齒顎矯正/自鎖式矯正

對許多愛笑的人來說,「牙齒整齊」不只是美觀問題,更關係到自信。24歲的A小姐就是如此。從學生時期開始,她就對自己的牙齒排列感到不自在,不僅前牙明顯外凸,牙齒排列也不夠整齊,讓她在講話或拍照時,時常感到彆扭。於是她下定決心踏進診所,就是為了改善暴牙與凌亂的齒列,找回自然自信的笑容。

患者基本側寫

姓名| A小姐
年齡| 24
主訴 暴牙、牙齒排列不整
治療需求 希望牙齒排列整齊、改善暴牙狀況

治療內容

主治醫師|
  • 陳彥宏
診療項目|
  • 齒顎矯正
治療時間| 約3年9個月
治療步驟

1.初診檢查:經醫師口內檢查與影像分析後,確認A小姐為齒列擁擠、前牙突出的情形。
2.拔牙安排:拔除左右上下共四顆智齒以及上下顎共四顆第一小臼齒,為前牙後收騰出足夠空間,以利日後牙齒移動。
3.矯正治療:患者選擇金屬自鎖式矯正器做矯正治療。
4.骨釘輔助:於左上與右上顎植入骨釘,協助控制牙齒移動方向,精準後收前牙。
5.定期回診:透過定期回診,醫師能依照牙齒移動的進度進行調整,確保矯正過程穩定且朝向預期目標發展。
6.改善黑三角:矯正後期因牙齒排列變整齊,牙齦處沒有足夠的牙肉填滿,而產生的黑三角縫隙,可以透過鄰面去釉(修磨牙齒表面少量琺瑯質)及矯正器讓牙齒靠攏,提升整體美觀。
7.完成矯正:矯正結束後,透過配戴維持器,幫助牙齒穩定排列,避免回復原位。

