Dentist

林映汝

齒顎矯正專科醫師
Doctor Line

看診項目

齒顎矯正/隱形矯正/隱適美

學經歷

臺北醫學大學牙醫系學士

衛福部部定齒顎矯正專科醫師

Invisalign隱適美隱形矯正 認證醫師

前國泰醫院牙科部住院醫師

前成大醫院牙科部總醫師

前成大醫院齒顎矯正科總醫師

CASE

Title Line 1

案例分享

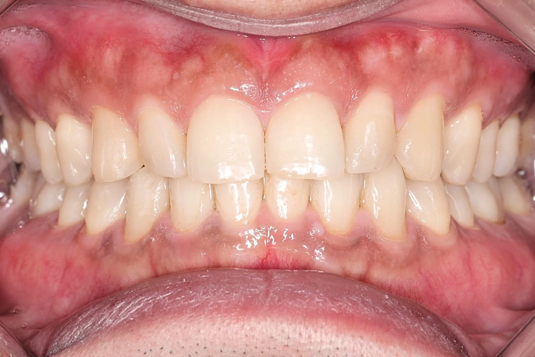
  • 隱適美矯正_術前
    隱適美矯正_術後

    齒顎矯正/隱適美

    主治醫師
    • 林映汝
    治療時間
    約14個月
    主訴
    牙齒排列不整、牙縫較大

FEATURED

Title Line 1

精選案例

Bd Go
Bd Go Mobile
Footer House
Logo

About

關於我們

Branch

體系分院

Treatment

診療項目

Case

案例分享

Team

樂的團隊

Clinic Hours

門診時間

Contact us

聯絡我們