全瓷補綴
All-ceramic crown
Detail Title Line

全瓷冠

什麼是全瓷冠假牙、牙套?
Menu Arrow
全瓷冠優點與特色
Menu Arrow
全瓷冠牙套適用的對象?
Menu Arrow
全瓷牙冠療程流程
Menu Arrow
全瓷冠注意事項
Menu Arrow
Menu Arrow
常見問題
Menu Arrow
相關院所
Menu Arrow
相關案例
Menu Arrow
精選案例
Menu Arrow
相關文章
Menu Arrow
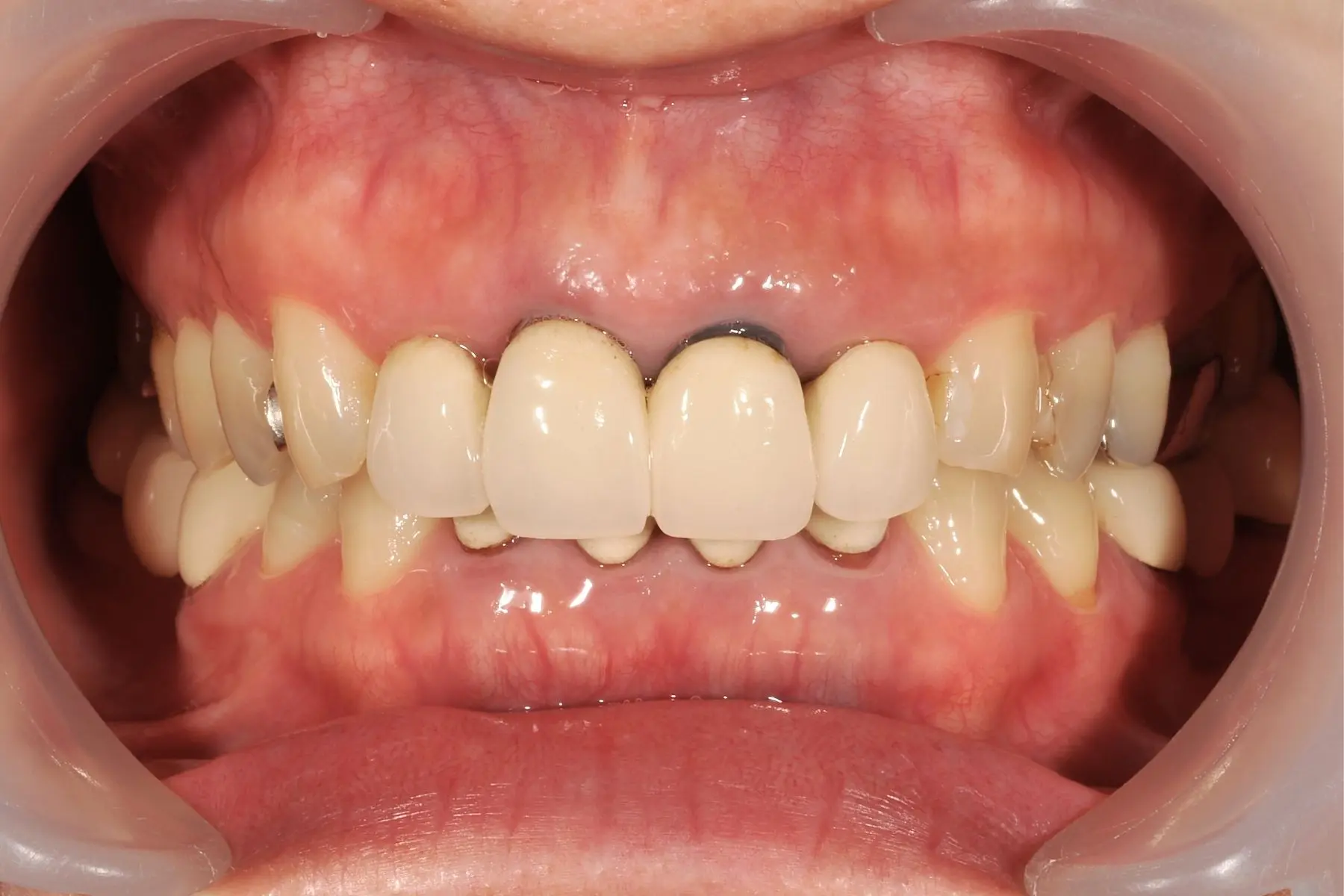
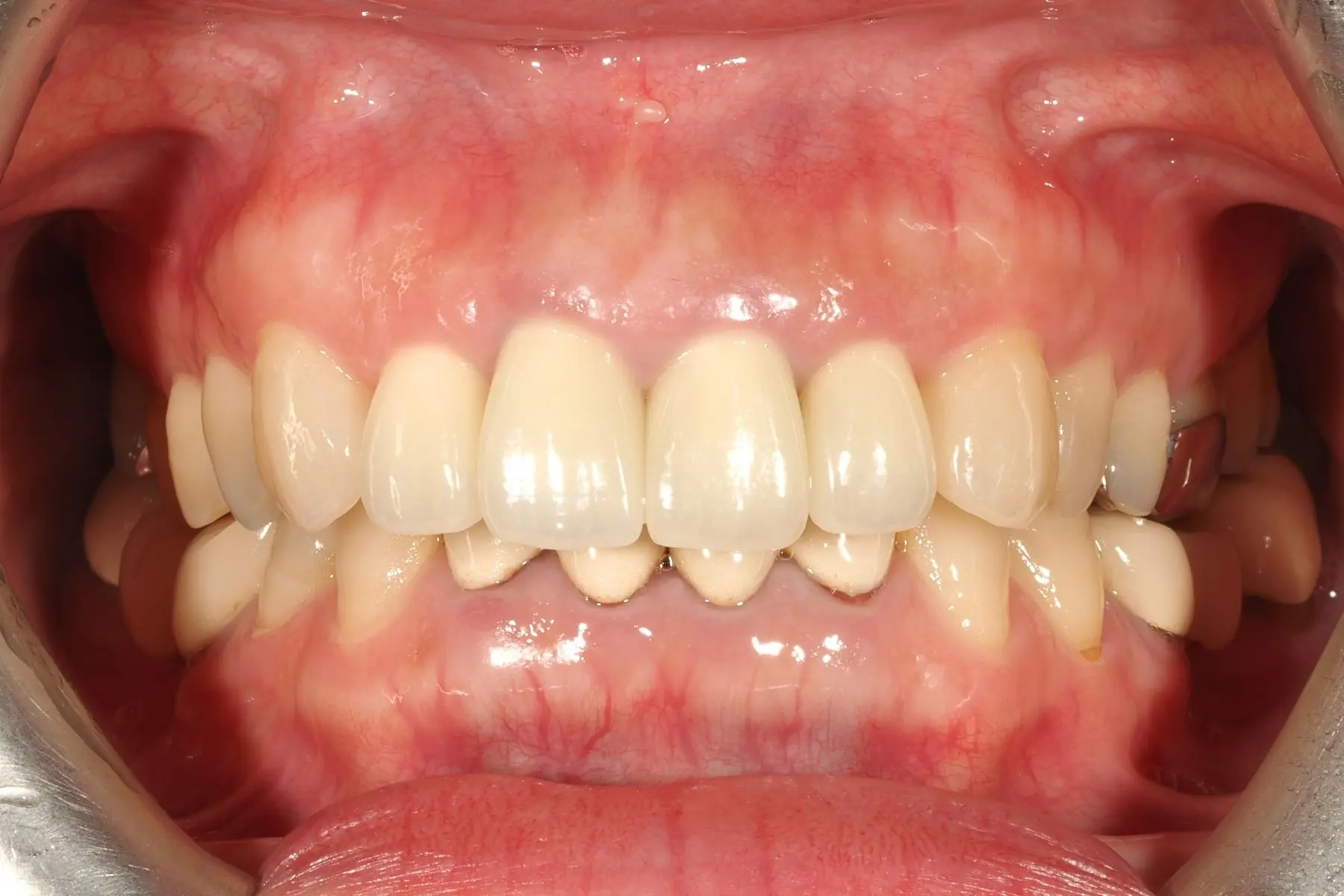
01
Detail Content Line

什麼是全瓷冠假牙、牙套?

