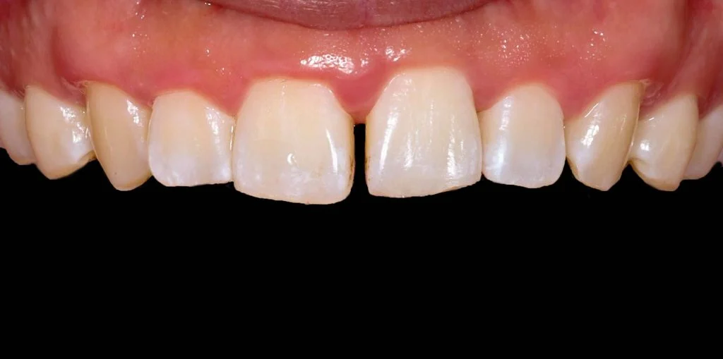
「門牙有明顯的縫隙,但又不想以矯正的方式處理」

先生的門牙間有個明顯的縫隙,平常說話時就會露出來,成為了無法放開大笑的癥結點。很想將牙縫關閉,上網搜尋幾乎都是貼片假牙或是矯正的方式,缺點是需要修磨牙齒或是需花上較長的治療時間,但先生很清楚地知道自己的需求,希望能夠透過不修磨牙齒的方式將牙縫關閉。
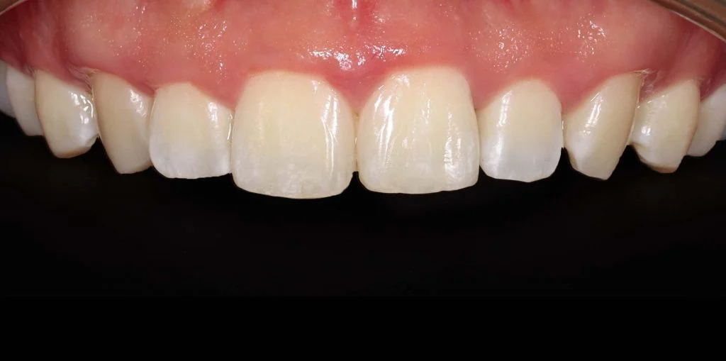
「透過美學樹脂關閉牙縫」
在經由陳昕醫師的專業評估,並與先生來回溝通討論、確認需求後,陳昕醫師建議先生可以透過樹脂補牙的方式來改善牙縫過大的問題。




「擁有漂亮的牙齒,讓你笑得更自在」

經過陳昕醫師的巧手修復後,先生擁有了與以往不同的笑容,沒有讓自己困擾的牙縫後,開始能笑得更加燦爛。微笑的力量,能讓自己從頭到腳煥發出不一樣的嶄新光彩。





