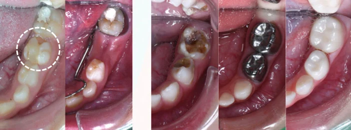
兒童根管治療

當蛀牙侵犯牙髓時,就必須把牙髓裡面的細菌及發炎的神經清理乾淨,防止細菌在往骨頭侵犯,進而影響恆牙的牙胚發展, 恆牙有獨立的牙髓系統,與乳牙根管治療互不影響! 蛀牙範圍過大或做過根管治療的乳牙,必須套上小鋼牙保護起來 防止崩裂以及降低再蛀牙、感染情況發生 在生長恆牙的同時並,不影響換牙喔!
兒童根管治療後

蛀牙範圍過大或是做過根管治療的乳牙,必須以牙套保護起來,以防止崩裂或是再次蛀牙,導致牙齒再受到傷害!乳牙牙套會隨著乳牙一起脫落,並不會影響換牙!


當蛀牙侵犯牙髓時,就必須把牙髓裡面的細菌及發炎的神經清理乾淨,防止細菌在往骨頭侵犯,進而影響恆牙的牙胚發展, 恆牙有獨立的牙髓系統,與乳牙根管治療互不影響! 蛀牙範圍過大或做過根管治療的乳牙,必須套上小鋼牙保護起來 防止崩裂以及降低再蛀牙、感染情況發生 在生長恆牙的同時並,不影響換牙喔!

蛀牙範圍過大或是做過根管治療的乳牙,必須以牙套保護起來,以防止崩裂或是再次蛀牙,導致牙齒再受到傷害!乳牙牙套會隨著乳牙一起脫落,並不會影響換牙!