「全瓷牙冠」做的牙套,在光線的折射下,其色澤、透光度最接近真牙,均優於金屬瓷牙,相對於過往的金屬假牙牙套,全瓷冠是近年來推出的一種高科技牙套。傳統金屬假牙外觀雖然是陶瓷,但是在陶瓷內還是會有一層金屬。全瓷牙冠內層並無金屬成份,取而代之的是多晶體的強化瓷,也不會有傳統金屬假牙戴久導致周圍牙肉變色的問題。全瓷冠是針對個人量身訂做的療程 ,也是目前最自然、舒適、美觀的固定式假牙。

02
Detail Content Line

全瓷冠優點與特色

色澤超自然擬真:
在光線折射下,其色澤、透光度最接近真牙,就跟我們天生的牙齒一樣自然又美觀。

相容性高:
全瓷牙冠與鄰近真牙的密合度、牙齦的相容性,都非常好。全瓷牙冠內層並無金屬成份,一般的全金屬或半金屬牙冠,因為內部接觸牙齦部分採金屬材質,配戴久了會導致周圍牙肉變黑,全瓷冠牙套因為不含金屬,所以沒有這個問題。

品質耐用:
全瓷冠壽命較長,陶瓷材質本身就有耐磨耐用的特性,清潔保養得宜全瓷冠的壽命可達10年、20年以上沒問題。

 

全瓷冠材質介紹

牙冠的材質分為有玻璃陶瓷 (主要成分為二矽酸鋰)、二氧化鋯,專科醫師會依照病患咬合、牙齒條件、顏色去選擇最合適的全瓷冠材質

材質

二矽酸鋰

二氧化鋯

名稱

玻璃陶瓷

全鋯冠或全瓷冠/二氧化鋯全瓷冠

常見品牌

E-max、Celtra Duo

Cercon、3M Lava、TDS、Wieland、
Vita

製作方式

二矽酸鋰一體成型或外層再燒瓷

1.二氧化鋯一體成型製成

2.二氧化鋯為內冠,外面再燒窯

適用區域

主要用於前牙

後牙或牙橋/前牙

優點

1.透光性佳
2.色彩仿真
3.和牙釉質接合緊密
4.生物性相容高不易過敏

1.強度、硬度最高
2.生物相容性高
3.一體成型製成不怕表面瓷裂

缺點

1.硬度較低
2.外層若燒瓷有瓷裂的可能

材質較不透光、顏色較死白,但近幾年已有改良

03
Detail Content Line

全瓷冠牙套適用的對象?

全瓷牙冠的主要目的是恢復牙齒的強度、功能、形狀和大小,透過在牙齒罩上一層全瓷冠牙套,可以防止牙齒進一步磨損和破裂。

若有以下的狀況,會建議使用全瓷冠牙套保護和修復:

1.根管治療(抽神經後的牙齒

根管治療清除牙齒內部發炎感染的牙隨組織,使得牙齒結構不像以前堅固而變得脆弱,此時需要全瓷牙冠牙套來保護,強化牙齒結構防止斷裂。

 

2.重度四環黴素染色者
主要是一種名為四環黴素之抗生素沉積於象牙質而使牙齒變黑,一般冷光美白就可以使牙齒有不錯的美白效果。重度的四環黴素染色者,必須以製作瓷貼片或假牙方式才能改善!