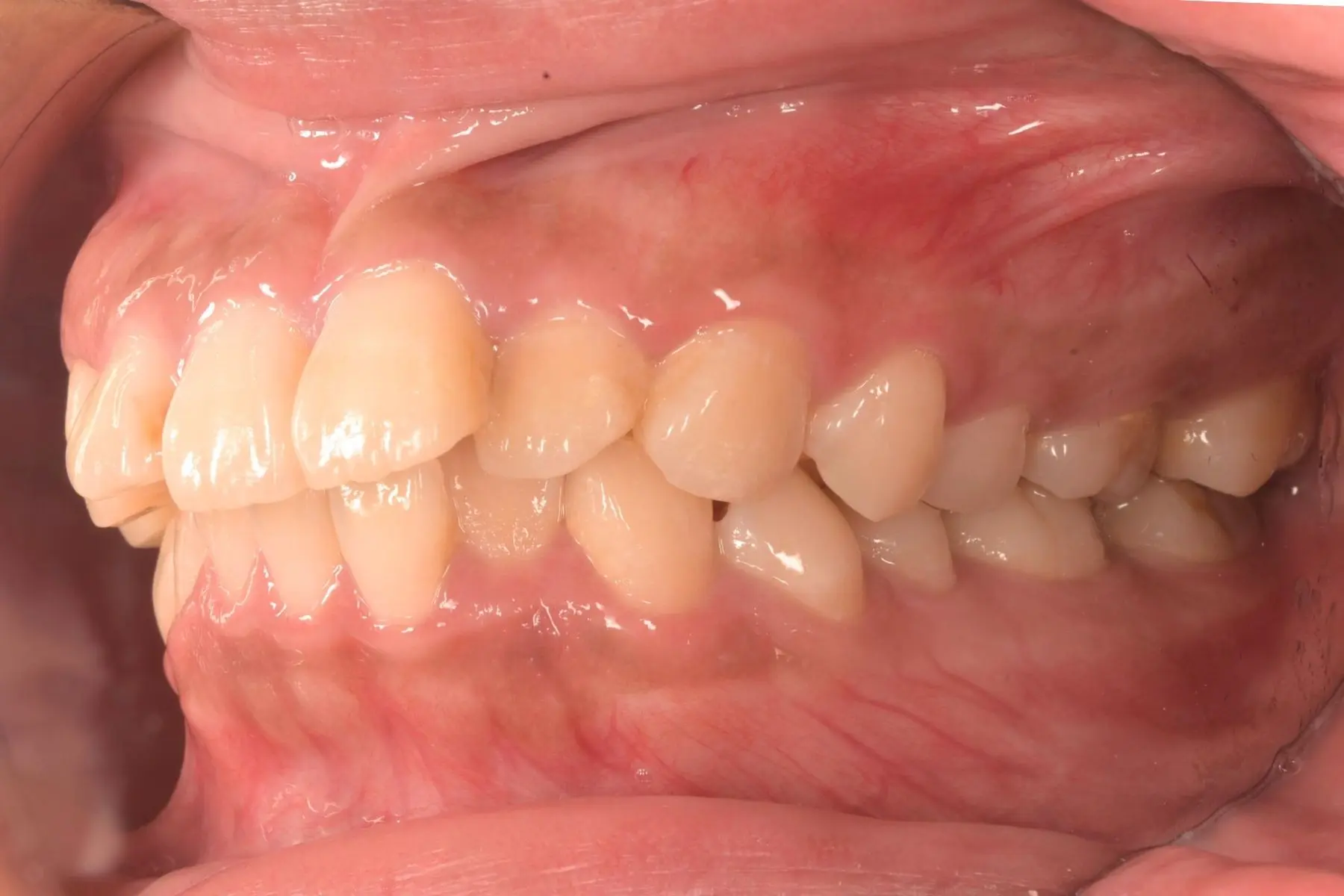
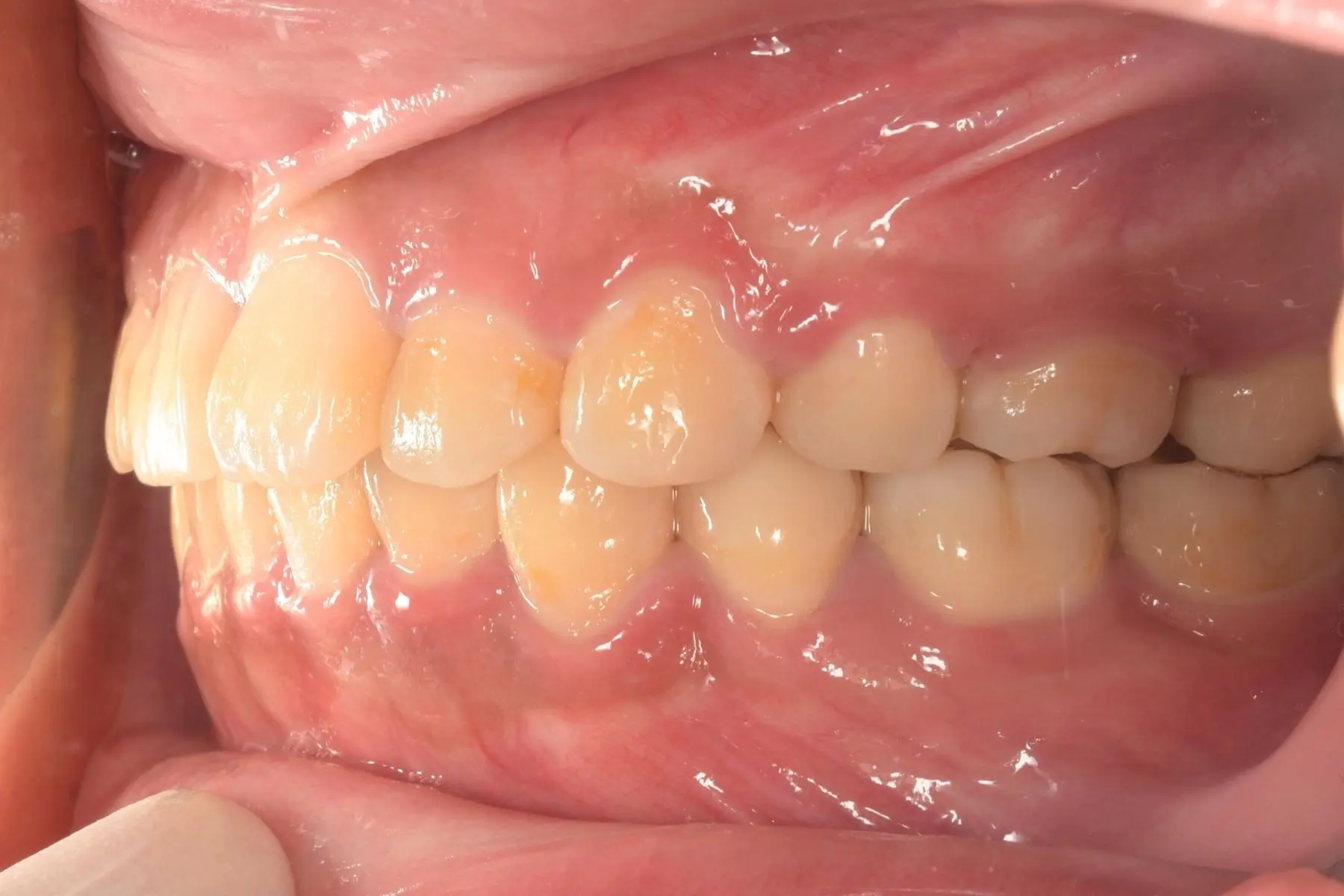
術前術後對比

自鎖式矯正_術前
自鎖式矯正_術後

患者治療心得

我以前真的不太敢大笑,總覺得牙齒凸凸的、不好看。但現在不一樣了!在經歷了拔牙、骨釘、長時間配戴矯正器的過程後,牙齒逐漸整齊,嘴型也變得柔和自然。這段期間雖然不短,但每次看到牙齒慢慢變整齊,就覺得好值得。現在連側臉線條都順很多,整個人也更有自信了

醫師建議

1. 矯正結束後須按時配戴維持器,初期建議全天配戴,有助於穩定牙齒新位置,避免反彈。
2. 定期回診追蹤,讓醫師檢查牙齒狀況。
3. 加強口腔清潔,養成正確刷牙與使用牙線的習慣,避免蛀牙與牙齦發炎。
4. 矯正期間若出現黑三角的情況,可以視醫師評估透過鄰面去釉的方式減少。
5. 若矯正期間黑三角情況無法完全改善,可以在矯正後透過仿生美學樹脂的方式填補牙縫。

適應症/禁忌症/處置優缺點

Ad Back
Bd Go
Bd Go Mobile
Footer House
Logo

About

關於我們

Branch

體系分院

Treatment

診療項目

Case

案例分享

Team

樂的團隊

Clinic Hours

門診時間

Contact us

聯絡我們