矯正案例-暴牙


 

矯正期間:一年八個月

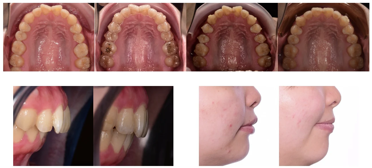
原本上下前牙前後落差超過1.5公分,矯正後已經能夠順利接觸, 矯正前的左圖,嘴巴較翹,閉嘴時因為下巴需要用力,所以下唇會往外翻,右圖矯正後,側臉臉型變得更順暢

暴牙是最常見的矯正原因之一,上下前牙前後落差太大會導致上唇翹翹的,甚至下唇外翻,有的人看起來會沒下巴,這個案例透過隱適美與骨釘的幫助,將上排齒列整體向後退,除了咬合更好,側臉的臉型也更漂亮了!

Bd Go
Bd Go Mobile
Footer House
Logo

About

關於我們

Branch

體系分院

Treatment

診療項目

Case

案例分享

Team

樂的團隊

Clinic Hours

門診時間

Contact us

聯絡我們