
Dentist
李峻嘉
兒童牙醫專任醫師
看診項目
兒童牙科/兒童早期矯正/鎮靜麻醉輔助牙科治療/肌功能訓練
學經歷
臺北醫學大學牙醫系學士
臺北醫學大學 臨床牙醫研究所 兒童牙科組碩士
臺北醫學大學附設醫院兒童牙科 專科訓練
Invisalign隱適美隱形矯正 認證醫師
MRC肌功能矯正醫師
台灣世界臨床雷射醫學會雷射專科醫師
華民國兒童牙科醫學會會員醫師
中華民國隱形矯正學會會員
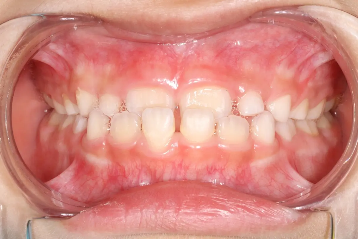
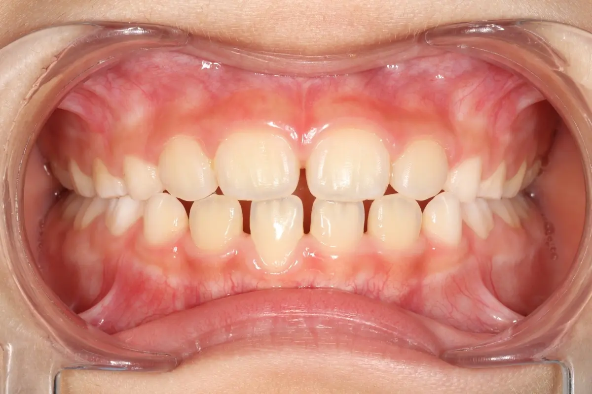
CASE
案例分享
點此載入更多















