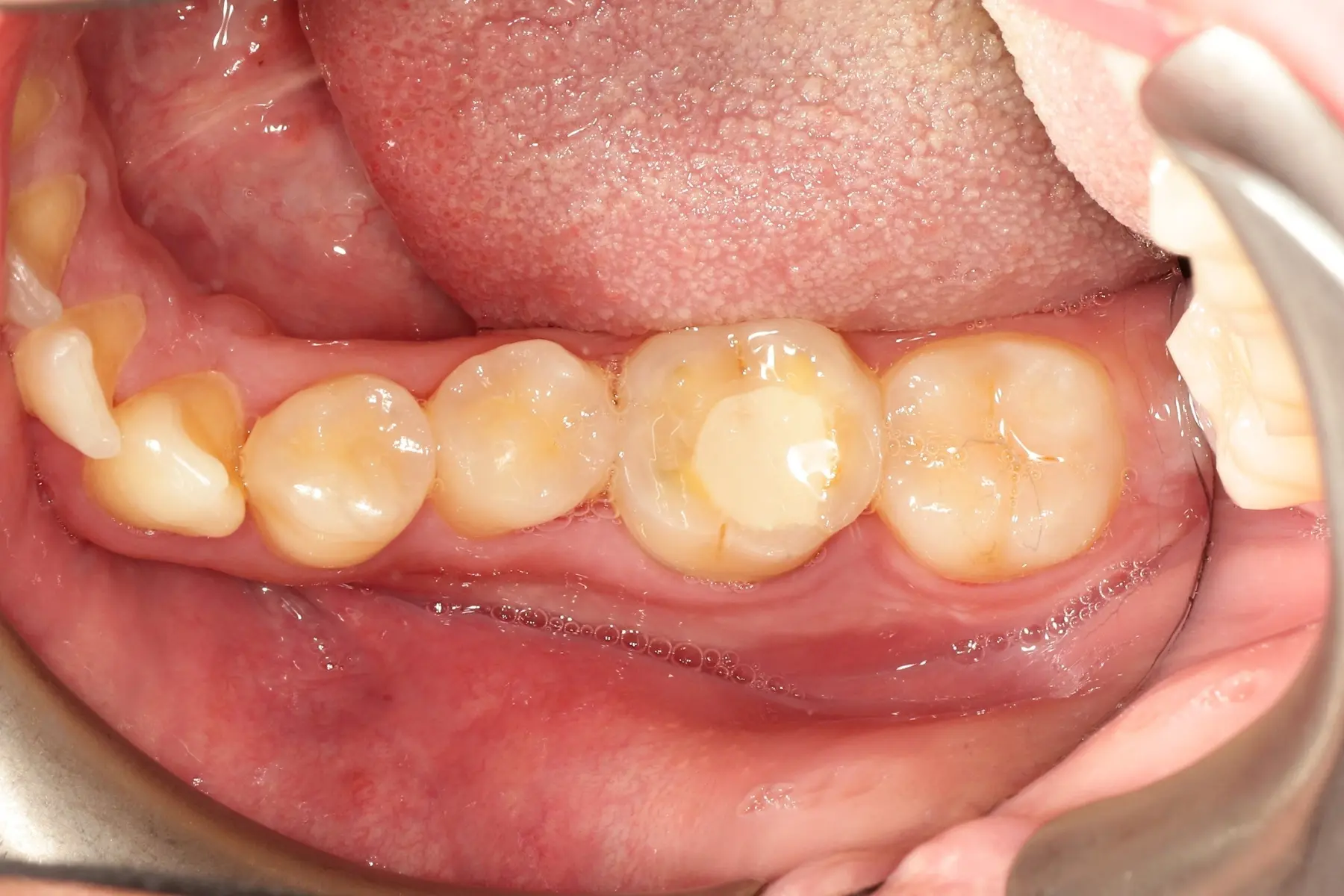
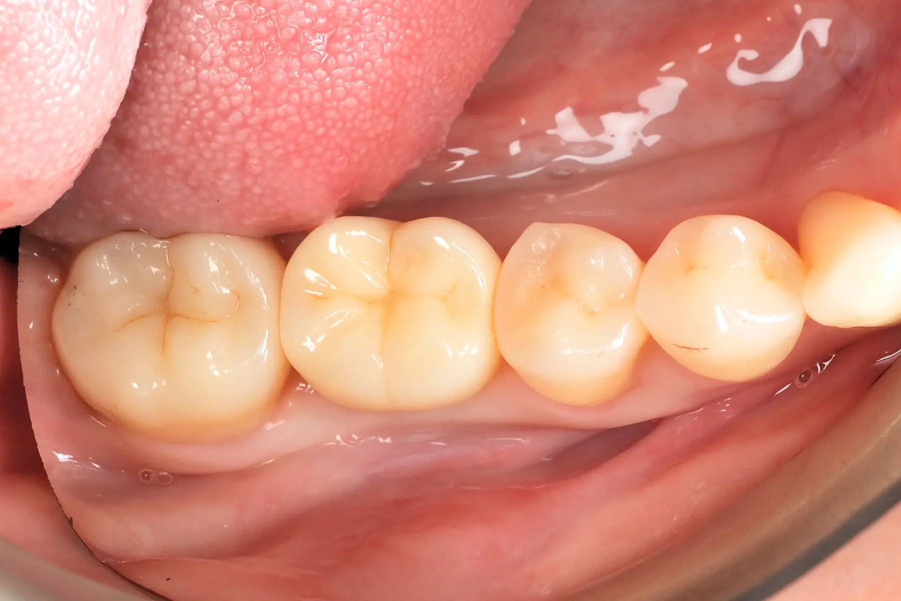
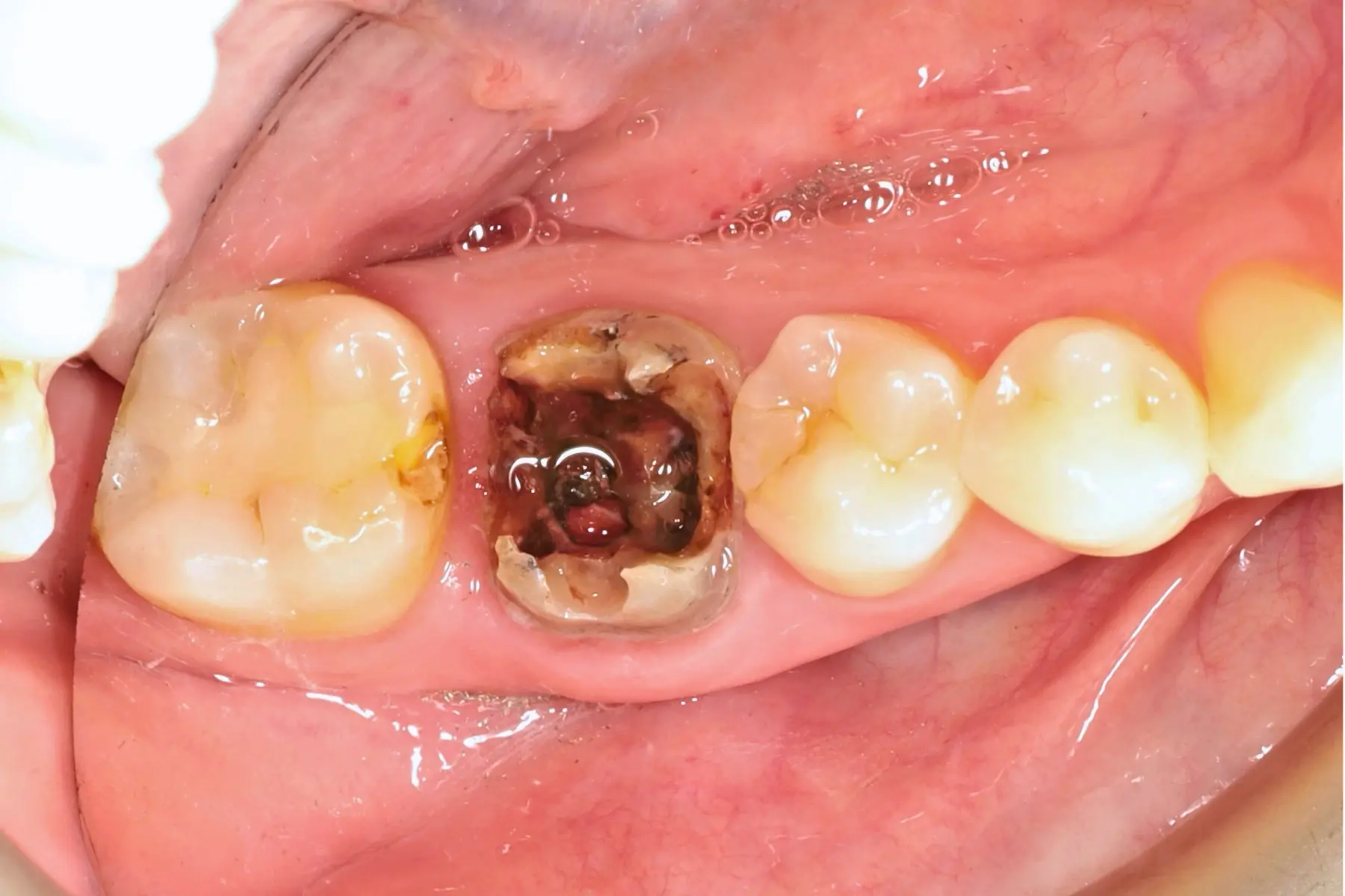
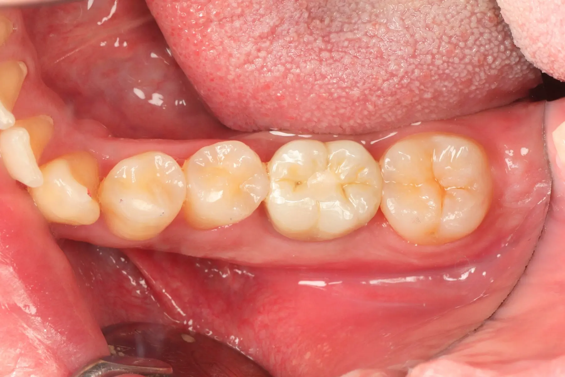
Implant 人工植牙 什麼是人工植牙? 植牙治療特色與原理? 植牙治療流程? 植牙適合對象? 植牙注意事項? 常見問題 相關院所 相關案例 精選案例 相關文章 01 什麼是人工植牙? 人工植牙是指經由手術將植體(俗稱的人工牙根)植入齒槽骨內,以取代被拔除或缺少的牙齒。等待一段時間等人工牙根與周圍的骨頭,也就是齒槽骨穩固結合後,再將假牙建構於植體上方。 簡單來說人工植牙就像是蓋房子,而植體可以想成是房子的地基,而牙冠就是蓋在地基上的房子 02 植牙治療特色與原理? 植牙是指在槽骨中植入人工牙根,能將假牙穩固定錨於齒槽骨中,咬合咀嚼力跟真牙幾乎無差異,人工牙根也能持續刺激齒槽骨,骨質較不容易被吸收、牙齦也比較不會有萎縮的風險。因為植牙是固定於齒槽骨上,不必像活動假牙每天拿下來清潔,故植牙在清潔上也相對容易。 03 植牙治療流程? ❶植牙流程:初診諮詢及分析 在進行正式植牙療程前,會需要給醫師評估,進行專業的口腔檢查以及治療規劃,醫師會使用3D電腦斷層為患者客製化療程,治療項目可能包含蛀牙處理、牙周病治療及後續補骨等,這些過程都會於雙方都知悉療程後才開始正式療程。 ❷植牙流程:確認齒槽骨高度 在植牙療程開始進行前,需要先確認口內的蛀牙、牙周狀況都已經治療完成,才能夠進行下一步的齒槽骨豐隆,若患者本身齒槽骨高度或寬度不足時,醫師將會先進行補骨手術,等待骨頭生長完成才會進行下一步療程。 ❸植牙流程:植體植入 當口腔各項條件一切準備完成時,即可進行植牙手術。置入植體的過程必須翻開牙齦,在齒槽骨鑽出適當的空間,並確保植體植入時的角度、深度及方向分毫不差。植體植入後需要等待3~6個月讓骨頭與植體緊密結合,也稱為「骨整合」,並會安排定期回診評估植體狀況。 ❹植牙流程:安裝客製化支台齒 待植體與齒槽骨整合完畢後,即可回診安裝支台齒,並需待2~4週傷口復原才能進行下一步驟。 ❺植牙流程:安裝植牙假牙(牙冠) 傷口復原後就能執行植牙假牙印模或口掃,最後安裝植牙假牙,這樣一來整個植牙療程就結束囉! ❻植牙流程:定期回診追蹤 植牙療程結束後,還是需要維持口腔清潔,把植牙照顧好,使用年限才會更長更穩定唷! 04 植牙適合對象? 基本上大部分的缺牙都能以植牙進行治療,但若是缺牙已久齒槽骨缺損嚴重的患者,則會建議先進行補骨才進行植牙。 也需注意並非所有人都適合植牙,假如患者本身有牙周病,必須先配合治療後再進行植牙,才能減少術後發炎的風險。如果患者本身有重大疾病史,如:嚴重心血管疾病、化療相關病史、凝血功能不佳,都會需要事先與醫師討論,才能做出更完整的植牙規劃。 05 植牙注意事項? 植牙就像買新車一樣,想要用的久就必須要維持正確的清潔與保養。由於人工植牙是讓植體與齒槽骨緊密的合在一起,就像是身體的一部分,所以如果沒有做好保養,可能會帶來後續食物咀嚼變得困難、壽命減少或是牙周病等影響。 06 常見問題 Q1.