 

3.脫鈣、氟斑牙
脫鈣的成因,有些人牙齒本身的琺瑯質較薄或是礦化程度較差,便會造成脫鈣白斑,以及接觸醣類食物的頻率越高和口腔內偏酸都會容易脫鈣。
牙齒發育時期使用過量的氟化物,就可能會造成牙齒出現白斑或咖啡色的斑紋,這種斑紋被稱為氟斑牙。

 

4.牙齒排列不整齊者或是先天齒型不佳的人如開縫、牙尖、玉米牙
可透過瓷冠美齒雕塑先解決排列不整、齒型不佳、牙齒偏黃偏暗問題,讓開縫、玉米牙,甚至暴牙情況加以改善。

 

5.嚴重蛀牙或牙齒斷裂
當蛀牙程度嚴重,已深至象牙質時,牙齒容易敏感,會建議做全瓷冠牙套來保護,避免蛀洞擴大。全瓷牙冠牙套可以保護脆弱的牙齒,防止牙齒裂開。

 

6.傳統假牙造成牙齦發炎、發黑
含金屬成分假牙,容易導致過敏反應,造成牙齦發炎,較差的金屬容易被腐蝕造成牙齒暗沈與牙齦染色,全瓷冠假牙較安全,其抗腐蝕性與生物相容性也比金屬要來得好。

04
Detail Content Line

全瓷牙冠療程流程

Step1.諮詢與評估
製作假牙前必須先由專業醫師進行諮詢,評估患者口腔再根據牙齒的情形討論計畫,是否適合裝戴假牙。

 

Step2.3D口腔內掃描與確認口腔健康
藉由3D數位口掃取模或傳統印模,依電腦模擬圖為患者量身打造專屬牙套,口腔健康確認完畢後,就正式進入假牙製作過程。

 

Step3.裝置假牙
暫時替代原有牙齒的咀嚼功能,再些微調整成符合自己的假牙。

 

Step4.染色
專業技工師進行染色,依照個人原先牙齒調整假牙色澤,讓牙齒色澤逼近真牙。

 

Step5.牙體技工所製作假牙

由專業假牙技師,依據收集到的完整口腔資料進行製作。

 

Step6.裝戴正式假牙

假牙製作完成後,醫師依據不同患者的需求及舒適度,進行微調與配戴,使牙齒恢復咀嚼、美觀、發音的功能。

 

Step7.定期回診追蹤
檢視假牙使用情況,是否需要再調整

05
Detail Content Line

全瓷冠注意事項

一、術前注意事項:

  1. 醫師評估是否適合使用全瓷冠
    並非所有情況都適合使用全瓷冠,像是磨牙力道大、咬合不正、牙周狀況不佳者可能不適合。

  2. 確保牙齦健康
    若有牙周病、牙齦發炎,建議先做治療後再進行全瓷冠療程,否則可能影響密合度與美觀。

  3. 了解療程過程
    包括牙齒磨除的程度、印模、臨時冠的佩戴時間與回診次數等。

二、術後初期注意事項:

  1. 避免立即咬硬物
    剛裝戴後的幾天內,建議避免咬太硬或太黏的食物,例如:牛軋糖、堅果、魷魚絲等。

  2. 初期可能有敏感或異物感
    這是正常的適應期,約1~2週內會改善,若長時間疼痛或不適應應回診檢查。

  3. 保持良好清潔
    包括牙齒與牙齦交界處的清潔,建議搭配牙線或牙間刷使用,避免細菌滲入冠體邊緣造成蛀牙。

三、日常保養建議:

  1. 定期回診檢查
    每半年至一年建議檢查一次,確認全瓷冠的密合度與牙齦健康狀況。

  2. 避免咬過硬物品
    雖然全瓷冠強度不錯,但仍建議避免用牙齒去開瓶蓋、咬筆頭或啃骨頭。

  3. 良好咬合保護
    若有磨牙習慣,可配戴夜間咬合板(護牙套),保護全瓷冠與自然牙。

  4. 注意牙齦顏色變化
    若發現牙齦有紅腫、變色或牙冠邊緣黑線,應立即就醫檢查。

06
Detail Content Line

常見問題

相關院所

  • Map Icon 5

    樂沛牙醫診所

  • Map Icon 3

    樂陽牙醫診所

  • Map Icon 1

    又青牙醫診所

  • Map Icon 2

    樂心牙醫診所

相關案例

相關文章

Bd Go
Bd Go Mobile
Footer House
Logo

About

關於我們

Branch

體系分院

Treatment

診療項目

Case

案例分享

Team

樂的團隊

Clinic Hours

門診時間

Contact us

聯絡我們