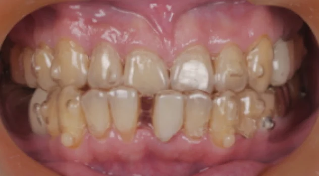
矯正案例-開咬

開咬案例

黃⾊箭頭指的是從牙⿒拉橡⽪筋到骨釘

 
 


 
矯正期間:1年6個⽉
開咬指的是上下前牙無法接觸,最常聽到的抱怨就是麵咬不斷,⼤部分案例
需要透過拔牙才有辦法改善開咬,此案例透過隱適美與骨釘將上下前牙向內
退縮,除了排⿑牙⿒亦能改善開咬!

Bd Go
Bd Go Mobile
Footer House
Logo

About

關於我們

Branch

體系分院

Treatment

診療項目

Case

案例分享

Team

樂的團隊

Clinic Hours

門診時間

Contact us

聯絡我們