Mrc
Orofacial myofunctional therapy
Detail Title Line

口腔肌功能訓練

口腔肌功能訓練是什麼?
Menu Arrow
治療特色與原理
Menu Arrow
治療流程
Menu Arrow
適合對象
Menu Arrow
治療注意事項
Menu Arrow
Menu Arrow
常見問題
Menu Arrow
相關院所
Menu Arrow
相關案例
Menu Arrow
精選案例
Menu Arrow
相關文章
Menu Arrow
01
Detail Content Line

口腔肌功能訓練是什麼?

兒童肌功能訓練器主要是用來矯正不良的口腔習慣,例如口呼吸、吐舌習慣或異常吞嚥習慣等,透過肌功能訓練器來訓練舌頭擺放的位置,並且配合正確的呼吸及吞嚥方式,讓口腔肌肉恢復正常,預防齒列不整的問題。肌功能訓練器白天要配戴1~2個小時,晚上則需整晚戴著睡覺,並且搭配肌功能訓練課程。

治療目的如下:

➀ 使用鼻子呼吸
➁ 訓練舌頭停留在正確位置
➂ 矯正錯誤的吞嚥習慣
➃ 降低未來需要矯正的可能性及複雜度
➄ 將下顎移至理想位置
➅ 訓練雙唇在肌肉放鬆狀態下能夠自然閉合

為什麼需要矯正口呼吸?

許多家長會覺得孩子嘴巴開開只是習慣問題,長大自然就會改善,但其實長期口呼吸對孩子的影響遠比想像中深遠。正常呼吸應該以鼻子為主,鼻腔能過濾與調節空氣,保護呼吸道健康;當孩子長期用嘴巴呼吸,口腔容易乾燥,牙菌斑堆積增加,蛀牙與牙齦發炎的風險也會提高。

更重要的是,口呼吸會改變舌頭與臉部肌肉的力量平衡。舌頭若沒有自然頂在上顎正確位置,上顎發育可能變窄,牙弓空間不足,進而導致暴牙、齒列擁擠或下巴後縮。長時間下來,甚至會影響臉型發展或嘴唇無法自然閉合的情況。

此外,口呼吸也常伴隨睡眠品質不佳、打呼或注意力不集中等問題。如果合併鼻過敏或扁桃腺肥大等因素,更需要由專業醫師評估原因,從根本改善呼吸方式。

肌功能訓練的目的之一,就是幫助孩子建立鼻呼吸習慣,讓舌頭回到正確位置,引導顎骨朝健康方向發育。越早介入,越能在成長期調整肌肉與骨骼的發展,降低未來需要複雜矯正治療的機會。

口腔肌功能訓練器

02
Detail Content Line

治療特色與原理

肌功能矯正的原理是透過配戴矯正器讓舌頭擺放在正確的位置,肌肉也可以正確的發力,進而改善牙齒錯位、齒列不正的問題。
醫師透過肌功能訓練器訓練孩子正確的呼吸方式、咬合吞嚥以及舌頭擺放位置。當肌肉發力恢復正常,牙床位置及空間也會開始變得穩定許多,不僅能使牙齒整齊排列,也能降低日後矯正的困難度。

樂的醫療體系總共有三種不同的肌功能訓練器,分別為:

  • MRC ➔可以讓前牙往內收、下巴往前長
  • EF ➔單純一個軌道使牙齒排列整齊
  • Preortho ➔ 適用於戽斗患者,使下巴往內收

以上皆須經由醫師專業評估,目的皆為改正錯誤使用的肌肉。

常見的肌功能訓練器

03
Detail Content Line

治療流程

兒童肌功能矯正大約分成一~二個階段的矯正系列,每個系列分別以咬合關係、年齡階段區別的不同,牙醫師會依照型號參考選擇出最適合配戴的順序及尺寸,所以一個完整的矯正療程需要配戴一~二副不同功能的肌功能訓練器才能讓療程順利進行。

 

第一階段:口腔習慣矯正期

讓孩子適應矯正器,並改正錯誤的呼吸方式及舌頭擺放位置。

第二階段:維持期

完成療程後確保習慣已養成,並使用維持器穩定牙齒不走位。

什麼是肌功能訓練

04
Detail Content Line

適合對象

肌功能矯正的最佳治療時期是在6~12歲乳牙與恆牙交換生長的階段,此時父母若發現孩子有以下不良的口腔習慣造成齒列不正,建議立即進行兒童肌功能矯正,以避免牙齒長歪。

➀ 習慣性張口呼吸
➁ 口齒不清、大舌頭
➂ 經常咬唇
➃ 睡覺時磨牙
➄ 吸奶嘴、咬手指
➅ 習慣用單側咀嚼
➆ 吐舌吞嚥、習慣性吐舌
➇ 暴牙、戽斗
➈ 齒列不正