植牙手術會不會很痛?如何減輕不適? 在開始進行植牙手術前,醫師會施打局部麻醉,因此手術施作的部位基本上只會有觸覺並不會有痛覺。手術後可能會出現輕微不適和腫脹,但通常可以通過牙醫開立的止痛藥和冰敷來緩解。 Q2.植牙的費用是多少? 植牙整體的治療費用會因植牙廠牌選擇、手術方式以及個人齒槽骨量等因素而有所差異。因此,若是要確定植牙的實際費用,建議尋求專業植牙醫師的評估,以確保能夠獲得最準確的報價,和適合的治療計畫方案。 Q3.植牙手術成功率如何?有哪些因素會影響成功率? 植牙手術成功率通常很高,但仍受到患者的口腔健康狀況、手術技術、植牙材料品質以及後續護理等因素的影響。所以遵循牙醫的建議,保持良好的口腔衛生,可以最大程度地提高植牙手術的成功率唷! Q4.植牙治療費用可以刷信用卡嗎? 植牙費用與治療費用支付方式皆採現金付款,目前尚無提供刷卡付費方式。 Q5.人工植牙手術費用有健保給付嗎? 目前健保給付並未包含人工植牙手術,屬於自費項目。 Q6.請問人工植牙費用分期付款可以嗎? 植牙治療費用付費方式依階段性分期付款,於療程結束當次結清費用。 Q7.植牙費用能否報銷? 植牙費用一般不屬於健保給付範圍,需要自費。但是,如果植牙是因牙病導致的,部分保險公司可能會給予[部分報銷]。 Q8.人工植牙療程會痛嗎,痛幾天? 其實植牙本身是不太會痛的,植牙療程在術前會先麻醉,只要注射的劑量足夠,在植牙的過程中並不會有太多的疼痛感。但術後麻藥退的三到五天傷口腫痛的狀況會比較明顯,一般來說痛覺因人而異與個人耐受程度有關,只要遵循醫囑的指示服用止痛藥、冰敷、熱敷就會慢慢消腫了,疼痛感就會慢慢消失。 