前牙美學/仿生美學樹脂

K小姐在幾年前完成矯正治療,終於擁有整齊的牙齒,但她卻發現笑起來時,牙齒間出現了明顯的「黑三角」縫隙。醫師說,這是由於原本的牙齒擁擠、凌亂,矯正後雖然牙齒排整齊了,但牙肉長不回來,才會出現黑三角的現象。加上K小姐平常喜歡喝茶,牙縫處容易卡色素,讓黑三角看起來更明顯,拍照時總讓她忍不住修圖或閉嘴笑。經朋友推薦來到診所諮詢,醫師評估後建議使用仿生美學樹脂關縫來解決K小姐的困擾,讓她重新找回自然又自信的笑容。

患者基本側寫

姓名| K小姐
年齡| 30
主訴 矯正後的黑三角縫問題
治療需求 希望改善門牙間黑三角縫隙,重回自信笑容

治療內容

主治醫師|
  • 陳昕
診療項目|
  • 仿生美學樹脂
治療時間| 約兩週
治療步驟

1.初診評估:評估黑三角產生的原因後,醫師先拍攝術前照,並說明以美學樹脂關縫的可行性與預期效果。
2.使用樹脂關縫:使用特殊隔片輔助操作,將色澤自然、光澤度高的美學樹脂填補在黑三角縫隙處,達到無痕關縫效果。
3.術後追蹤:術後約一週安排回診追蹤,拍攝術後照,記錄改善成果。