肌功能訓練器適合對象

05
Detail Content Line

治療注意事項

➀ 若孩子有吸手指或吸奶嘴的習慣,家長需輔助孩子改正。

➁ 兒童肌功能矯正仰賴孩子配合度,故應依照醫矚進行配戴。

➂ 配戴矯正器時也需注意口腔清潔。

➃ 清潔矯正器可透過清水沖洗或稍微刷洗。

➄ 需依照醫囑定期回診,並且追蹤配戴狀況。

肌功能訓練器注意事項

06
Detail Content Line

常見問題

相關院所

  • Map Icon 4

    樂芙兒童牙醫

  • Map Icon 3

    樂陽牙醫診所

  • Map Icon 1

    又青牙醫診所

相關案例

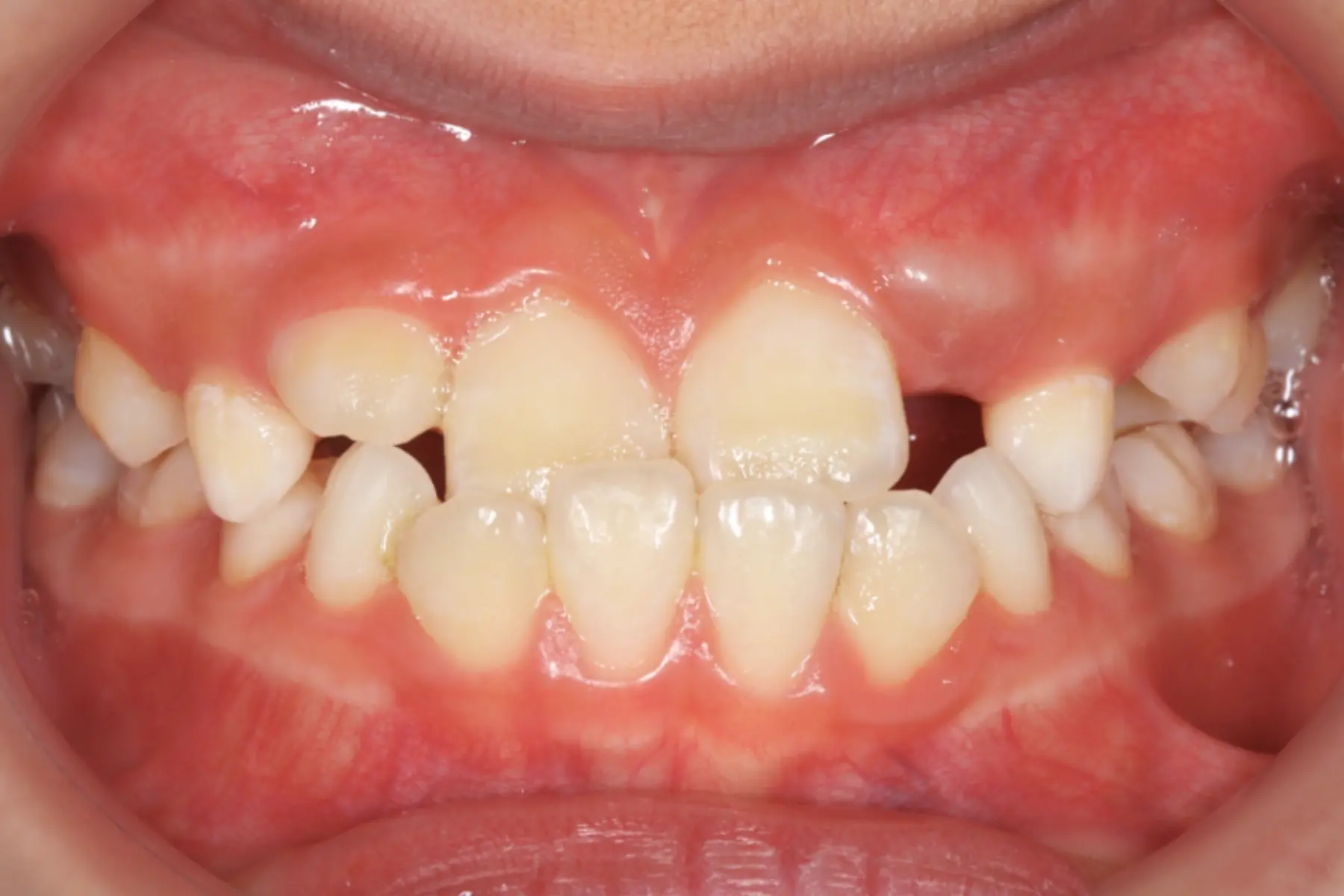
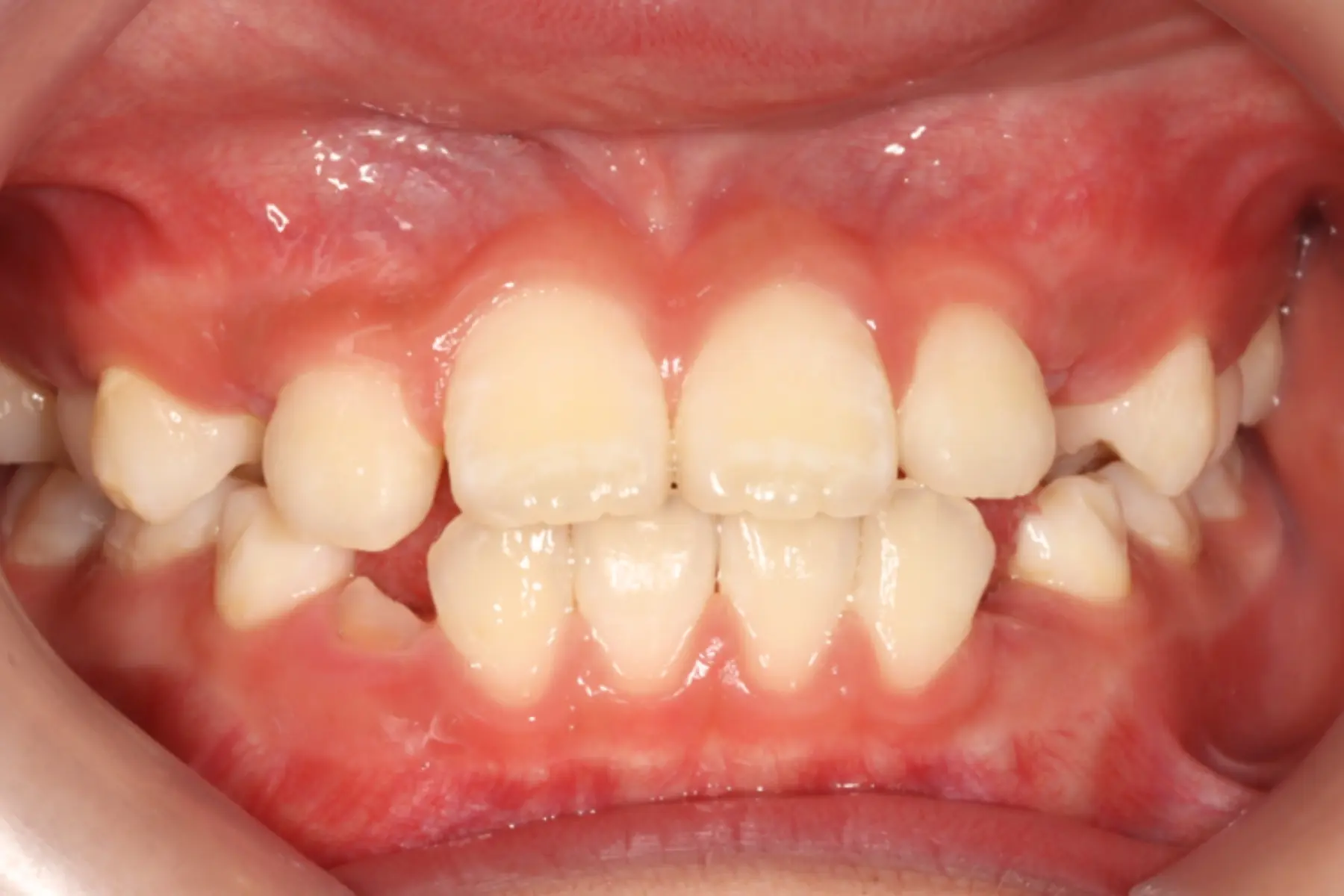
  • 術前 46
    術後 44

    肌功能訓練器

    主治醫師
    • 劉筑昀
    治療時間
    約10個月
    主訴
    前牙錯咬、牙弓空間不足
  • 肌功能訓練器_術前
    肌功能訓練器_術後

    兒童牙科/肌功能訓練器

    主治醫師
    • 李峻嘉
    治療時間
    約9個月
    主訴
    上排前牙反咬,導致牙肉疼痛且不適。媽媽擔心影響正常咬合與孩子自信

精選案例

Bd Go
Bd Go Mobile
Footer House
Logo

About

關於我們

Branch

體系分院

Treatment

診療項目

Case

案例分享

Team

樂的團隊

Clinic Hours

門診時間

Contact us

聯絡我們