齒顎矯正/自鎖式矯正

對許多人來說,一顆位置不對的牙齒可能只是小問題,但對L小姐而言,左上那顆「高高在上」的虎牙,是讓她不敢大笑的原因,不想露出那顆特別明顯的虎牙。希望能有自信地露齒微笑,她決定來到診所諮詢,尋求專業醫師的協助。

患者基本側寫

姓名| L小姐
年齡| 33
主訴 左上虎牙高位,影響美觀與自信
治療需求 希望能讓虎牙回到正確位置,讓笑容更自然

治療內容

主治醫師|
  • 陳彥宏
診療項目|
  • 齒顎矯正
治療時間| 約3年10個月
治療步驟

1. 初步檢查:透過口掃與X光檢查,醫師評估牙齒排列與咬合狀況,模擬矯正後的牙齒排列情形。
2.拔牙創造空間:拔除左上乳牙,為左上虎牙創造下降的空間。另外拔除四顆第一小臼齒,創造整體牙齒的排列空間。
3.矯正治療:患者選擇金屬自鎖式矯正器做矯正治療。
4.骨釘輔助:在左上顎植入骨釘,並搭配橡皮筋牽引,協助高位虎牙順利降至牙弓中。
5. 定期回診:定期回診讓醫師逐步微調,引導牙齒進入理想的位置。
6.完成矯正:歷時3年10個月療程結束,原先高位的虎牙回到正確的位置。接著製作並配戴維持器,維持牙齒穩定狀態,避免回復原位。

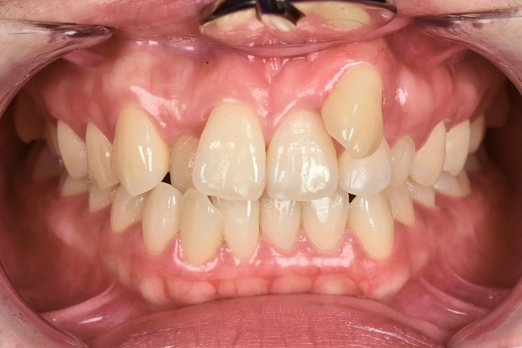
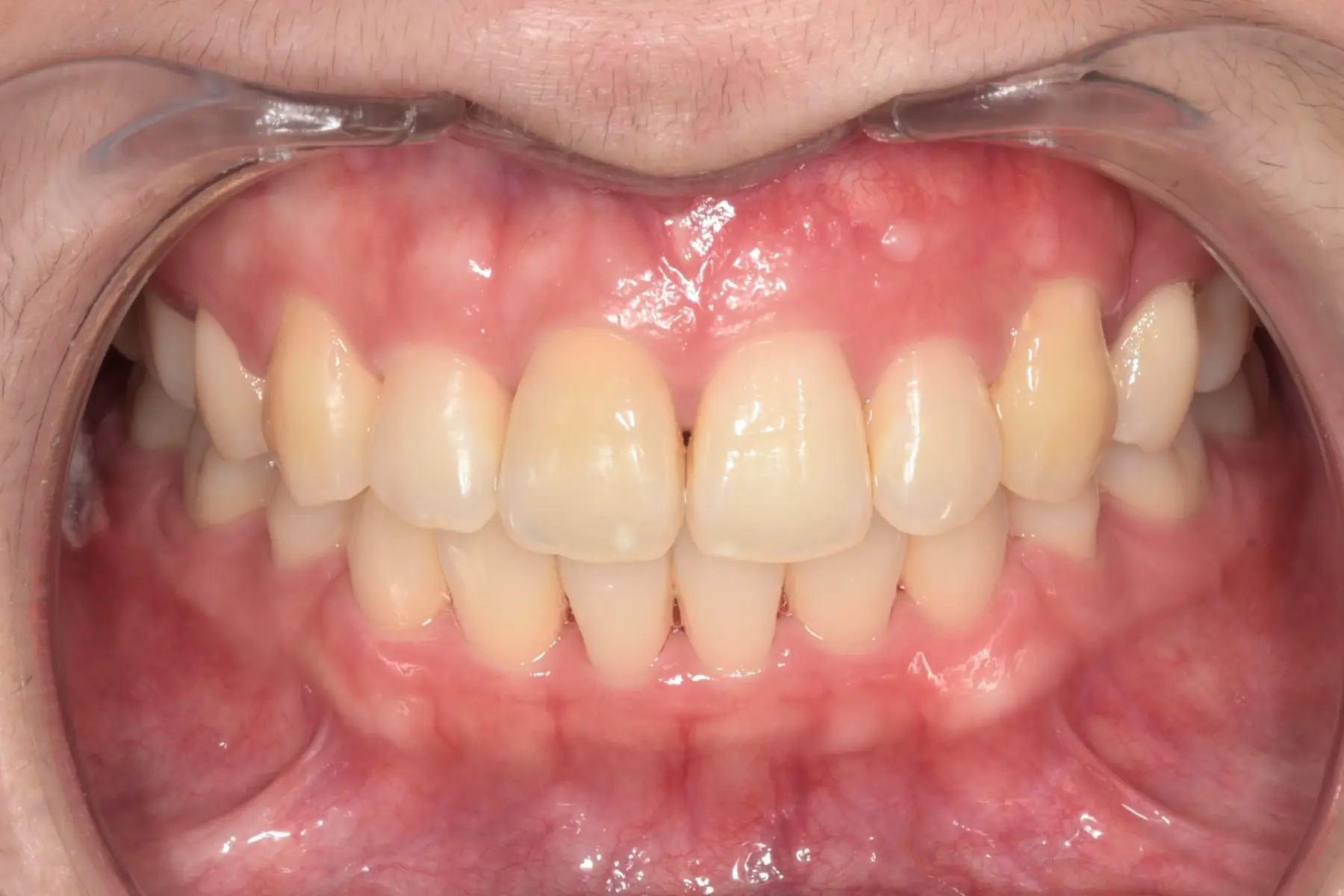
術前術後對比

自瑣式術前
自鎖式術後

患者治療心得

以前真的很在意這顆牙,總覺得大家的目光都停在它身上。治療完成後,L小姐久違的露齒大笑,感受牙齒整齊後的自在。從原本不敢露齒,到現在在拍照時自然展露笑容,她表示這段矯正治療雖然花了一些時間,但看到牙齒整齊的那一刻,覺得一切都值得了。

醫師建議

1. 若發現虎牙位置過高或齒列擁擠,應盡早評估治療。
2. 完成矯正後,須按時配戴維持器,特別是初期應整天配戴,以幫助牙齒穩定避免位移。
3. 定期回診檢查,追蹤矯正進度與口腔狀況。
4. 維持良好口腔習觀,刷牙時搭配牙線清潔,才能避免細菌滋生、牙垢堆積。

適應症/禁忌症/處置優缺點

Ad Back
Bd Go
Bd Go Mobile
Footer House
Logo

About

關於我們

Branch

體系分院

Treatment

診療項目

Case

案例分享

Team

樂的團隊

Clinic Hours

門診時間

Contact us

聯絡我們