人工植牙+仿生全瓷牙冠

L先生是一位57歲的退休工程師,左下固定式牙橋因清潔不易,長期造成牙齦腫脹不適,這次吃飯時牙齦再次腫痛,才終於下定決心處理,原本對看牙有些抗拒,但因為太太是余醫師長期的患者,經太太介紹來到診所,改善長期以來的不適。
考量到清潔便利性與長久的使用,L先生最後決定接受人工植牙與仿生全瓷牙冠重建,不只改善牙齦不適的情況,也讓他重新擁有強壯的咀嚼力與良好的生活品質。

患者基本側寫

姓名| L先生
年齡| 57
主訴 左下固定式牙橋常常造成牙齦不適、咬合功能下降
治療需求 改善固定式牙橋引起的不適,恢復咀嚼力與口腔健康,提升生活品質

治療內容

主治醫師|
  • 余子豪
診療項目|
  • 全瓷冠
  • 數位微創植牙
  • 人工植牙
治療時間| 約10個月
治療步驟

1.拆除固定式牙橋與補骨
拆除左下固定式牙橋後,發現第二大臼齒牙根已斷裂,當次拔牙後進行補骨。
幫左下區域的骨頭補厚及補寬,讓植牙有穩固的地基可以站得住。
2.植牙手術
等待骨頭生長(約8個月),安排左下第一與第二大臼齒植牙
3.補肉手術
為增強植牙穩定性,於牙齦外側進行補肉手術,幫植牙加上一層天然防護墊。
4.裝戴牙冠
2個月後進行口內掃描取模
完成左下第一、第二大臼齒植牙及左下第二小臼齒的仿生全瓷牙冠製作與裝戴
5.回診追蹤
定期拍攝X光並檢查全口狀況

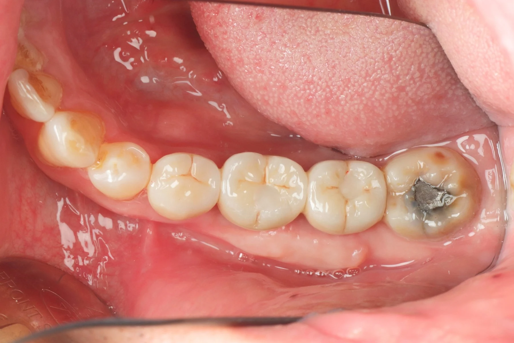
術前術後對比

人工植牙+仿生全瓷冠_術前
人工植牙+仿生全瓷冠_術後

患者治療心得

L先生表示,我以前其實很不愛看牙醫,每次都拖到很不舒服才去。這次是太太一直鼓勵我,加上自己真的覺得不能再拖,才下定決心來處理。說真的,剛開始聽到要植牙還有補肉,心裡是有點怕。但每個步驟醫師都講得很清楚,也讓我慢慢放下擔心。 現在牙齦不會痛了,吃東西也更加方便,最重要的是清潔變得簡單多了!感謝醫師這幾個月專業、細心的治療,讓我重新找回健康的牙齒和生活品質。

醫師建議

1. 每半年定期回診,讓醫師檢查口腔狀況。
2. 使用正確刷牙方式,搭配牙間刷或牙線清潔,有助於提升植牙與牙冠的使用壽命。
3. 雖然全瓷牙冠強度高,但還是要避免咬太硬的東西,才能避免牙套破裂或脫落,讓修復效果維持得更久。

適應症/禁忌症/處置優缺點

Ad Back
Bd Go
Bd Go Mobile
Footer House
Logo

About

關於我們

Branch

體系分院

Treatment

診療項目

Case

案例分享

Team

樂的團隊

Clinic Hours

門診時間

Contact us

聯絡我們