Dentist

陳昱均

兒童牙醫專任醫師
Doctor Line

看診項目

兒童牙科治療/早期矯正

學經歷

高雄醫學大學牙醫系學士
前高雄醫學大學附設醫院牙科部醫師
前衛生福利部桃園醫院牙科部醫師
隱適美Invisalign認證醫師
LH矯正課程認證醫師
中華民國全人照護牙醫學會—家庭牙科專科醫師

CASE

Title Line 1

案例分享

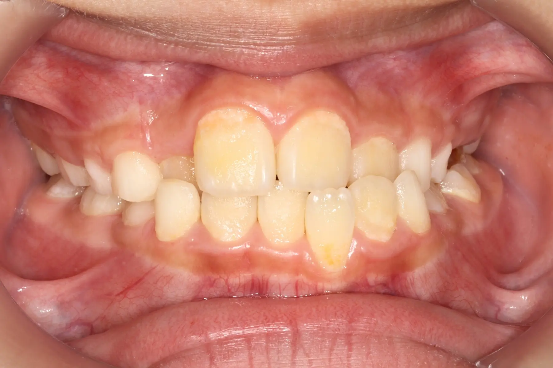
  • 兒童早期矯正術前
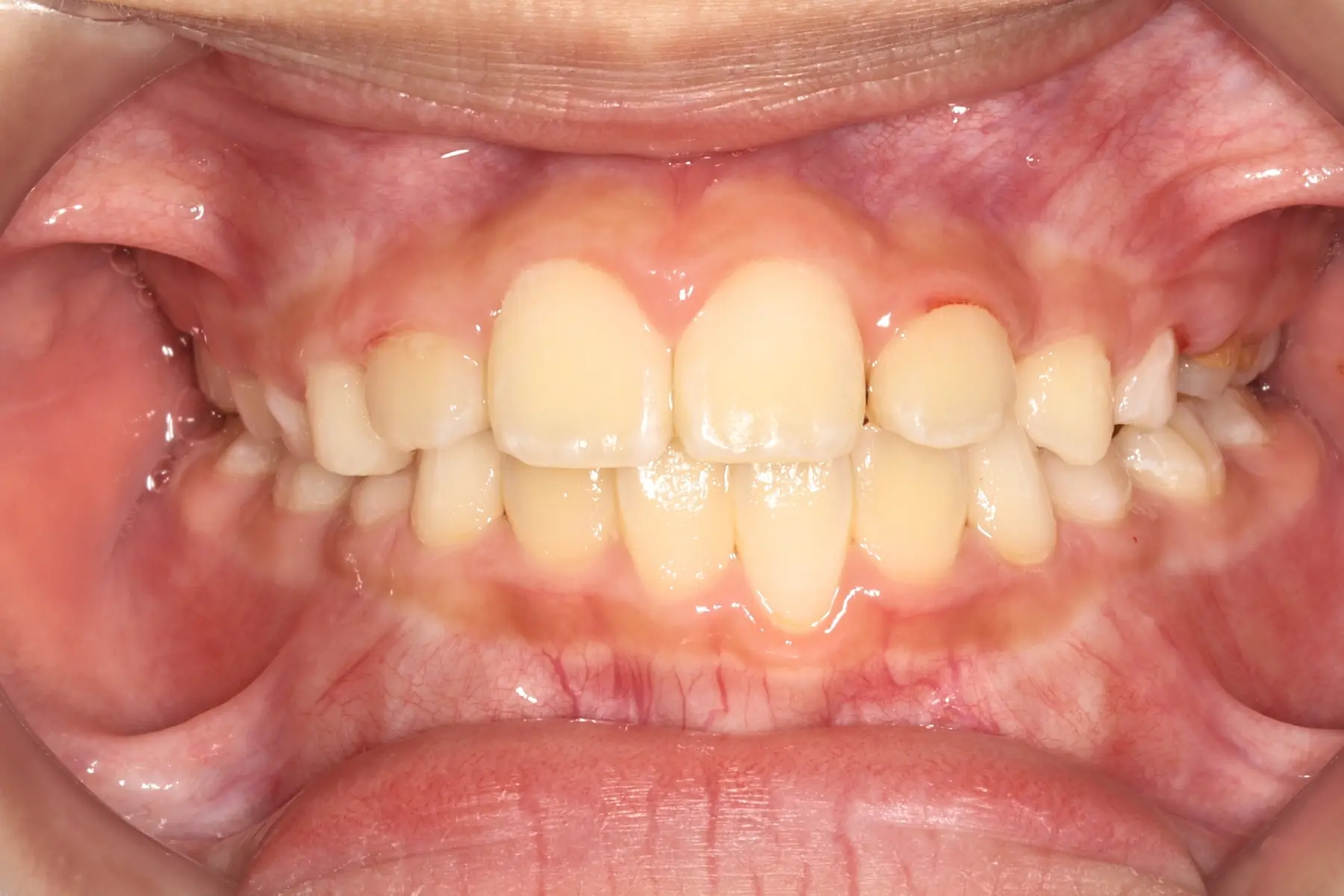
    兒童早期矯正術後

    兒童牙科/早期矯正

    主治醫師
    • 陳昱均
    治療時間
    約8個月
    主訴
    媽媽覺得小孩的牙齒不整齊,所以來諮詢是否需要提早做矯正

Column

Title Line 1

精選文章

FEATURED

Title Line 1

精選案例

Video

Title Line 1

精選影音

Bd Go
Bd Go Mobile
Footer House
Logo

About

關於我們

Branch

體系分院

Treatment

診療項目

Case

案例分享

Team

樂的團隊

Clinic Hours

門診時間

Contact us

聯絡我們