兒童牙科器具介紹-咬合斜板

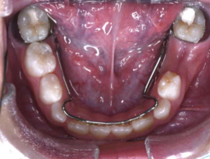
IBP斜面咬合板

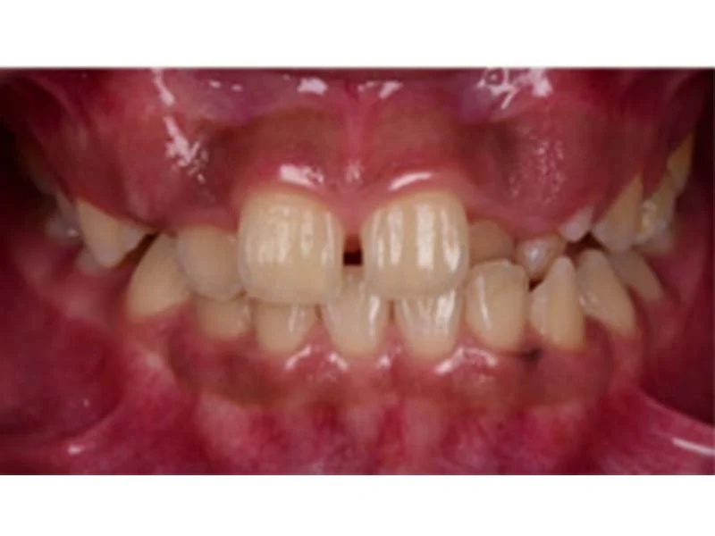
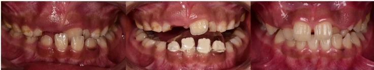
兒童在換牙期出現前牙錯咬時,若能儘早使用簡單的斜面咬合板治療, 百分之90以上的錯咬改正都可得到很好的效果,費用少,且時間短, 若沒在適當時間改善前牙錯咬,會因錯咬影響或限制小朋友顎骨的發育, 提前做一些處理,可以讓小朋友恢復正常的咬合關係, 也會減少將來矯正治療的難度。

Bd Go
Bd Go Mobile
Footer House
Logo

About

關於我們

Branch

體系分院

Treatment

診療項目

Case

案例分享

Team

樂的團隊

Clinic Hours

門診時間

Contact us

聯絡我們