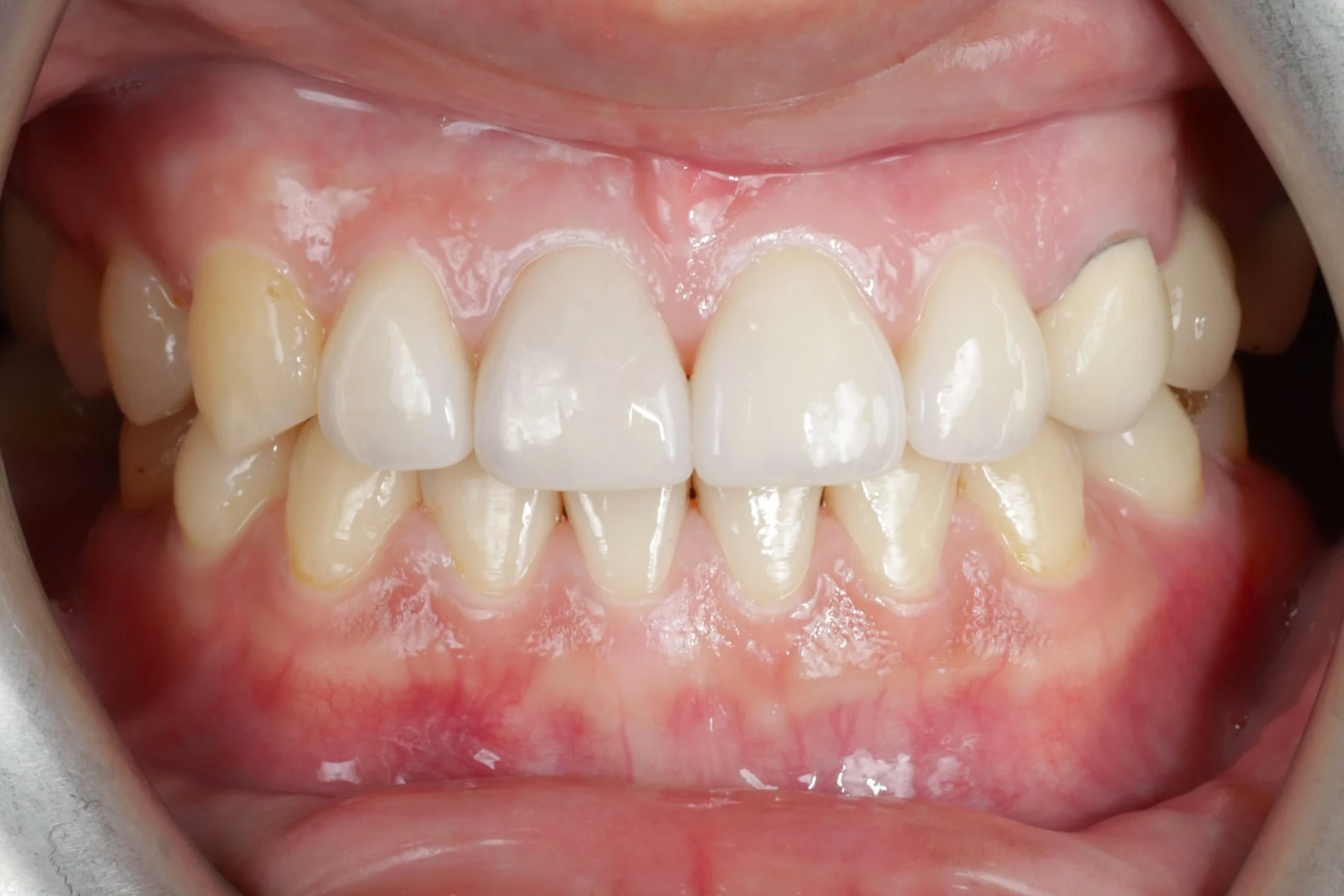
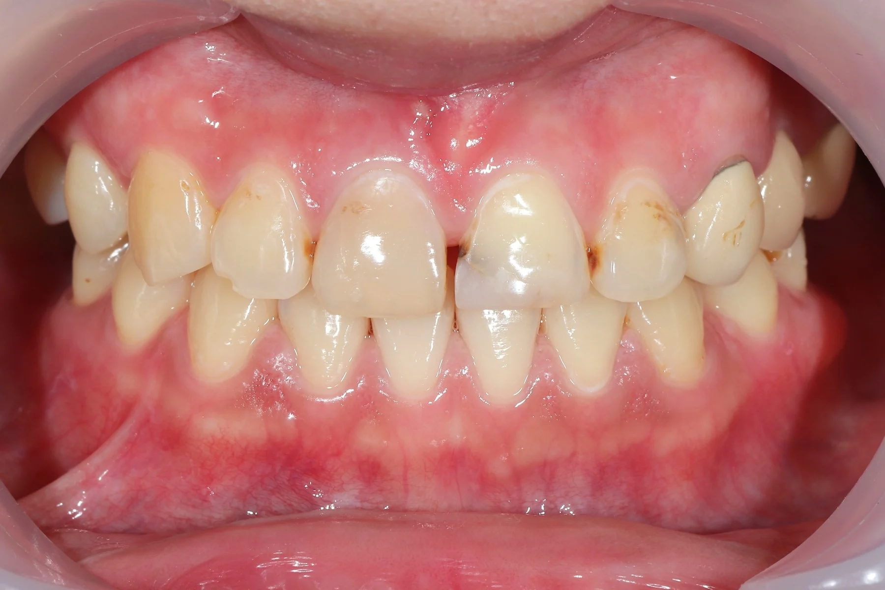
前牙美學/仿生全瓷牙+陶瓷貼片
患者基本側寫
姓名| Z小姐
年齡| 33
主訴 前牙牙縫明顯、舊填補物顏色不自然、牙齒有蛀牙
治療需求 重建前牙自然整齊的外觀
治療內容
治療時間| 四次療程(約一個月)
治療步驟
患者治療心得
Z小姐表示,我之前真的諮詢過好多家診所,但一直找不到自己想要的自然感。這次做完真的超滿意,牙齒顏色很自然,跟其他牙齒完全融合,看不出來哪顆是貼片、哪顆是牙冠。現在拍照我終於敢大笑了,不用再刻意遮牙縫,連朋友都說我整個人看起來更有精神、更有自信!
適應症/禁忌症/處置優缺點