Dentist

李易臻

衛福部兒童牙醫專科醫師
Doctor Line

看診項目

兒童牙科治療/早期矯正/兒童隱適美

學經歷

高雄醫學大學牙醫系學士
衛福部部定兒童牙科專科醫師
前恩主公醫院兒童牙科醫師
中華民國兒童牙科醫學會會員醫師
IAPD世界兒童牙科醫學會會員

CASE

Title Line 1

案例分享

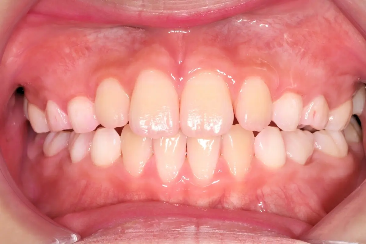
  • 兒童擴弓_術前
    兒童擴弓_術後

    兒童早期矯正

    主治醫師
    • 李易臻
    治療時間
    約1年
    主訴
    右上側門牙遲遲未萌發,已等待一年仍無進展
點此載入更多

Column

Title Line 1

精選文章

FEATURED

Title Line 1

精選案例

Bd Go
Bd Go Mobile
Footer House
Logo

About

關於我們

Branch

體系分院

Treatment

診療項目

Case

案例分享

Team

樂的團隊

Clinic Hours

門診時間

Contact us

聯絡我們