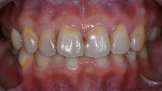
笑齦案例 矯正期間:二年五個月 笑的時候露太多牙齦的原因有很多,暴牙、深咬、骨暴都有可能造成笑齦,因此要改善笑齦是比較複雜的案例,除了透過牙齒矯正調整牙齒位置之外,可能還需要微笑訓練甚至注射肉毒桿菌幫忙調整嘴唇位置,此案例透過隱適美將前牙內縮以及調整肌肉用力方式,最終順利改善笑齦的狀況。 上一篇 文章 矯正案例-深咬 下一篇 文章 矯正案例-齒列擁擠 相關文章 MDJ 假博士-Thermosens 活動假牙與傳統活動假牙差在哪?活動假牙治療設計完整解析2026-02-11 看牙是一場親子大戰嗎?談兒童笑氣治療:守護牙齒,也守護孩子的心理健康2026-02-04 2026植牙費用懶人包:一顆多少錢?價格明細、分期與保險理賠全解析2026-01-22 About 關於我們 Branch 體系分院 Treatment 診療項目 Case 案例分享 Team 樂的團隊 Clinic Hours 門診時間 Contact us 聯絡我們