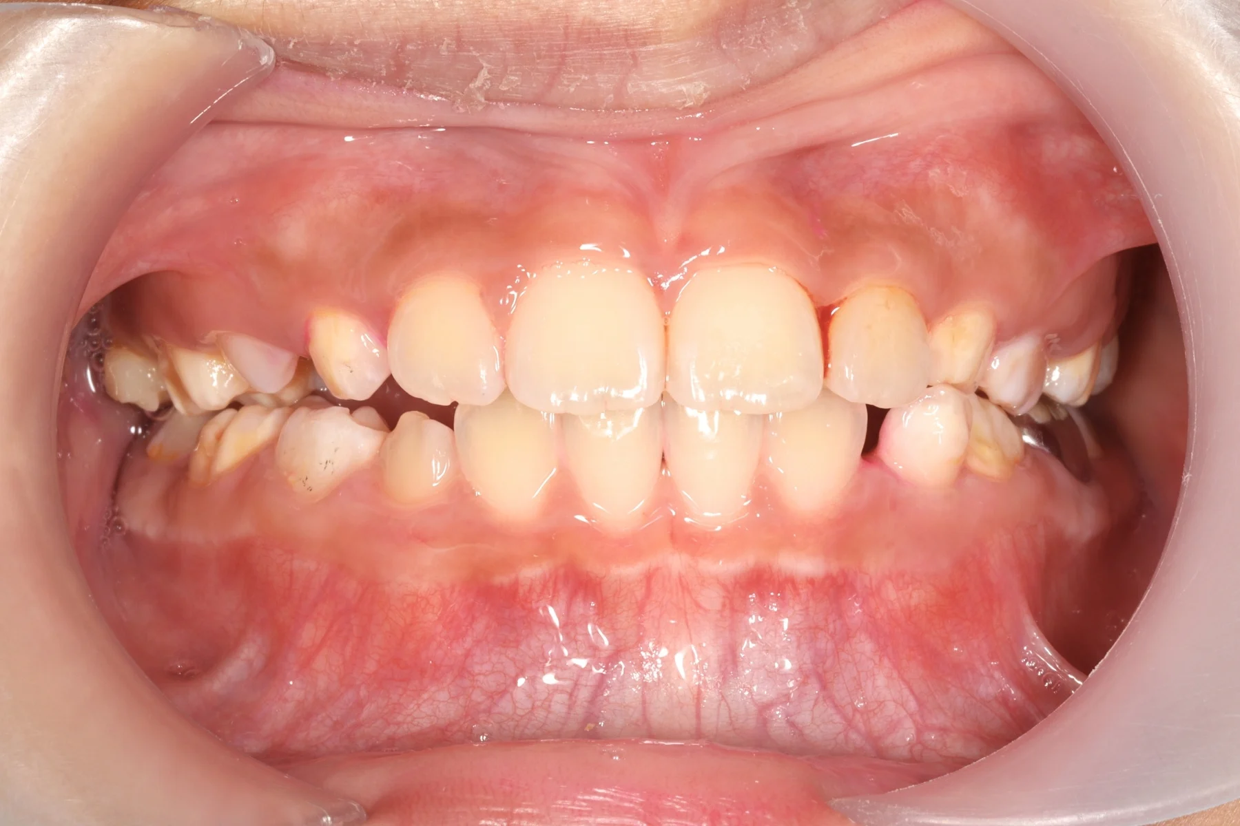
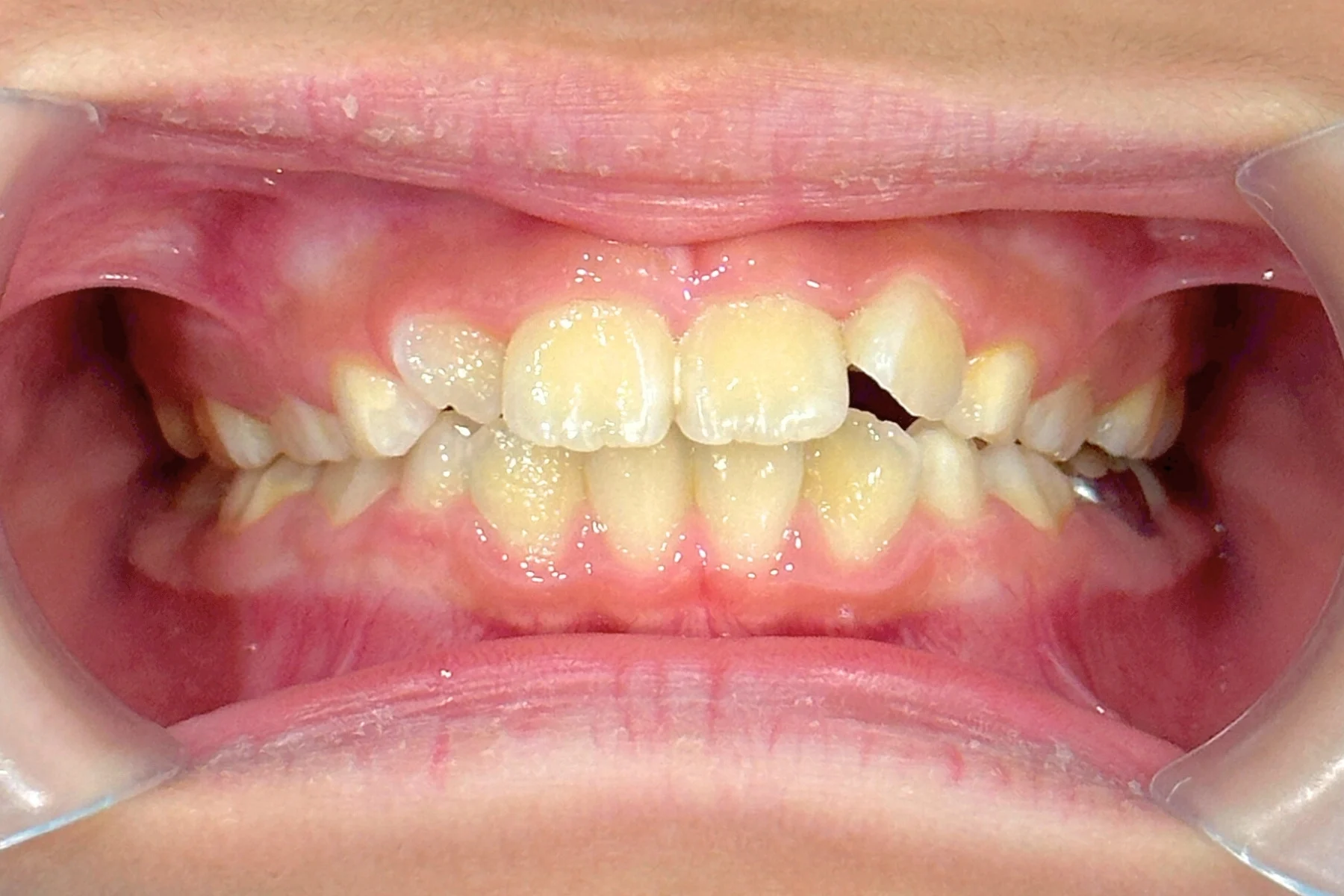
術前術後對比

兒童隱適美_術前
兒童隱適美_術後

患者治療心得

本來只是單純覺得她牙齒怎麼那麼亂,一直想說等長大再說,但聽完醫師的分析後才知道,其實越早介入越能避免後續更多問題。隱適美真的很適合小孩,她戴得也很習慣,也不會影響講話或吃東西,牙套透明、清潔方便,我們也更安心。看到現在她開心笑的樣子,我們真的很慶幸有及早做這個決定。

醫師建議

1. 維持口腔良好清潔習慣,才能避免細菌滋生、牙垢堆積。
2. 矯正完成後,仍需依照醫師指示配戴維持器,直到恆牙完全長齊,才能維持整齊的牙齒排列。
3. 建議每半年回診一次,由醫師檢查口腔狀況。

適應症/禁忌症/處置優缺點

Ad Back
Bd Go
Bd Go Mobile
Footer House
Logo

About

關於我們

Branch

體系分院

Treatment

診療項目

Case

案例分享

Team

樂的團隊

Clinic Hours

門診時間

Contact us

聯絡我們