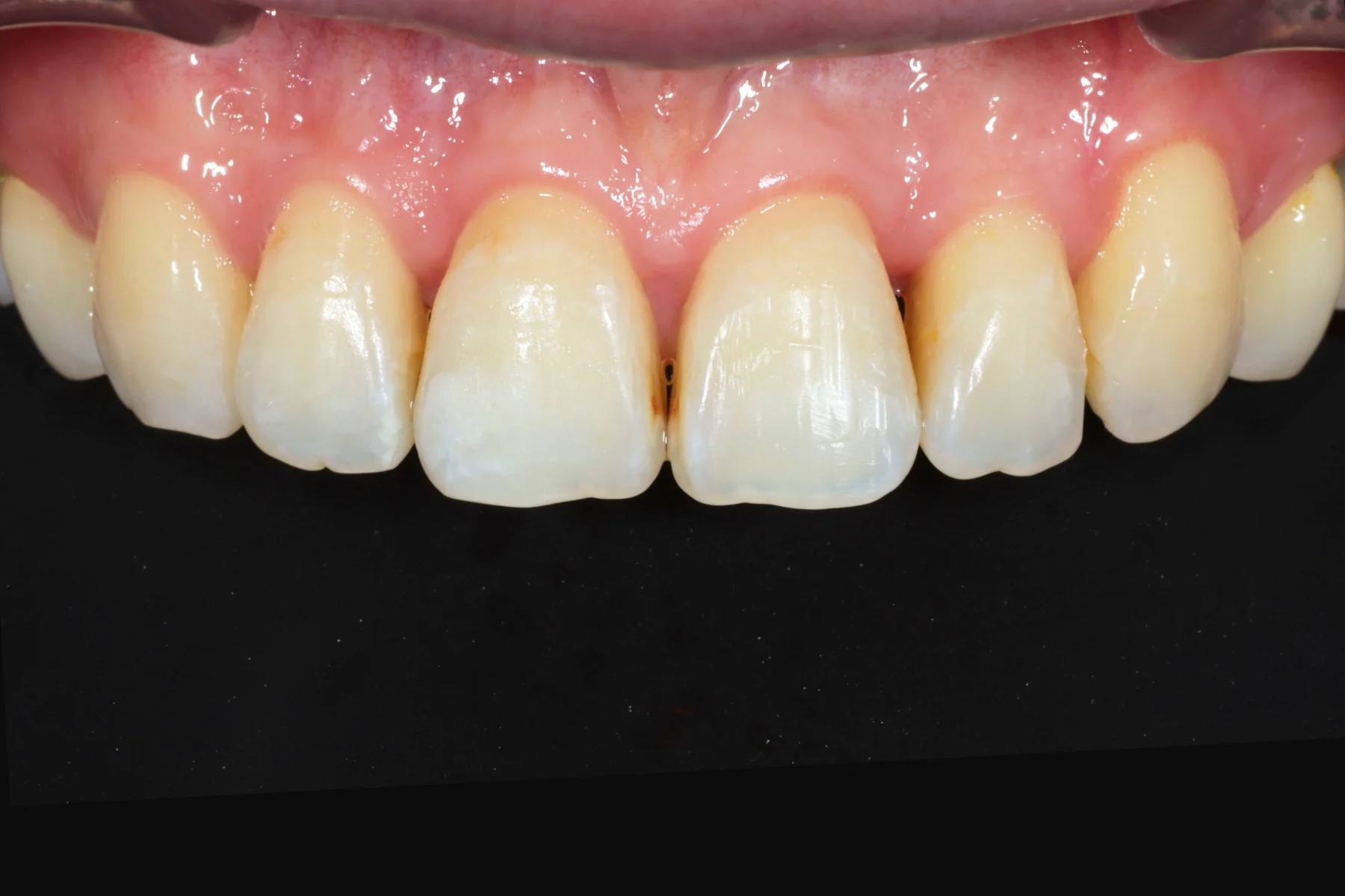
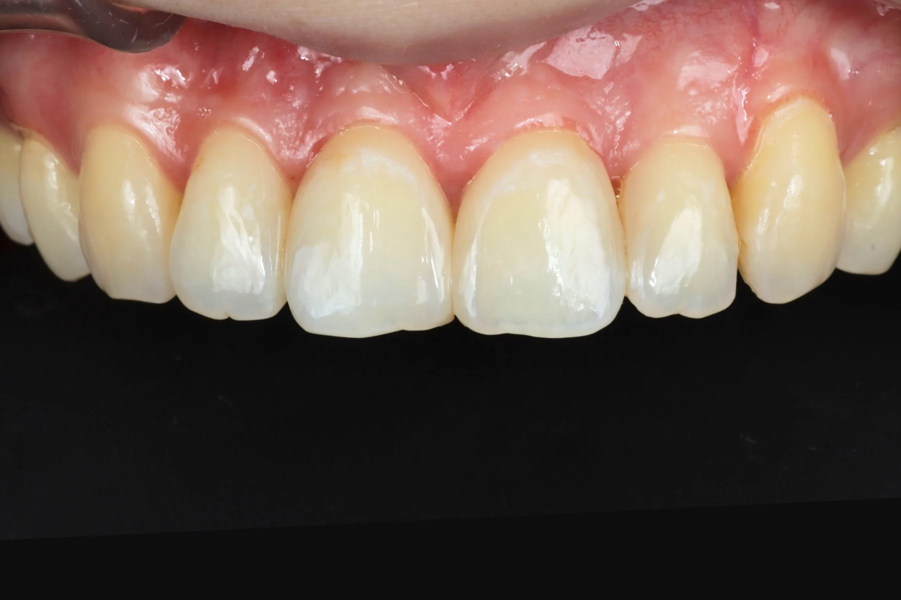
術前術後對比

仿生美學樹脂_術前
仿生美學樹脂_術後

患者治療心得

K小姐表示,一開始看到黑三角真的有點失落,明明矯正完牙齒排得很整齊,但笑起來就是覺得怪怪的,有種縫縫裡卡髒東西的感覺。還好可以用仿生美學樹脂的方式關縫,而且不需要修磨牙齒,整個療程很溫和又快速。做完那一刻照鏡子真的很驚喜,幾乎看不出有補過的痕跡!現在笑得超自然,拍照再也不用修圖遮牙縫了!

醫師建議

1. 維持良好的清潔習慣,可以使用牙線清潔牙縫。
2. 每半年定期回診,由醫師檢查口腔狀況。

適應症/禁忌症/處置優缺點

Ad Back
Bd Go
Bd Go Mobile
Footer House
Logo

About

關於我們

Branch

體系分院

Treatment

診療項目

Case

案例分享

Team

樂的團隊

Clinic Hours

門診時間

Contact us

聯絡我們