兒童口腔衛教-預防蛀牙注意事項

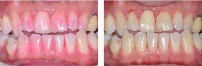
牙菌斑顯示劑

將顯示劑塗抹在牙齒表面,用清水漱口後,殘留在表面的粉紅色斑點就是牙菌斑,牙菌斑會導致蛀牙形成,用正確的刷牙方式,搭配牙線使用,去除牙菌斑就能有效防止蛀牙,並且注意哪些地方是平時不容易清潔到的死角,以後清潔時需要多加注意!

 

牙齒保健-牙刷 含氟牙膏 牙線

研究證實一天兩次1000ppm的含氟牙膏搭配刷牙能有效預防蛀牙!每天晚上還要搭配牙線清潔牙齒縫隙避免牙齒蛀牙!

Bd Go
Bd Go Mobile
Footer House
Logo

About

關於我們

Branch

體系分院

Treatment

診療項目

Case

案例分享

Team

樂的團隊

Clinic Hours

門診時間

Contact us

聯絡我們