Q9.人工植牙的費用? 一顆約80,000-100,000元,因為每人口腔狀況差異大,到診詳細評估後,才會得到確切的治療費用。 相關院所 樂沛牙醫診所 樂陽牙醫診所 又青牙醫診所 樂心牙醫診所 相關案例 人工植牙 主治醫師 林明志 治療時間 約1年 主訴 左下牙齒疼痛且咬合功能影響日常飲食 人工植牙 主治醫師 林明志 治療時間 約1年5個月 主訴 後牙長期缺牙,進食不便 人工植牙 主治醫師 林明志 治療時間 約一年 主訴 左上假牙外側反覆長膿胞,想尋求治療方法 人工植牙+全瓷冠 主治醫師 余子豪 治療時間 約9個月 主訴 假牙裡面怪怪的,咬東西不舒服。 人工植牙+全瓷冠 主治醫師 余子豪 治療時間 約9個月 主訴 右下第一大臼齒牙齒偶爾腫脹、悶悶不舒服 人工植牙+全瓷冠 主治醫師 余子豪 治療時間 約10個月 主訴 左下固定式牙橋常常造成牙齦不適、咬合功能下降 精選案例 【牙科修復案例】門牙斷裂怎麼辦?人工植牙重建自然笑容 2025-10-14 缺牙不補會怎樣?揭密缺牙危機及植牙成功案例分享 2025-10-14 相關文章 2026植牙費用懶人包:一顆多少錢?價格明細、分期與保險理賠全解析 2026-03-27 植牙失敗的因素有哪些?詳細解析及如何避免植牙失敗 2025-09-05 完整解析植牙手術過程的注意事項及補骨粉的重要性 2025-12-27 【植牙全瓷冠案例分享-游小姐】再次展現笑容 2025-07-01 單顆植牙費用公開!2025人工植牙價格、材質選擇、醫師植牙流程說明 2025-11-05 植牙手術注意事項 2026-01-12